38岁女子两肺24处结节,网络问诊16位医生,会是什么性质?
李梦杰huxi 达人已点赞疾病描述:第一次检查某市第二人民医院,报告显示均为纯磨玻璃结节;第二次检查在某市人民医院,三个月复查,报告显示有部分实性结节(第二次检查做的普通薄层1mm的,同时做了三位重建) 。主要想了解一下是不是结节变化了,具体有哪些结节发生进展了? 实性结节良恶性诊断以及进展的结节是否需要干预。 希望获得的帮助:1、明确哪些结节发生变化了 ;2、明确哪些结节有实性成份存在;3、诊断实性结节性质 ;4、后续治疗建议。影像展示与分析:
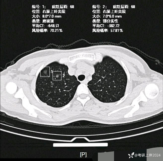
患者最近的检查有AI辅助诊断意见,找出的病灶分别如下:

病灶1:右上叶长径8毫米纯磨玻璃结节,边上有微小血管贴着,整体轮廓较清,怕哪样欠均匀。考虑不典型增生或原位癌可能性大;
病灶2:右上叶长径7毫米磨玻璃结节,密度稍高,但仍未达纵隔窗可见的实性密度,中间有小空泡征,轮廓与边界清,考虑原位癌或微浸润性腺癌可能性较大;

病灶3:右上叶磨玻璃结节伴空泡征,原位癌或不典型增生可能性较大。

病灶4:右上叶磨玻璃结节,密度较淡,有微小血管进入,轮廓较清,考虑肺泡上皮增生或不典型增生可能性大。

病灶5:右上叶微小磨玻璃结节,轮廓较清,考虑肺泡上皮增生可能性较大;

病灶6:左上叶微小磨玻璃结节,轮廓较清,考虑肺泡上皮增生可能性较大;

病灶7:左上叶微小淡磨玻璃结节,考虑少许慢性炎或伴肺泡上皮增生可能性较大;

病灶8:右上叶微小磨玻璃结节,轮廓较清,考虑肺泡上皮增生可能性较大;

病灶9:右上叶磨玻璃结节,轮廓较清,密度稍均,似有微小血管贴边,考虑慢性炎伴肺泡上皮增生可能性较大;

病灶10:左上叶极淡密度的小片状模糊影,少许纤维增生或肺泡上皮增生;

病灶11:左上叶微小磨玻璃结节,轮廓较清,考虑肺泡上皮增生可能性较大;

病灶12:左上叶磨玻璃结节,轮廓较清,有血管穿行,考虑肺泡上皮不典型增生可能性较大,也可能原位癌;

病灶13:左下叶微小磨玻璃结节,边缘欠清,病灶过小,考虑少许纤维增生或肺泡上皮增生可能性较大;

病灶14:右上叶很淡密度微小磨玻璃结节,轮廓较清,考虑肺泡上皮增生可能性较大;

病灶15:左上叶微小磨玻璃结节,轮廓较清,紧贴叶间裂,考虑肺泡上皮增生可能性较大;

病灶16:右肺磨玻璃结节,伴小空泡征,密度略高但未达实性,考虑原位癌或微浸润性腺癌可能性大;
病灶17:左上叶磨玻璃结节,伴小空泡征,也有微血管征,考虑原位癌可能性较大。

病灶18:左下叶极淡密度结节,但轮廓却清,考虑肺泡上皮增生可能性大;

病灶19:右中叶微小磨玻璃结节,考虑不典型增生可能性大;

病灶20:右下叶磨玻璃结节,轮廓清楚,有微小血管进入,瘤肺边界清。考虑原位癌或不典型增生可能性大;

病灶21:右下叶磨玻璃结节,轮廓清,考虑不典型增生可能性较大;

病灶22:左下叶贴着叶间裂处密度偏高微小结节,良性可能性稍大,因其密度显高,轮廓与边界显糊,又在叶裂处。

病灶23:右中叶极淡密度微小片状影,肺泡上皮增生可能;

病灶24:右下叶叶裂处结节,实性,边缘光滑,没有收缩力,密度过高,考虑肺内淋巴结或碳沫沉积可能性大。2023年12月最明显的结节形态:


与2024年3月份复查时的对比,几乎没有变化。我的回复:两肺多达20几处结节,除了最后一处实性的考虑良性的,其他的都是磨玻璃密度,整体轮廓较清的,这在3月份的AI诊断上都有截图,其中最主要的几处就是我另外再截图了发来的这几处。它们也仍算是磨玻璃密度,病理大概会是原位癌可能性大,个把最坏可能是微浸润性腺癌,其实说不上明显实性成分,只是右上叶的那三处,最靠纵隔的那枚有血管穿过,显得像是混合密度,但肿瘤的成分仍是磨玻璃的。鉴于多发,又无法都通过手术全部切除,我的想法仍是再观察随访为主,待主病灶进展到有风险了再来考虑干预处理主病灶,并到时候兼顾同侧的其他结节是否顺带解决一部分。目前先随访,意见供参考!感悟:今天为什么要分享其实挺常见的这种多发磨玻璃病例?我想主要是由于结友问诊了这么多医生,仍在继续问,说明她虽然这些结节目前风险不大,但对她的心理造成了很大的压力,这也是结友最常见的心理状态。我觉得心理的崩溃或不断钻牛角尖的思考或许在短期内导致的害处更甚于结节本身!她问了这么多医生,肯定大部分都认为能随访,目前也没有风险大到定得赶紧处理的病灶,但她仍在不停的问诊,总想得到更让其踏实的答案。但哪位医生能说这些不是恶性范围的呢?谁能告诉她这是正常的呢?那不可能呀!已对查出多发结节,致病因素不明、预防措施没有、切又切不光、用药也不用!你说除了正确认识它、理性面对它,你能如何?在问诊中,总是有结友问到底有没有增长1毫米?CT值有没有增加?血管有没有进入?空泡有没有?实性成分有没有以及占多少?这些作为患者自己定要去纠结有何益?能说明什么问题呢?总体上,如果像今天这位结友医院提供AI辅助诊断意见,那是大小、体积、CT值、风险程度都会列的清清楚楚。但实际上在临床工作中,医生并不必这样按数值去判断风险或决定是否手术,如果这样还需要医生干嘛,AI全部会给出意见,AI说该开刀的转给胸外科、AI说可随访的回家下次来复查、AI说有风险的去消融等等。事实上我一直认为,我们看肺多发结节,关键就抓住:1、最主要的病灶风险如何:如果主病灶仍是危险性不高能随访,那么既无必要去数一共是10处还是15处,抑或20处,都没有意义,因为反正是按时复查就行;2、不同时期影像的对比,过于细微的差别,当其不足以改变临床决策的时候,就失去了深究的意义:纯磨只需随访的,你是5毫米也好,7毫米也罢,有何相干?反正仍不需干预处理。实性结节怕它危险,但若2毫米、3毫米,连影像特征都看不明白,更不可能为了这类结节去切下来化验,那么总在担心到底良性还是恶性,会不会是小细胞癌有何用?所以我在临床工作中,基本上不在意具体大小,也不去测CT值,关注一是实性成分有没有;二是血管有没有进入以及异常增粗;三是对比最早的与最近的有没有明显变化。放平心态、理性面对,该随访时按时随访,该干预时下决心干预!
















































