肺结节病误诊一例
男,35岁,咳嗽气紧2个月,各地治疗一直不见好转。DR见双肺门多发肿大的结节影,经了解病人曾在水泥厂工作10年,于是考虑尘肺病不排除淋巴转移瘤,建议病人上大医院确诊。半年后病人再次找到我,说经三甲医院最后诊断为:肺结节病。现程主任征集肺部影像病例,特为影像医生分享此病例。


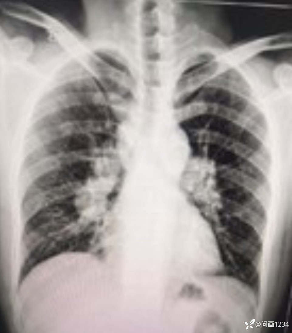
治疗半年后复查如下

男,35岁,咳嗽气紧2个月,各地治疗一直不见好转。DR见双肺门多发肿大的结节影,经了解病人曾在水泥厂工作10年,于是考虑尘肺病不排除淋巴转移瘤,建议病人上大医院确诊。半年后病人再次找到我,说经三甲医院最后诊断为:肺结节病。现程主任征集肺部影像病例,特为影像医生分享此病例。


治疗半年后复查如下

