水煮蛋样的病灶?
baiyu1998等 2人推荐病例信息
67岁女性,黑便入院,血色素一度掉到61g,轻微腹痛。既往左上肢骨折手术史,高血压病史规律服药。
处理分析
入院行对症治疗,今日行无痛胃肠镜检查。
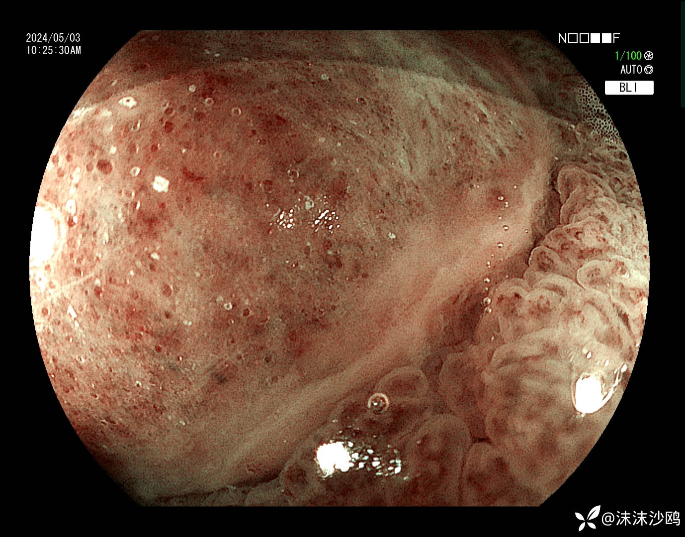
窦体交界近胃角前壁见一较大带蒂隆起性病灶,头端大小直径约2.5cm可见分叶结构,中央隆起跟边缘隆起的表面结构明显不同且有分界,沿分界线走向可见溃疡覆白苔。大致看上去就像一颗水煮蛋剥掉一部分蛋清露出蛋黄的感觉。


蒂部直径约1cm,凹陷见连续性溃疡,局部可见类似红色再生上皮?

倒镜病灶背面

LCI

表面没有明显的腺管结构,覆较多黏液冲洗不掉

BLI

BLI+ ME

边缘的表面结构呈脑回状


肠镜检查无特殊。
问题讨论
不像常见的腺瘤模样,活检的时候,病灶的中央部分非常Q弹,本身病灶是悬吊的位置,取的时候勉强压住病灶在中央部位取了一块,边缘部位还比较好取。
心得与总结
像什么?它是什么?老师们见过吗?如果活检没有大问题,需要超一下还是直接EMR?
















































