无奈的一例锁骨骨折
骨科青年 等 2 位达人已点赞病例信息
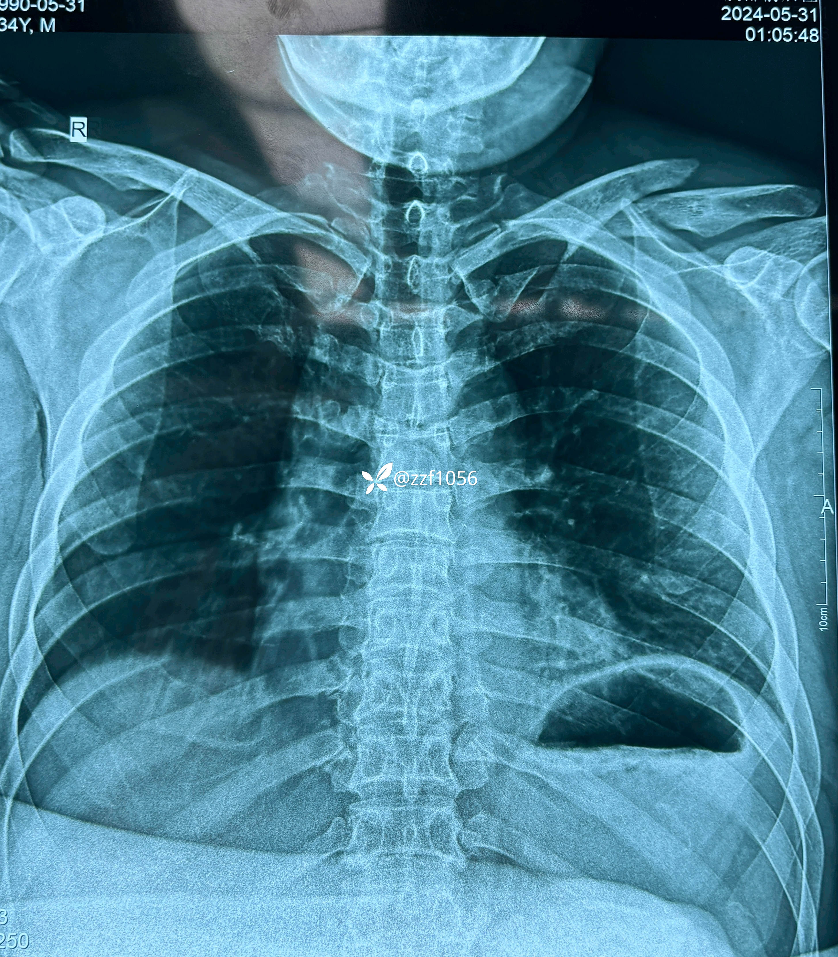
患者男性,34岁,摔伤左肩肿痛致左侧锁骨骨折在外院住院1天准备手术
自行带片转入我院,住院后给我打电话说是去年曾找我治疗颈椎病患者的家属,问能不能尽快安排手术。

dip查询总费7.8k,术前检查➕麻醉➕手术➕钢板,基本所剩无几,术后用药和住院只能无限制压缩了,取钢板更离谱,只有2.8k???
甚是不解😖,3月份被告知亏损一万九,还不知道咋办,最近比较头疼的事情莫过于此了。

完善相关检查,无手术禁忌,虽费用紧凑,但该做还得做啊,拟定第二天手术。


处理分析
术中作切口后探查未见皮神经,保护好骨膜,清理折端复位临时克氏针固定,后方蝶形骨块较大,nice结改2道钢丝捆扎,复位良好,取最长10孔钢板,貌似钢板有点短,远折端3枚锁定螺钉有效固定,近折端只有2枚螺钉有效固定,第3枚螺钉失效且后方仍有骨块微翘,无奈增加一枚钢丝适宜捆扎。



总结与讨论
1.钢丝虽然不收费,与接骨板金属材料不一致,是否能合用?是否会电解反应影响骨折愈合?
2.骨折端跨度较大,接骨板偏短,会出问题吗?器械厂家告知这是最长锁骨钢板,貌似用过12孔,现在单用钢板器械商都不愿意发了。
3.dip的费用真紧凑啊
















































