40岁患者反复头晕乏力,4个月后死亡,原因为何?
fy1940 达人已点赞病例信息
男性,40岁,以反复头晕、乏力1月余于20xx年8月25日入院
患者于7月初外出游玩时,出现头晕、视物不清、乏力、行走不稳、出冷汗,休息后略有好转,此后反复出现上述症状,尤其是坐位、立位时明显,卧位时有改善,无黑矇、晕厥。并逐渐出现日常活动时胸闷,夜间胸闷、憋醒,无下肢浮肿。20天前,患者曾于外院住院,当时曾有严重腹泻,水样便每日最多30余次,经治疗后上述症状改善不明显。既往糖尿病病史6年,未治疗;无高血压及其他慢性病病史。平素喜运动,长期健身,近半年体重降低约10kg。吸烟史6年,5支/日,已戒烟6年;无饮酒史。家族史:外祖母79岁时“猝死”;父亲有“冠心病”,母亲健康,无兄弟姐妹。
查体:身高172cm,体重52.9kg,BMI 17.8kg/m2。BP(卧位)102/66mmHg
消瘦,皮肤粘膜无异常,头颅五官无异常,颈静脉无怒张。双肺呼吸音清,未闻及啰音。心界正常,心率78次/分,律齐,胸骨左缘3-4肋间收缩期吹风样3/6级杂音,向心尖部传导。腹部无压痛,肝脾未触及。双下肢无浮肿。
立卧位血压:坐位或站位1分半钟即出现头晕、视物不清,测血压最低60/34mmHg,立即卧位约1分钟血压恢复。体位变化时心率无明显变化。
8月6日外院检查结果:•HBA1c:9.9%,•NT-proBNP: 760pg/ml;
•冠脉CTA:LAD近中段管腔轻中度狭窄(36%-65%);中间支管腔中度狭窄(59%);
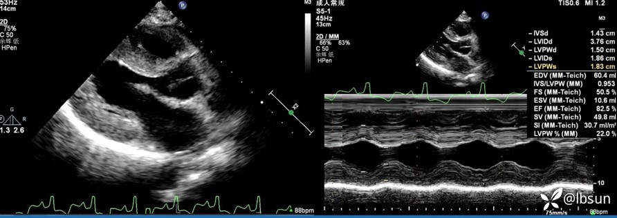
•心脏超声:左房左室内径正常,左室壁显著增厚,室壁运动正常。
此次住院我院检查结果:HBA1c:8.6%;NT-proBNP: 2259pg/ml;hs-cTNT: 42.79 pg/ml,eGFR 159.09ml/(min*1.73m2);肝功能、电解质、肿瘤标志物均未见明显异常;尿蛋白阴性
腹部增强CT:横结肠远端肠壁局部不规则增厚,肠系膜及腹膜后多发淋巴结,腹腔积液,右侧小肠壁增厚,轻度强化;胃窦部壁增厚水肿
头颅MRI: 两侧额颞顶枕叶皮层下多发脑梗塞灶可能。
心电图如下

问题:
1.还需要哪些检查?
2.患者多种症状,考虑为一元论还是多元论解释?诊断考虑什么疾病?
补充我院的心脏超声图像

















































