石膏还是手术!
患者年龄:男性
患者性别:54岁
主诉:扭伤致左侧踝关节疼痛,伴活动受限1小时。
体格检查:左侧踝关节肿胀明显,压痛触痛,以外踝为主,左侧踝关节活动受限,足趾活动可,末梢血运可。
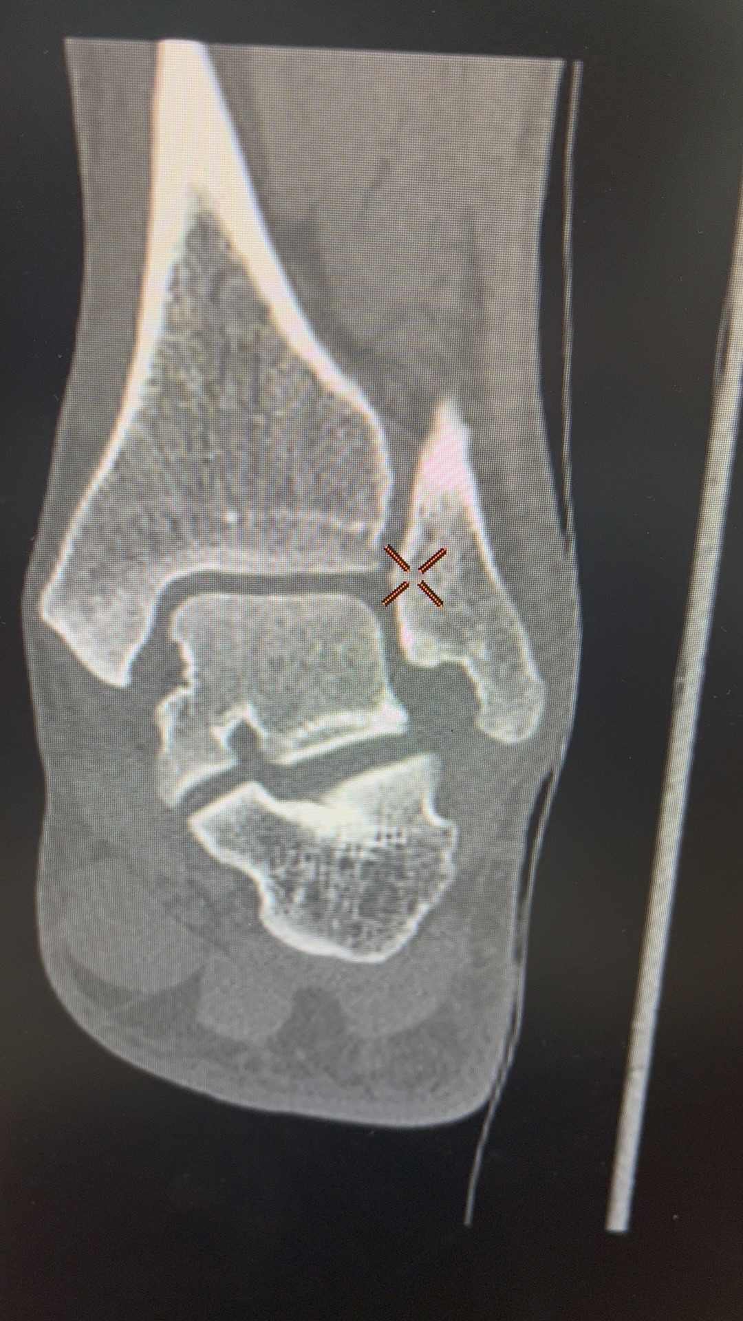
辅助检查:X线及CT示:左侧外踝骨折。
临床诊断:左侧外踝骨折
讨论:手术还是石膏固定!






患者年龄:男性
患者性别:54岁
主诉:扭伤致左侧踝关节疼痛,伴活动受限1小时。
体格检查:左侧踝关节肿胀明显,压痛触痛,以外踝为主,左侧踝关节活动受限,足趾活动可,末梢血运可。
辅助检查:X线及CT示:左侧外踝骨折。
临床诊断:左侧外踝骨折
讨论:手术还是石膏固定!






