罕见病例|以腕管综合征为首发表现的骨髓瘤性肾病
病例信息
桑某 女 66岁
主诉:四肢疼痛5月,恶心纳差2月,加重1月。
基本病史:5月前患者无明显诱因出现双手麻木胀痛、双腿疼痛,就诊外院,完善肌电图等检查,诊断为“腕管综合征、糖尿病周围神经病变、左侧臀肌止点炎”,予外用吲哚美辛巴布膏、口服艾瑞昔布、甲钴胺等药物治疗症状略有好转。2月前无明显诱因出现频繁恶心呕吐,呕吐物为胃内容物,伴乏力、反酸烧心,无发热、腹泻腹痛,无少尿或无尿、肉眼血尿、双下肢水肿等症状,予口服抑酸护胃等药物无明显缓解。就诊当地医院,查尿常规:尿蛋白1+,尿潜血+-,白细胞18.9/HPF,红细胞0/HPF。肾功:血肌酐1355μmol/L,尿素38.8mmol/L。抗核抗体:抗SSA抗体弱阳性,ANCA阴性。腹部CT提示肾脏大小形态正常。完善检查后,诊断为“慢性肾衰竭尿毒症期”,予留置右侧颈内静脉置管开始血液透析治疗,后完善左前臂自体动静脉内瘘作为长期透析通路,行规律透析治疗。规律透析治疗后恶心症状有所缓解,夜尿次数明显增多,约3次/晚,24h总尿量约800ml/d。
1月前患者恶心纳差加重,无呕吐,伴双手麻木胀痛不适、握拳费力,双下肢疼痛症状加重。患者自发病以来精神睡眠不佳,饮食差,大便基本正常,小便如前述,体重减轻约3Kg。
既往:高血压、2型糖尿病、带状疱疹病毒感染。
个人史、婚育史、家族史无特殊
查体: T 37.1℃ P 91次/分 R 20次/分 Bp 173/86mmHg
贫血貌,慢性病容,舌体胖大,齿痕明显,咽无红肿。心肺腹体检无明显异常。双肾区无叩击痛。双下肢无水肿。双手大鱼际肌明显萎缩,双手握拳费力

分析处理
入院后完善相关化验检查
血常规:WBC 7.76×10^9/L NE% 72.1% RBC 3.14×10^12/L↓ HGB 92g/L↓HCT 27.9%↓ PLT 324×10^9/L
尿常规:NIT 2+ PRO 1+ RBC-M 0.55/HP WBC-M 29.27/HP↑
粪常规+潜血:潜血(+)
肝肾功能及电解质:K+ 3.21mmol/L↓ Na+ 136.6mmol/L↓ Ca 2.90mmol/L↑ P 1.47mmol/L
BUN 20.7mmol/L↑ CREA(酶法) 629.5μmol/L↑
UA 371.7μmol/L↑ ALT 11.1U/L AST 13.0U/L ALB 34.9g/L↓
凝血纤溶六项:FDP 7.49mg/L↑,余正常
尿蛋白定量:1.266g/24h↑(尿量500ml)
尿渗透压:297mOsm/kg.水↓
铁代谢6项:Fe 7.6μmol/L↓ TS 15.0%↓ SF 443.67ng/ml↑
血清B2微球蛋白:28.06mg/L↑
感染筛查八项:均阴性;抗核抗体、ANCA、IgG4亚型均无异常
外周血细胞形态学分析+有核红细胞计数:红细胞碎片:未见
血清蛋白电泳测定:α1球蛋白 5.9%↑ α2-球蛋白 15.1%↑ M蛋白 1.7g/L↑
血清免疫固定电泳:轻链λ 阳性↑
血清轻链组合:轻链κ 655.00mg/dL、 轻链λ 809.00mg/dL↑、κ/λ(血清) 0.81↓



骨盆X线:骨盆退行性改变 头颅X线:头颅片未见异常
髋关节CT:左侧髋臼后缘点状致密影,骨岛?双侧骶髂关节退变
膝关节CT:右膝关节退变;右髌上囊积液。左膝关节退变;左髌上囊积液
胸腹盆CT:双肺陈旧病变;心包少量积液;冠脉钙化;右侧第3、4前肋陈旧骨折;肝右叶钙化灶;胰腺萎缩;双侧肾上腺增生。下腹部CT平扫未见明显异常。盆腔未见明显异常
心脏超声:静息状态下左室EF 61%,二尖瓣少量返流
腹部超声:肝脏、胆囊、胰腺、脾脏未见明显异常
泌尿系超声:双肾实质回声增强;膀胱可视部分未见明显异常
肾脏血管超声:双肾内动、静脉血流稀疏
眼底:未见高血压或糖尿病相关的视网膜病变
后予骨穿:
骨髓形态:骨髓增生Ⅳ级;粒系占67.6%,红系占9.2%。巨核细胞未见,血小板成簇可见
骨髓流式:每管收取53万余个细胞,淋巴细胞比例减低占13.57%,单核细胞占5.59%,粒细胞比例增高占68.95%,可见0.20%的细胞表型为CD38briCD138+CD19-CD56+cKappa-cLambda+,为异常表型单克隆浆细胞
(骨髓)骨髓增生活跃,造血组织约占60%,脂肪组织及骨小梁约占40%。红系及粒系增生活跃,各阶段均可见,形态基本正常,粒红比倒置,约1:1.5;巨核系可见,约3-5个/HPF,形态正常;造血组织内可见浆细胞呈灶状分布,约占造血组织的30%,结合形态及免疫表型,符合浆细胞骨髓瘤。
特殊检查:免疫组化:CD38(+)、CD138(+)、CD19(个别+)、CD56 (+)、Kappa (-)、Lambda (+)、 CD71(红系+)、CD42b(巨核系+)、MPO(粒系+)、CD34(个别+)。特殊染色:刚果红(+)
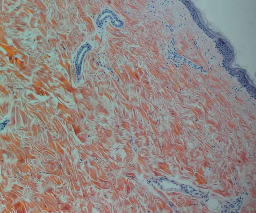
脂肪活检:(腹部皮肤)送检皮肤及皮下组织,表皮轻度角化过度,真皮层纤维组织增生伴胶原沉积,其可见少量红染均质无定形物,结合特殊染色结果,考虑为淀粉样变性。特殊染色:-1/-2:刚果红(+)


心得与总结
诊断:多发性骨髓瘤 (λ型,ISS III期,R-ISS III期,IMWG) ;慢性肾脏病,5期 ;继发性淀粉样变性 ;肾性贫血 ;高钙血症 ;高磷血症 ;继发性甲状旁腺功能亢进 ;肾性骨病 ;2型糖尿病 ;继发性糖尿病性周围神经病变 ;腕管综合征;高血压病3级(极高危);低钾血症
治疗上给予VRD方案,具体为:硼替佐米 2.08mg d1,4,8,11,来那度胺胶囊 25mg 1/日,地塞米松2mg 硼替佐米当日及后日(3次治疗监测肾功能及尿量未见恢复且胃肠道反应重出现肠梗阻终止次方案),后调整为达雷妥尤单抗注射液治疗(单位时间内减半剂量,共应用3次500mg+400mg,500+400mg,500mg),更换为达雷妥尤单抗后透前肌酐水平自500umol/l降至260umol/l,尿量从每日300ml升至1000ml-1200ml。目前患者病情仍较重,主要在血液科随访。@xiaospring
















































