罕见损伤:距下关节脱位
病例信息
患者性别:女
患者年龄:53岁
主诉:车祸扭伤右踝关节致肿痛、畸形、活动受限1小时。
体格检查:

右踝关节肿胀明显,屈曲内翻畸形,活动受限。

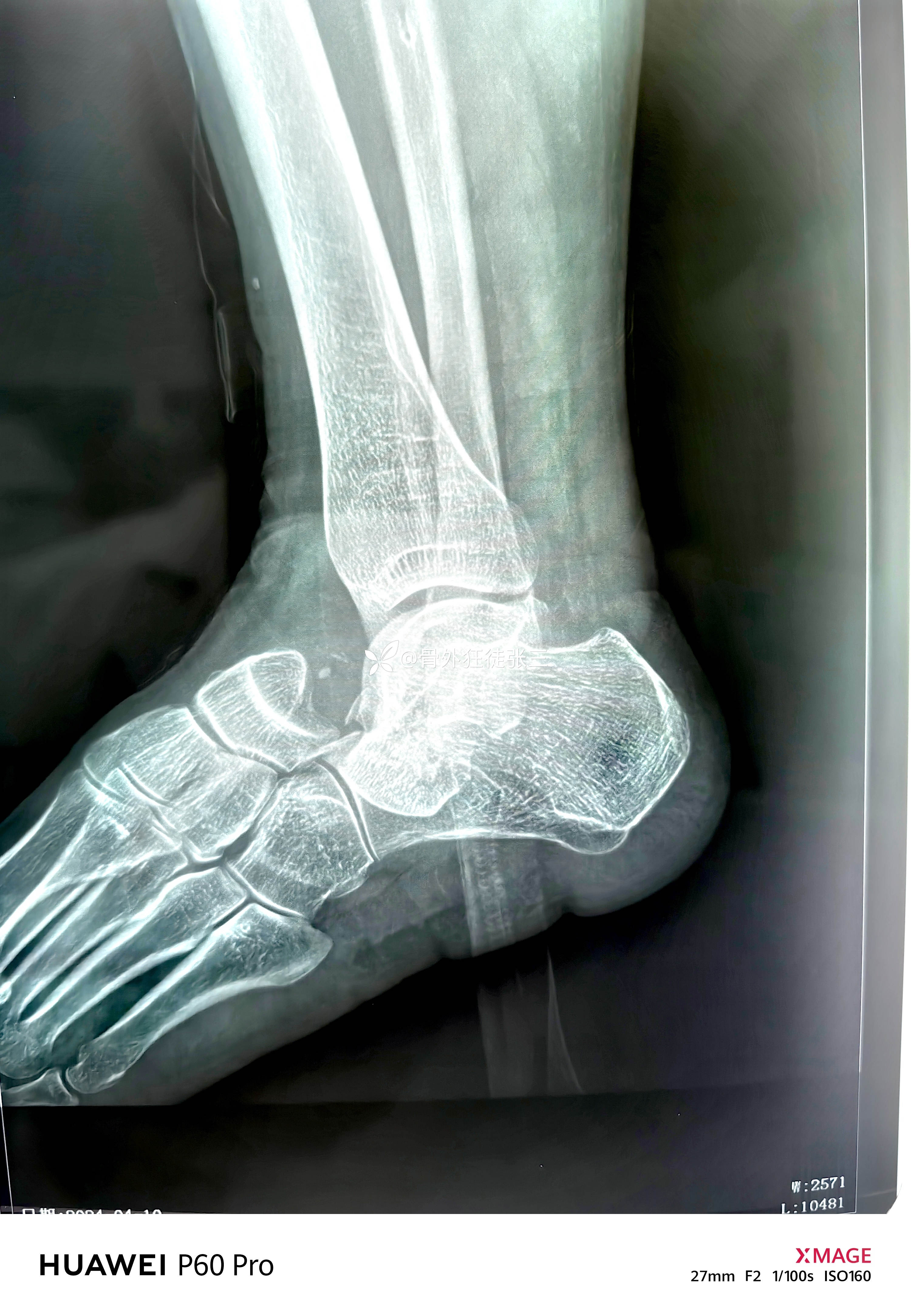
辅助检查:










临床诊断:
右距下关节脱位(内侧型)

治疗经过:

处理分析
手法复位:所有闭合脱位者,先进行手法复位,复位成功率80%。脱位及骨折复位后行短腿管形石膏外固定 6~8周。手法复位方法:患者仰卧屈膝屈髋,助手在股部做对抗性牵引,术者一手置于跟骨后侧,另一手置于前足,拇指置于距骨头皮肤隆起处。
内侧型脱位:在患足畸形的位置下牵引,将患足拉向跟骨前方,同时将距骨头向内侧推,挤回距舟关节内并外翻背伸患足,复位常可听到弹响。
对于外侧型脱位,复位机制相反:牵引患足,将距骨头向外推挤回距舟关节内,然后内翻患足。

手法复位约有20%的失败率,失败的主要原因:①胫后肌腱、趾伸肌腱、屈伸肌支持带及周围韧带血管神经组织,而形成“纽扣样”卡绊使距骨头复位困难;②骨折块卡压在关节间隙内;③足舟状骨新月状边缘及球窝结构的距舟关节。闭合复位反复多次可能加重软骨损伤,并发骨折移位。
手术指证:对于开放性脱位、闭合手法复位失败者、遇距骨头压迫皮肤可能造成皮肤坏死、合并骨折移位明显骨块较大需复位内固定等情况时,应早期切开复位以减少并发症和继发损伤。
手术方式:取前内侧切口,必要时前外侧切口辅助,类似于距骨颈骨折,脱位复位行短腿石膏外固定 6~8周。
伴发骨折复位后,微型螺钉加压固定骨折块,粉碎性骨折可予以桥接接骨板螺钉或者跨关节固定。
比较严重的脱位患者,关节周围软组织及骨质破坏比较严重,复位后难以维持良好的复位。予以克氏针固定距下及距舟关节 4 ~ 6周后,去除克氏针进行功能康复训练及负重行走
问题讨论
1,
















































