二胎妈妈孕晚期反复恶心、呕吐伴腹痛--妊娠期急性阑尾炎腹腔镜阑尾切除
患者女性,35岁。
主诉:孕30周,反复恶心、呕吐伴右侧中腹疼痛1天。
现病史:患者1天前(03月31日)突感恶心、呕吐,初觉系胃肠炎,遂自行禁食,仅饮水,后仍有反复恶心、呕吐(共呕吐约7次),后觉右中腹部疼痛,疼痛尚可耐受,夜间觉发热,体温最高达37.8℃,未服药,后体温逐步下降;腹痛无明显加重。今晨(4月01日)就诊于产科门诊,行胎儿彩超未见异常。查腹部彩超示:临床所指处(右侧中腹)见混合回声区,大小约69×32mm,边界清,其与血管相连。经胃肠外科会诊,考虑妊娠期急性阑尾炎,建议手术治疗。患者同意诊疗意见,门诊以“妊娠合并阑尾炎”收治入院。
既往体健。
个人史:(33岁)2021年12月24日顺产一活男婴;末次月经2023年8月1日,现孕30周,规律产检。否认阑尾炎病史。患者妊娠期间空腹血糖5.7mmol/L,合并妊娠期糖尿病。
查体:心率100次/分,腹膨隆,宫底位于剑突下约1cm,右侧中腹部压痛、反跳痛阳性,无肌紧张,肠鸣音正常。
术前化验:

血常规

生化

凝血功能
辅助检查:
胎儿彩超(04-01):胎动胎心:佳(胎心率:160次/分)。提示:晚孕,单胎,活胎,头位,右位主动脉弓可能。
心电图(04-01):心率:114次/分,窦性心动过速。
肝胆胰脾彩超(04-01):肝脏形态大小正常,包膜完整,肝内回声稍多,分布均匀,血管纹理清晰,支持结构显示。肝内胆管未见扩张。CDFI:未见异常血流信号。MPV:正常 IVC:正常。肝内可见一个强回声,后伴声影,直径约5mm,不伴周围胆管扩张。胆道系统:胆囊大小在正常范围,囊壁稍毛糙,囊壁厚2mm,胆汁透声一般,胆囊内见一个强回声,直径约9mm,后方伴声影。 胆总管内径约:4mm。 胰腺、脾、 双肾未见异常。 检查意见:肝内异常强回声,考虑局灶性钙化;胆囊结石;胰体脾肾未见明显异常。(见图1)

可见胆囊结石
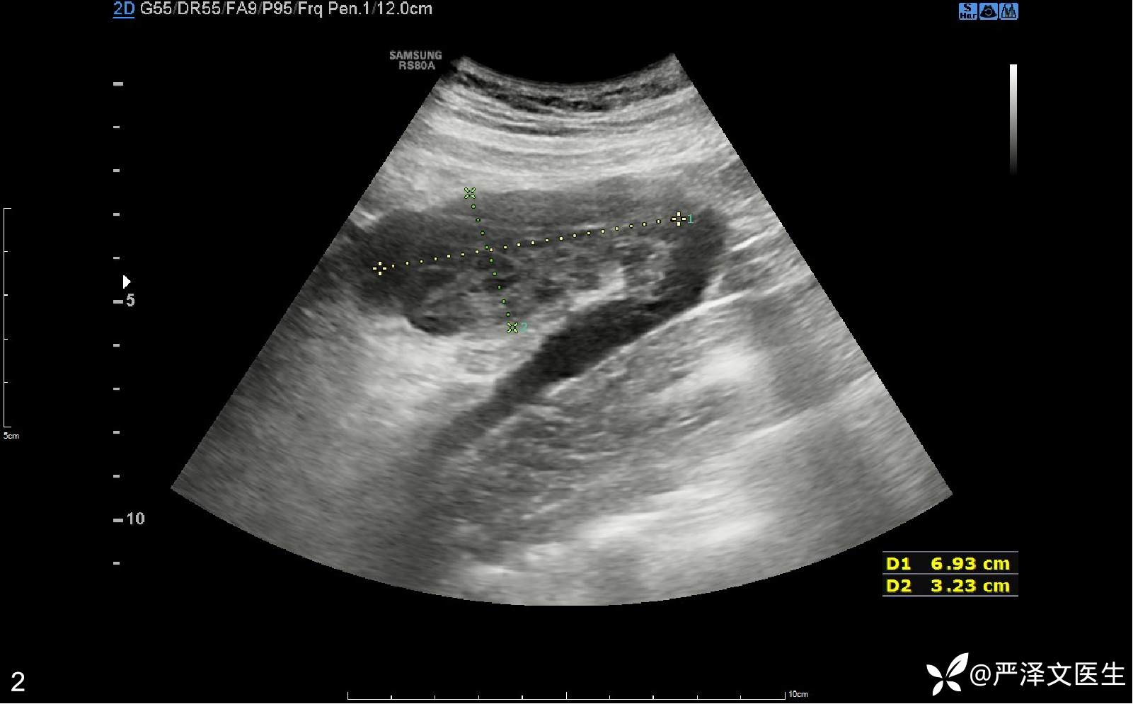
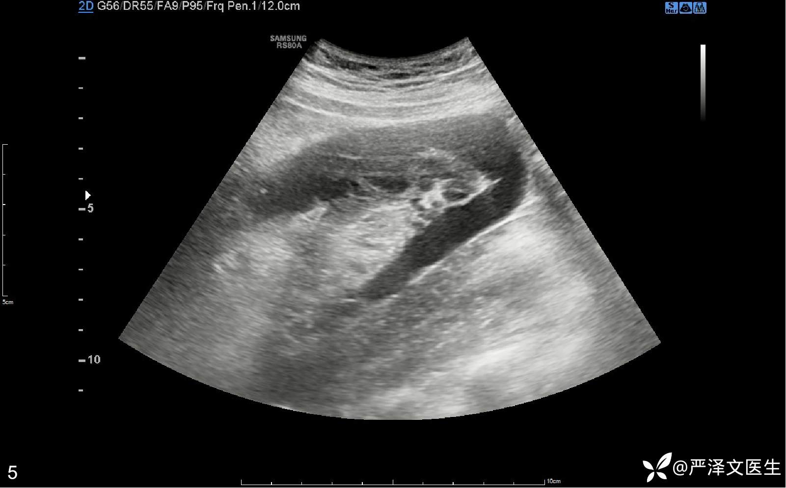
腹部彩超(04-01):(右侧中腹)见混合回声区,大小约69×32mm,边界清,其与血管相连,CDFI:内见血流信号,呈静脉频谱。检查意见:临床所指处(右侧中腹)见一混合回声区,请结合临床。(见图2、3、4、5)

混合回声、增大的阑尾



临床诊断:急性化脓性阑尾炎,妊娠期急性阑尾炎。
鉴别诊断:
1、右侧卵巢囊肿蒂扭转:典型症状为体位改变后突然出现一侧下腹部疼痛,伴有恶心、呕吐甚至休克表现,通常通过下腹部超声鉴别诊断。
2、右侧输尿管结石:主要以剧痛绞痛为主诉,疼痛呈放射性,向右侧大腿内侧放射,通常通过尿常规和肾部彩超检查鉴别诊断。
产科会诊意见:病史敬悉。患者我院产检,产检无特殊异常。现拟行阑尾炎手术治疗。目前患者无宫缩,无阴道流血流液,今晨产检,B超无明显异常,胎心佳。告知手术有诱发宫缩,引起早产风险;手术及麻醉有引起胎死宫内风险。建议:
1、如无禁忌,建议立即(术前起)地塞米松5mg q12h肌注*4针促胎肺成熟;
2、术后予以硝苯地平1# q8h po,注意监测血压,避免低血压;
3、术后予以硫酸镁抑制宫缩同时保护胎儿脑神经。使用方法:第一日:复合剂量硫酸镁5g+NS 100ml静滴维持40min;维持剂量硫酸镁15g+NS 500ml静滴维持10小时。第二日:仅使用维持剂量即可。
4、如有产兆及时联系本科。
麻醉科会诊意见:病史敬悉,患者因急性化脓性阑尾炎入院,拟行开腹阑尾切除术。患者既往否认高血压、糖尿病、冠心病史。
入院完善检验检查:白细胞计数27.2*10^9/L,中性粒细胞% 88.8%,中性粒细胞计数 24.15*10^9/L, CRP 29.92mg/L,Fg 5.0g/L,D二聚体定量 0.86mg/L。 EKG示:窦速。
1. 患者孕晚期,围术期风险大;手术过程可能导致产程发动,围术期选择作用时间短、可快速代谢麻醉药物,适当减少麻醉药物用量。建议请产科会诊,协助围术期胎监;
2. 加强围术期监测,尤其心脑功能监测,维持灌注压,维持水电解质平衡;
3. 围术期各种原因引起的心脑血管并发症、苏醒延迟、拔管困难、术后谵妄、术后认知功能障碍等风险
高;
4. 围术期VTE风险;
5. 建议报医务处重大谈话,充分告知患者及家属以上风险,有情况再联系,谢邀!
充分告知患者及家属手术及围手术期风险后,患者及家属同意治疗方案,遂行腹腔镜阑尾切除术。术中请产科医生在旁协助。
手术(见图6、7、8、9):
















































