一枚胆囊结石惹的祸
病例信息
患者女性,84岁,主因腹痛伴恶心呕吐一周入院!
现病史:患者一周前开始无明显诱因出现上腹部隐痛不适,为阵发性,伴恶心呕吐,呕吐物为胃内容物,自服“胆舒软胶囊”症状无缓解,外院就诊无明显疗效,遂转至我院就诊。
既往史:胆囊结石多年,未系统诊治,50余年前行阑尾切除术!
体格检查:生命体征平稳,一般状况良好,全身浅表淋巴结未触及肿大,双侧巩膜轻度黄染,腹软,无明显压痛、反跳痛等阳性体征,未触及肿物!
辅助检查:门诊行腹部及泌尿系彩超提示右肾积水,胆囊未显示,肝胆总管均未见明显异常!
入院诊断:腹痛待查:右肾积水、萎缩性胆囊炎?
处理分析
入院后查肝功能示轻度黄疸、

肾功能示轻度肾功能不全、高尿酸血症

凝血功能稍差

肿瘤相关抗原示CA199明显升高

腹部B超提示:右肾积水、输尿管上段扩张,胆囊未明确显示!

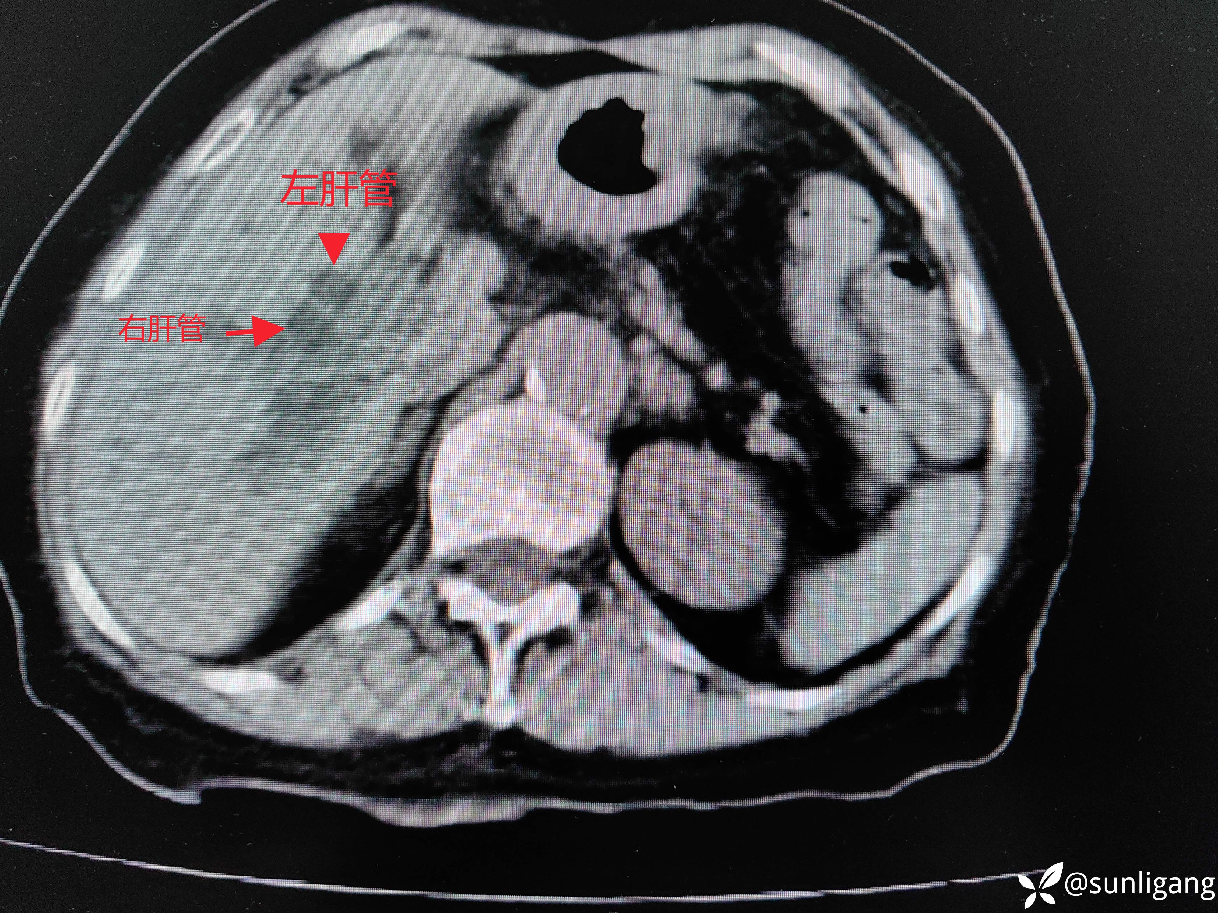
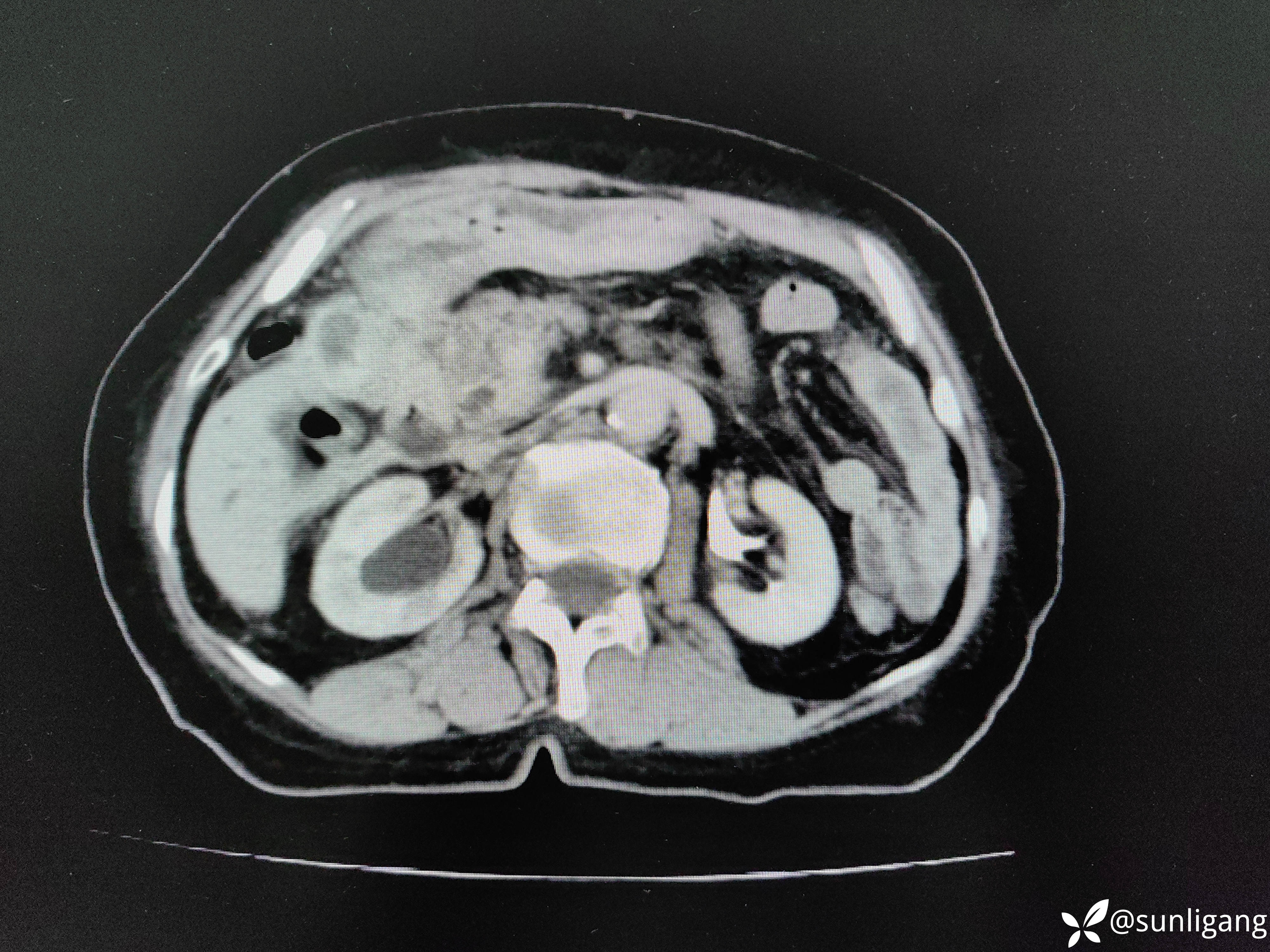
腹部CT平扫示:

上腹部平扫+增强CT如下图:

左右肝管都有明显扩张

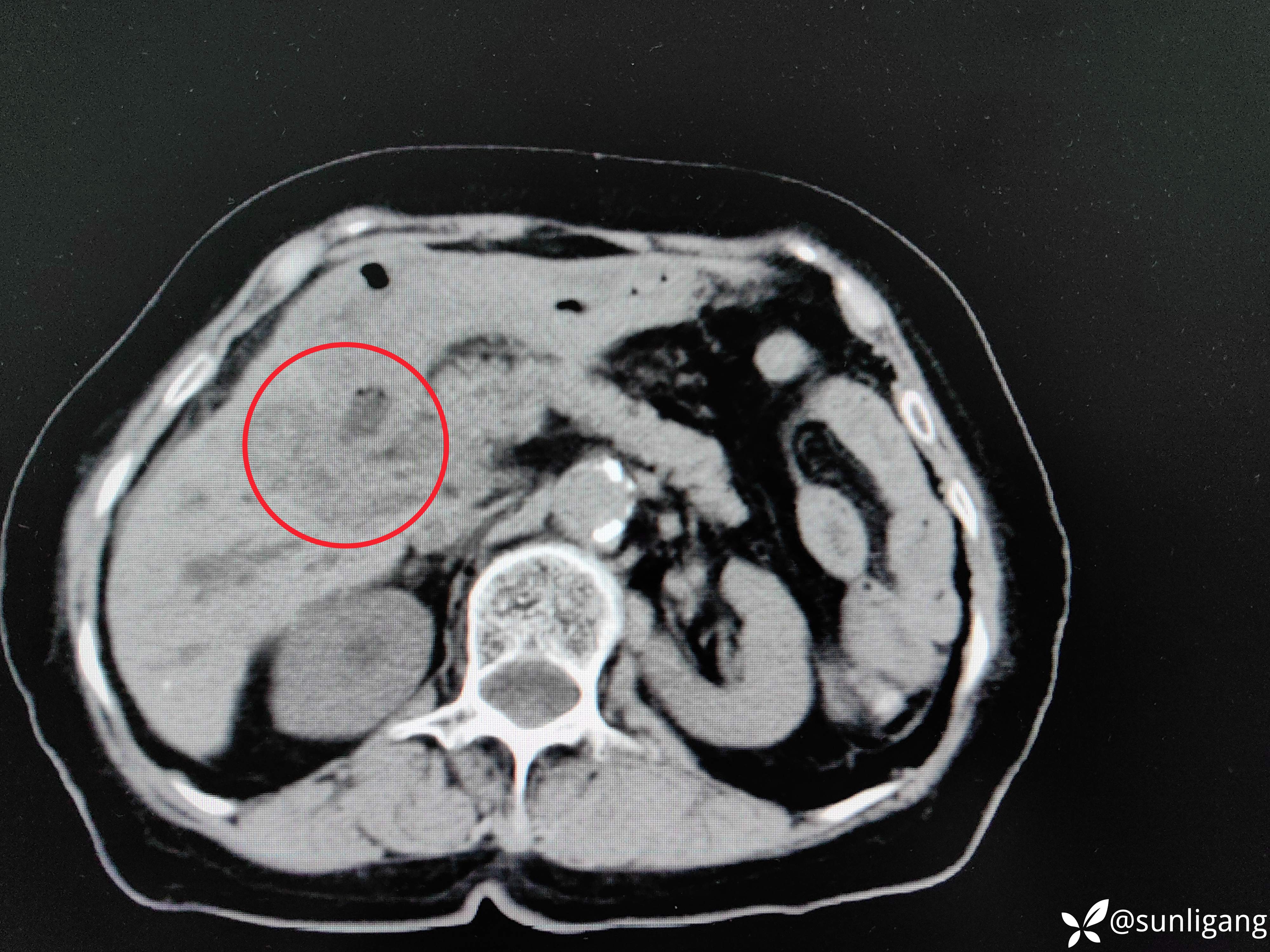
胆囊周围靠近肝脏一侧有明显的不均质低密度影

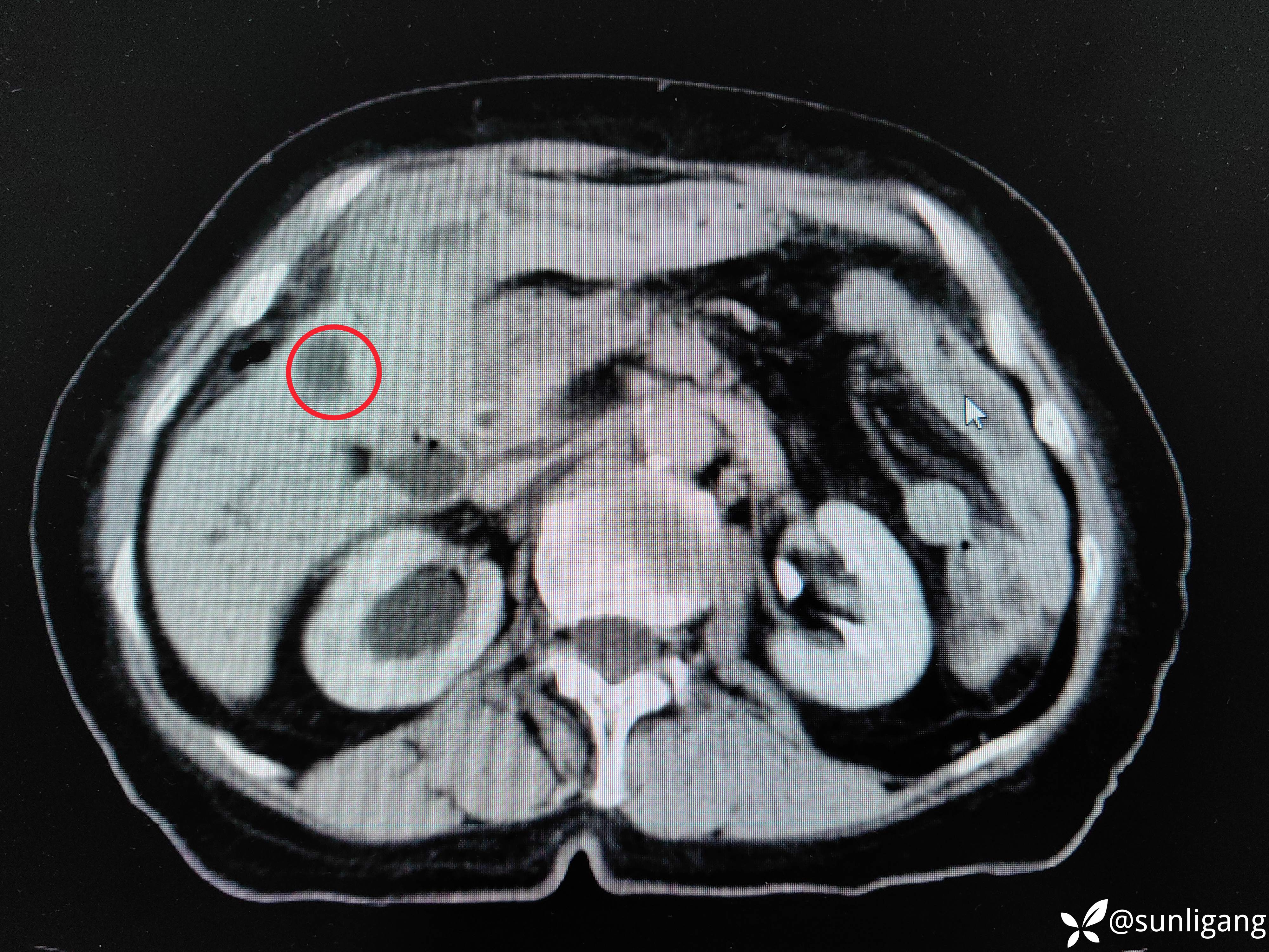
动脉期

增厚的胆囊壁及胆囊周围轻度强化的不均质组织、胆囊壁强化明显,还可见到右肝钙化点
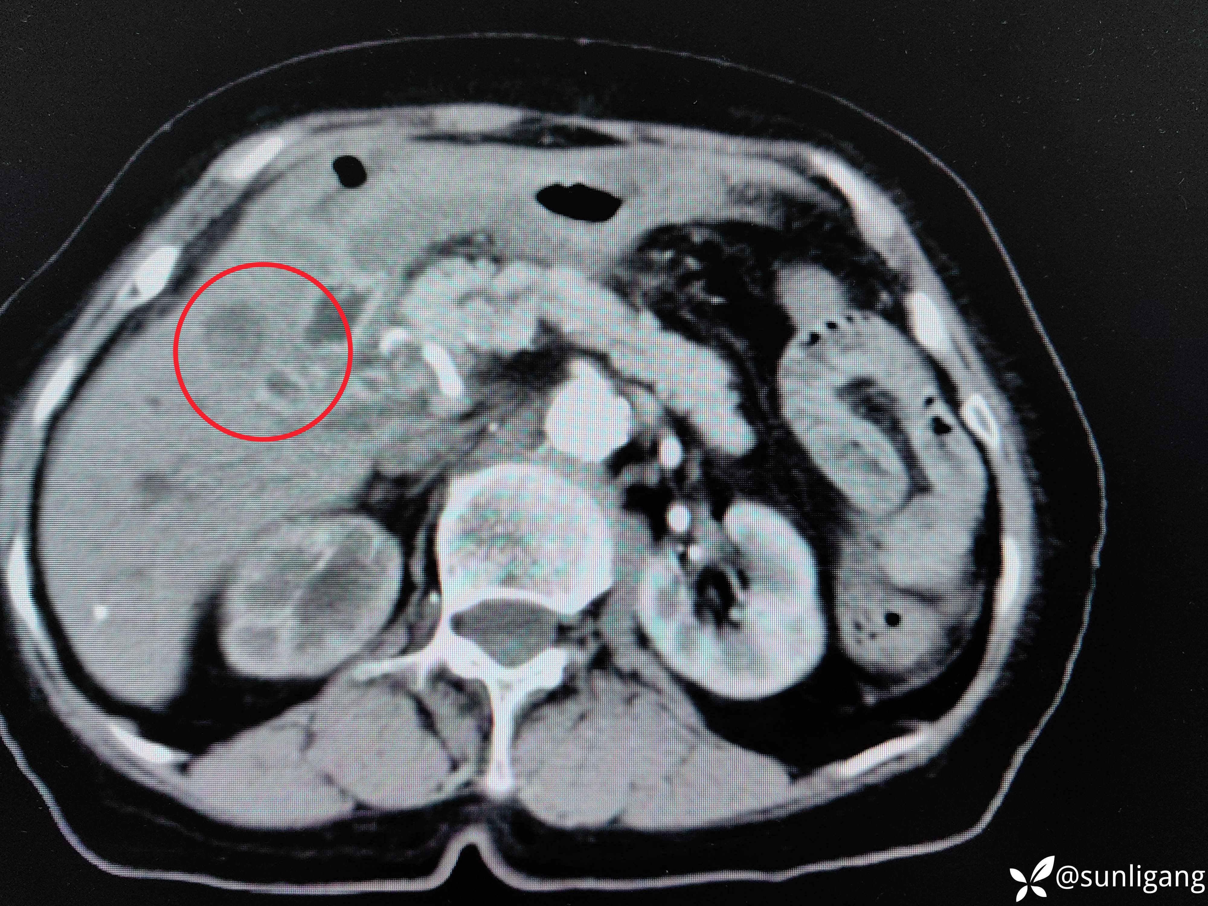
延迟期(可见胃小弯侧胃壁增厚)

增厚的胃后壁,静脉期仍有明显强化
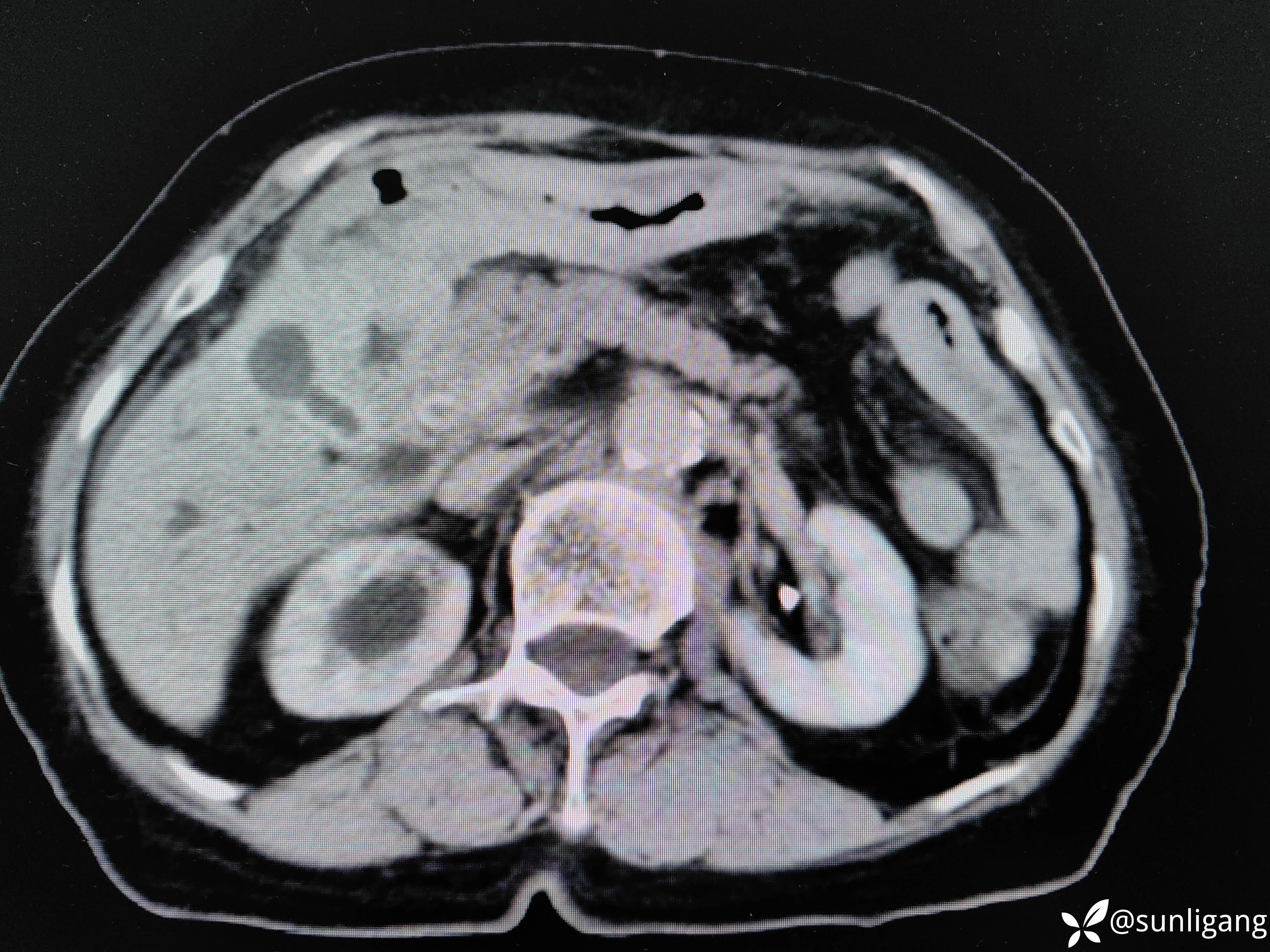
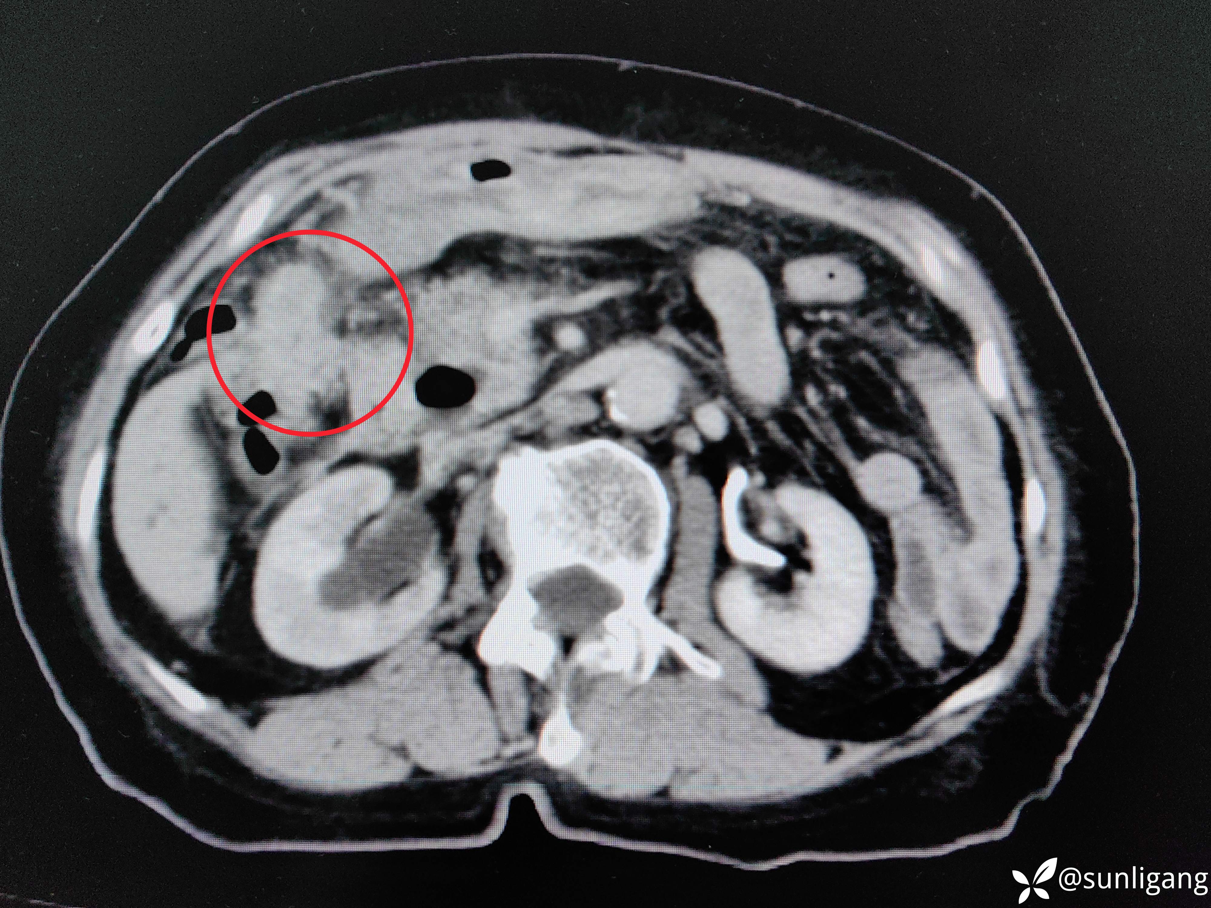
层面继续往下:

胆囊牵拉肝脏,使局部肝脏边缘内陷

胆囊与肝脏间已无明显界限,肝脏边缘内陷

增厚的胆囊壁

局部已无正常组织间隙,如肝与结肠、肝与胃之间,可见到明显的肿物,还有十二指肠憩室
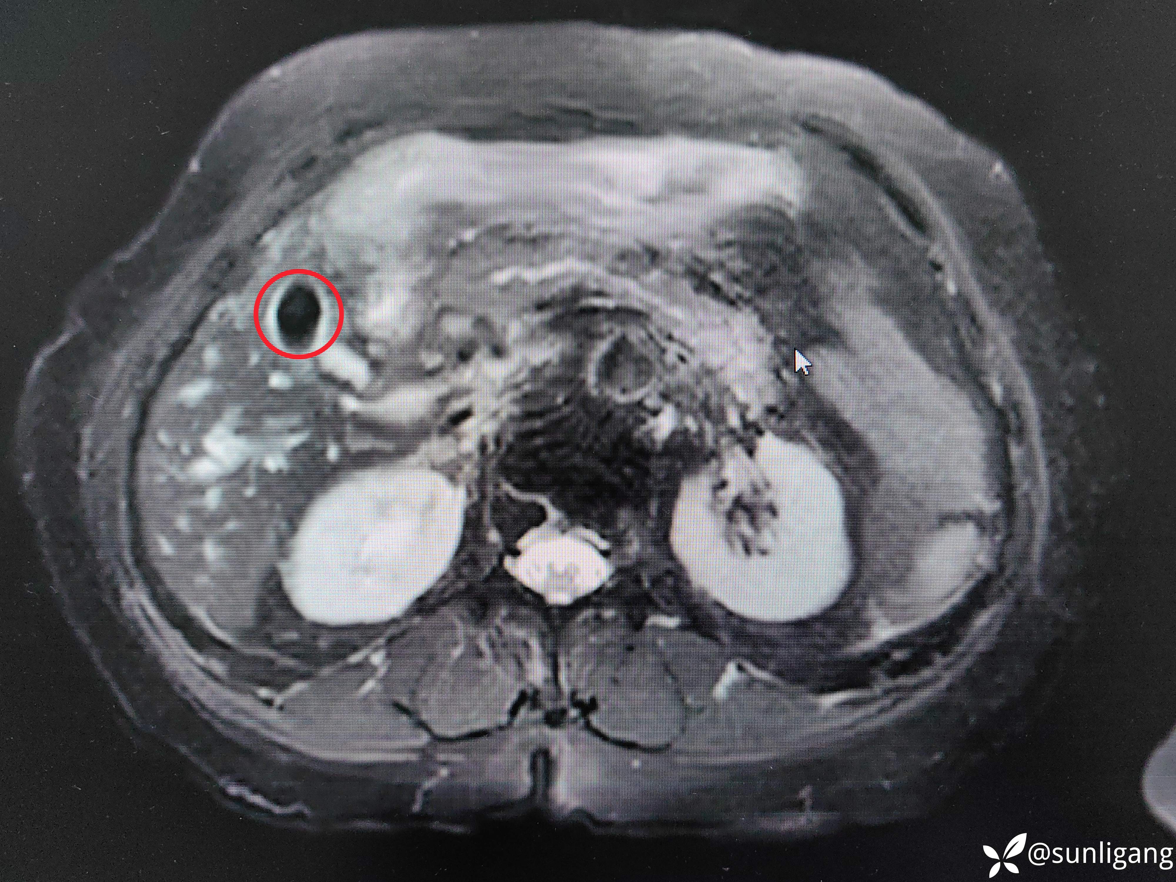
磁共振:

可见明显胆囊结石影

可见中断的中段胆管影以及扩张的肝总管、正常的胰管

可见明显变窄的胆总管(肿瘤直接侵犯?压迫?)
三维重建:


胃镜:

6.20复查肝功:

胆红素升高、转氨酶升高、总胆汁酸升高,白蛋白进一步降低
结合患者高龄、肝肾功能较差、凝血功能不佳、低蛋白血症等实际病情,我建议患者家属做姑息性手术即可,即胆肠吻合、胃肠吻合,解决胆汁流出道梗阻和十二指肠梗阻的问题;老人家家属手术心切,表示能根治尽量根治,实在不能根治就做姑息性手术。就在等待手术期间,患者黄疸逐渐加重,术前一天发热(38.5°)!
术前讨论:老年女性,胆囊结石多年,胆囊萎缩明显,胆囊壁增厚,与周围组织器官界限不清,胆总管明显受压,CA199增高明显,胆囊癌可能性较大,其次是胆囊癌变压迫胆管,胆总管受压导致梗阻性黄疸、化脓性胆管炎,也不能完全排出胆管癌变!胃镜提示十二指肠腔狭窄,结合患者进食后恶心呕吐等不能进食表现,不排除肿瘤压迫或十二指肠溃疡狭窄!患者具有绝对手术适应症,同时也有明显禁忌症:高龄、低蛋白血症、双肺纤维化改变、凝血功能异常等!权衡利弊、结合患者家属意见,决定行剖腹探查术,如果能切掉肿瘤就做根治,如果不能根治,或能做根治但耗时过长老人家耐受不了,就选择相对简单的姑息性手术:胆肠吻合、胃肠吻合、肠肠吻合!
手术如期进行,消毒铺巾,取右上腹反L型切口入腹,进入腹腔后发现整个肝门都是硬邦邦的,肝脏、结肠、大网膜、胃等组织已经成为一个整体,肝门部也无法看清,肝周有少量淡血性腹水。我不由得倒吸一口凉气,这手术是做不了根治了,到手术室外告知患者家属,做根治的可能性不大,就做姑息性手术,家属同意了。
手术先沿着胆囊周围部分肝脏连同胆囊一起切除,直至胆总管壁,发现胆总管壁已经被肿瘤侵犯,靠近肝门部胆总管有明显扩张,还有部分胆管未受侵犯,可以行胆肠吻合,肿瘤侵犯十二指肠、胃后壁大部(至胃体部靠近胃底)、侵犯横结肠、部分大网膜等周围组织。
将胆囊移出后游离肝门部胆管,沿胆管分离入肝门部,游离至左右肝管汇合处修剪胆管壁,在距屈氏韧带以远约20cm处离断空肠,远端空肠从结肠后上提(这个过程很艰难,因为横结肠后方也被肿瘤组织侵犯,已无明显间隙,只得强行分离),行胆肠吻合术(先在拟吻合口右侧固定一针,再从吻合口左侧开始进行后壁连续吻合,再从右至左进行前壁连续吻合、薄弱处加缝),再在胆肠吻合口远端约40cm处行胃空肠吻合(侧侧吻合,胃后壁广泛肿瘤浸润、行胃前壁-空肠侧侧吻合);胃肠吻合口远端约20cm处行空肠空肠侧侧吻合术,关闭肠系膜,冲洗腹腔,检查创面,切除部分大网膜及右侧膈肌结节行病理检查。肝后、胆肠吻合口后分别留置引流管,从右侧腹壁戳孔引出。胆肠吻合口附近T管从吻合口远端约5cm处穿出小肠 ,从腹壁引出。手术历时4.5小时。
术中照片:

就是这枚结石,可以看到肝脏、大网膜、横结肠、十二指肠等粘连在一起,能不能把肝门松解后顺利找到胆管壁心里是没底的

切除胆囊、切除部分胆管,远端缝闭,近端修剪后行胆肠吻合

吻合口后置入腹腔引流管
胆囊及结石外观

胆囊壁增厚,胆囊结石外观像一朵蘑菇!
术后病理:

总结与讨论
都说细节决定成败,回顾一下这个病人的就诊细节及入院后诊疗经过,我们发现了不少问题,现提出来供同行借鉴参考。不妥之处,请各位同行批评指正。
1.患者以右肾积水、右侧输尿管扩张收住入院,入院后主管医生(以泌尿专业为主)想当然认为这应该是泌尿外科的疾病如输尿管结石、狭窄等常见疾病,入院后没有常规查体或仔细查体,未触及腹腔内肿物,仅在行腹部CT检查时才发现胆囊壁增厚、胆囊萎缩,这才将诊断重点转向肝胆,进一步行增强CT及磁共振等检查;
2.主管医生给上级医生报告患者可能有胆囊的问题后,上级医师仅强调进一步完善检查,未亲自给患者查体,所以患者的腹部体征始终是错误的,直到完善检查、上了手术台后,上级医师摸患者肚子才发现右上腹实质性肿物,不能推动,质地硬,边界不清。凭经验,这肯定是不可切除的恶性肿瘤了;如果在术前上级医师能够亲自给患者查体,判断清楚患者肿瘤临床分期,那么手术是否还要这么做呢?
3.医学是一门经验医学,由于平时胆囊癌见得少,无论是增强CT还是磁共振,影像科均不考虑肿瘤性病变,实际上,该患者的术前CT、磁共振等都可以看出边界不清的增生性肿物,还有临近胆囊的肝脏也被胆囊明显牵拉凹陷,也是肿瘤浸润的表现;
4.胆囊结石是胆囊癌的高危因素,该患者曾在多年前到外院就诊,确因血压问题而没有手术,此后,患者对自己的胆囊结石也不放在心上了,认为既然没有症状,那就不用管他了,也没有定期复查,导致结石引起胆囊的慢性炎症性改变,最终进展为胆囊癌;
5.手术方式的选择,如果对患者病情判断准确,手术方式可以直接选择PTCD及空肠造瘘,减轻患者大手术的创伤,减少术后并发症的发生。
胆囊癌由于发病率低,很多人并不了解这个疾病的危害。都说胰腺癌是癌中之王,那么胆囊癌就是王者之王,恶性程度高于胰腺癌,预后极差,尤其是分化程度差的胆囊癌。















































