我的case report(1)
个案报道(case report)在临床医学中是很容易被忽视的,大多数医生会认为这些个案不是大宗的病例报道,很难给出有价值的结论,对职称晋升更是可有可无。但是,个案的科研价值其实在医学史中还是有一席之地的,无论是AIDS的发现,还是Hp的被证实,最早都是一些散发的个案,直到最后被更严谨的临床观察所证实。而对于普通的临床医生,有趣的个案可以让我们多年难忘,在查房、讲课时反复提及。因此,我还是会把自己在临床上遇到的有趣的个案进行总结,让更多的同行了解到某些少见疾病或少见的临床表现。
好了,废话不多说,从自己的第一篇个案报道说起,因为个案报道一般都图文并茂,所以我就简明扼要的介绍病情吧。
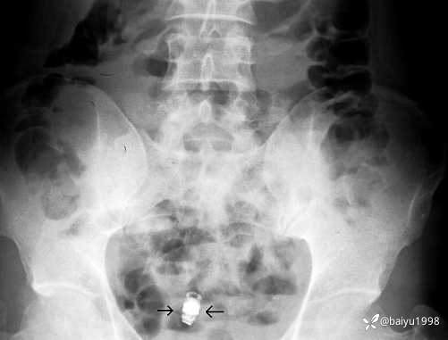
这篇个案报道是在2007年发表在Endoscopy杂志,中年男性因为腹痛、贫血,胃肠镜检查和腹部CT均阴性后,在外院进行了胶囊内镜检查,在胶囊内镜检查后多日发现未能排出体外,腹部X线证实胶囊滞留,入我院行小肠镜试图取出胶囊内镜失败,随后患者的腹部梗阻症状加重,最终接受了外科手术治疗,证实了小肠克罗恩病的诊断。
经验:在2007年,大家使用胶囊内镜的经验都不是很丰富,尽管患者已经进行了胃肠镜检查和腹部CT检查,但是没有明确的小肠狭窄的提示,因此小肠克罗恩病的诊断并不是很容易得出。

图1、胶囊内镜滞留在体内

图2、钡剂造影显示胶囊内镜滞留的位置

图3、手术证实了小肠狭窄和克罗恩病的存在。
附:全文见附件
















































