30岁女性,糜烂性结直肠炎?溃疡性结直肠炎?
求助
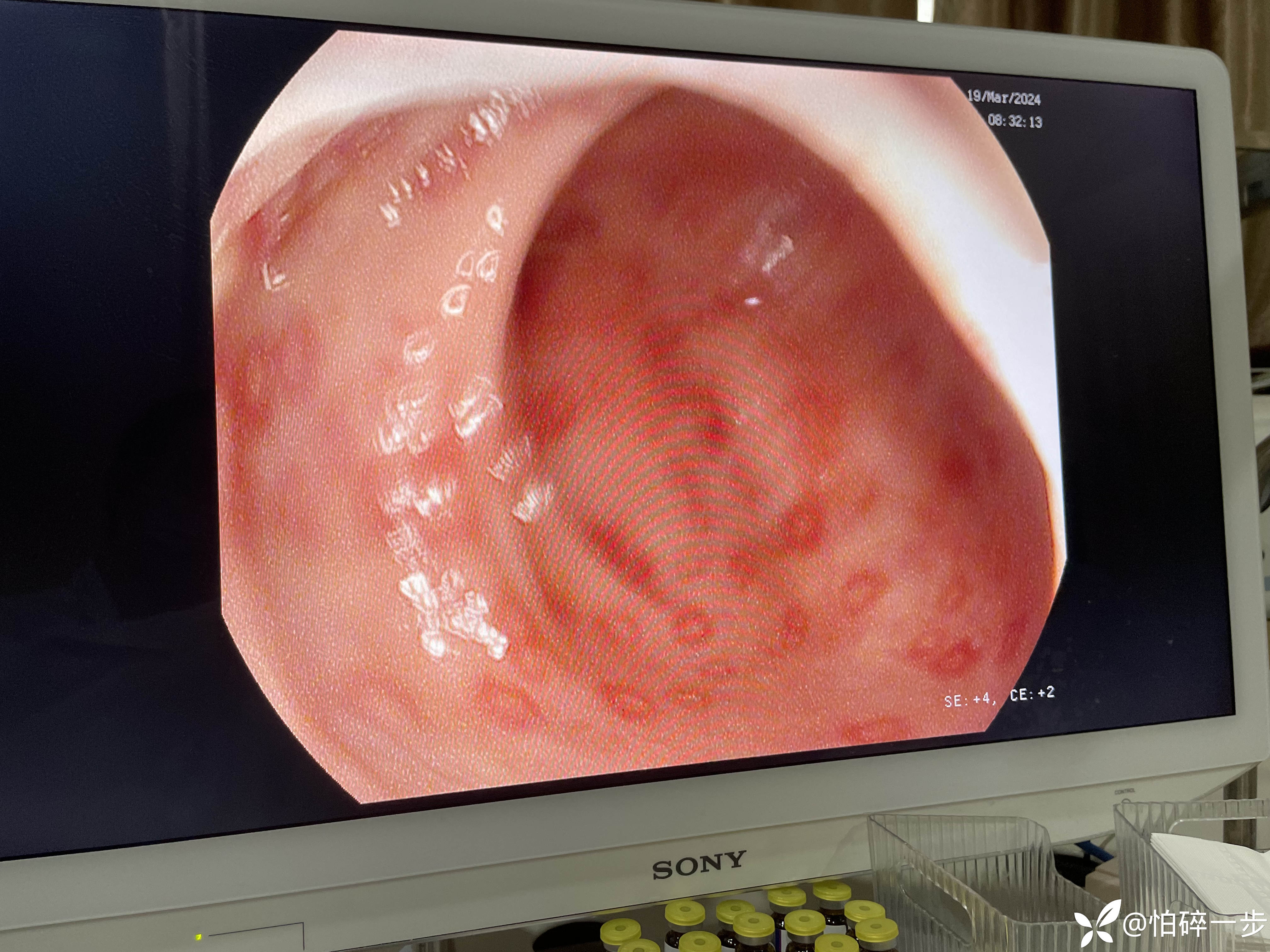
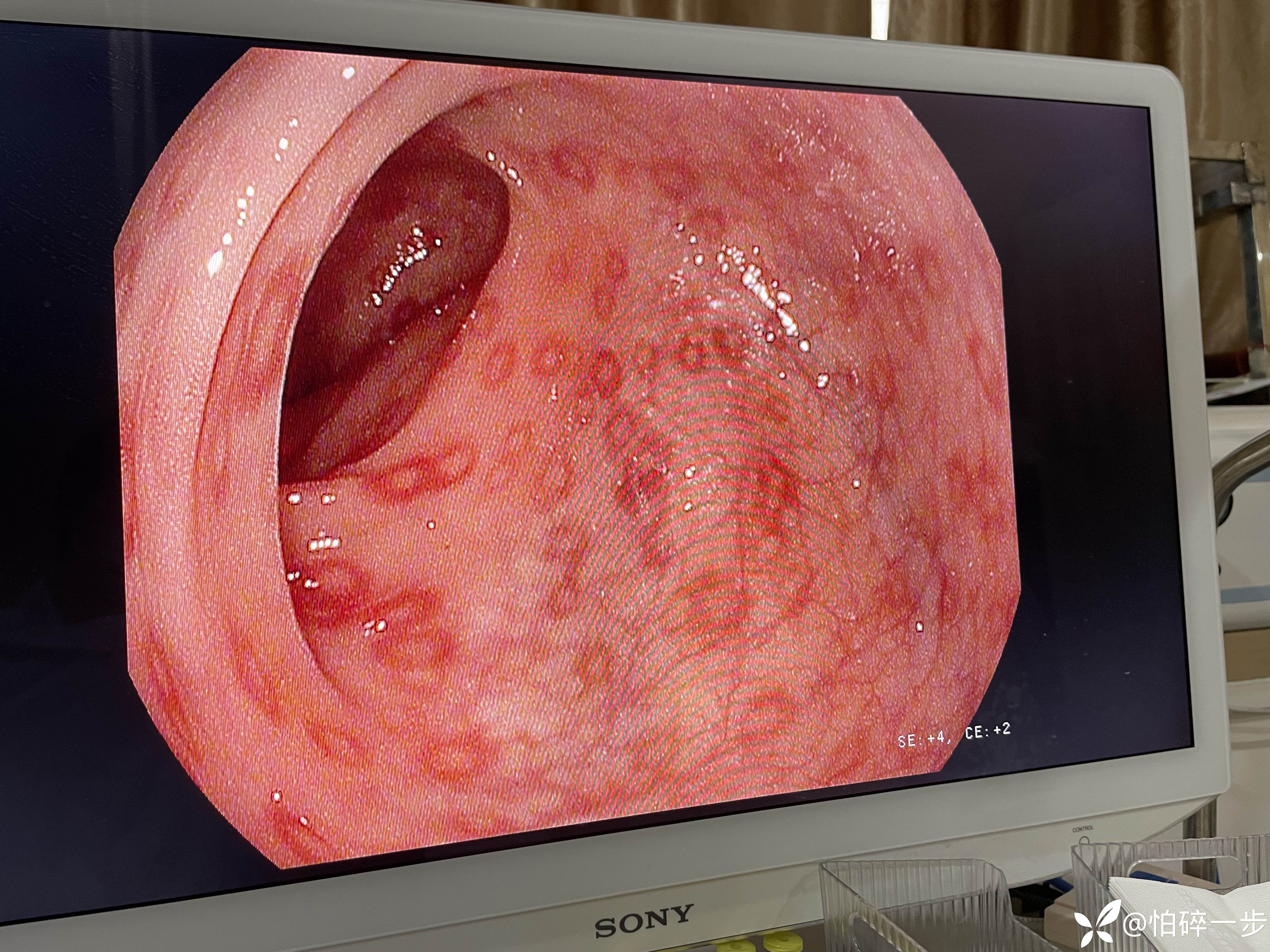
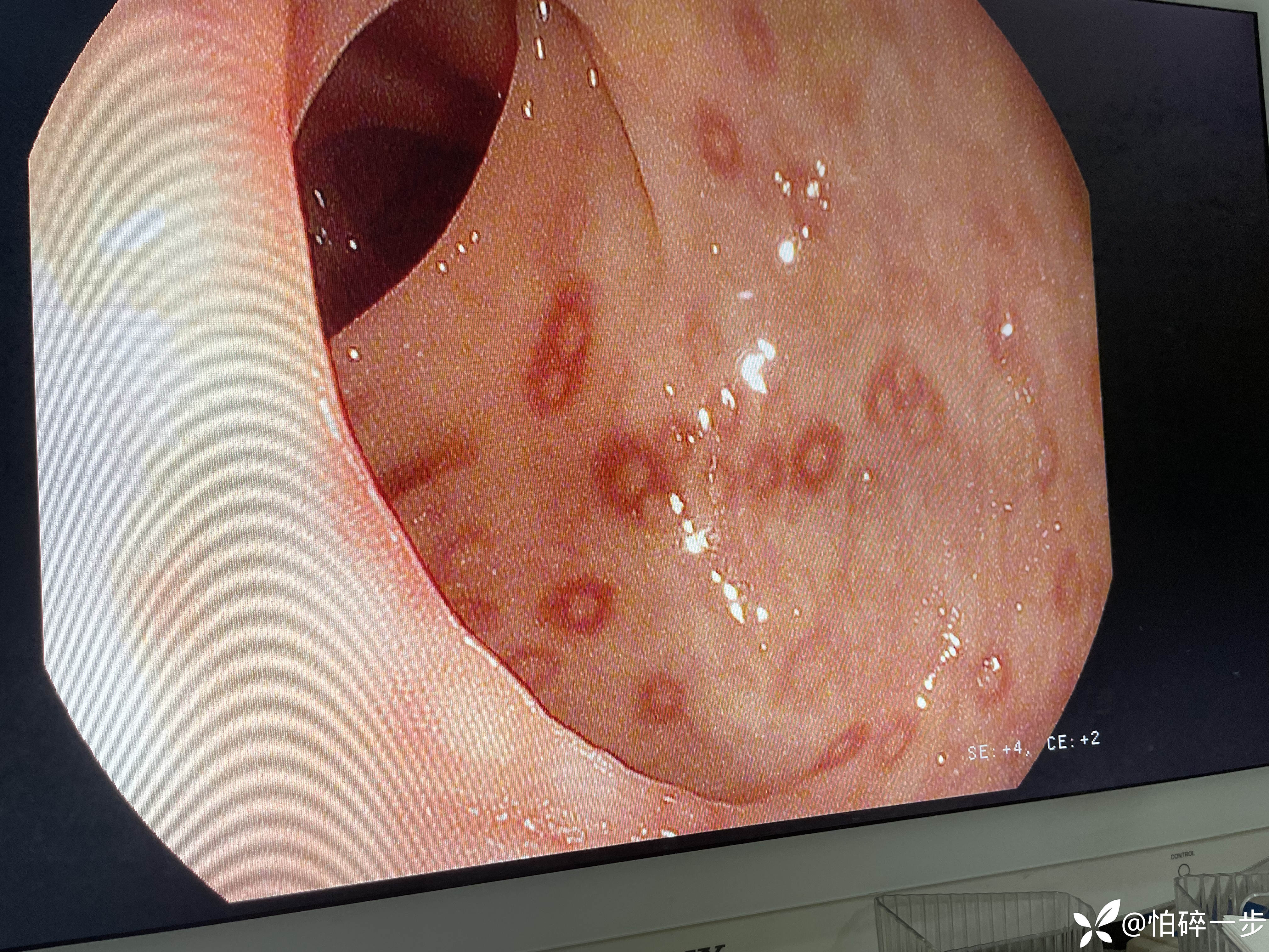
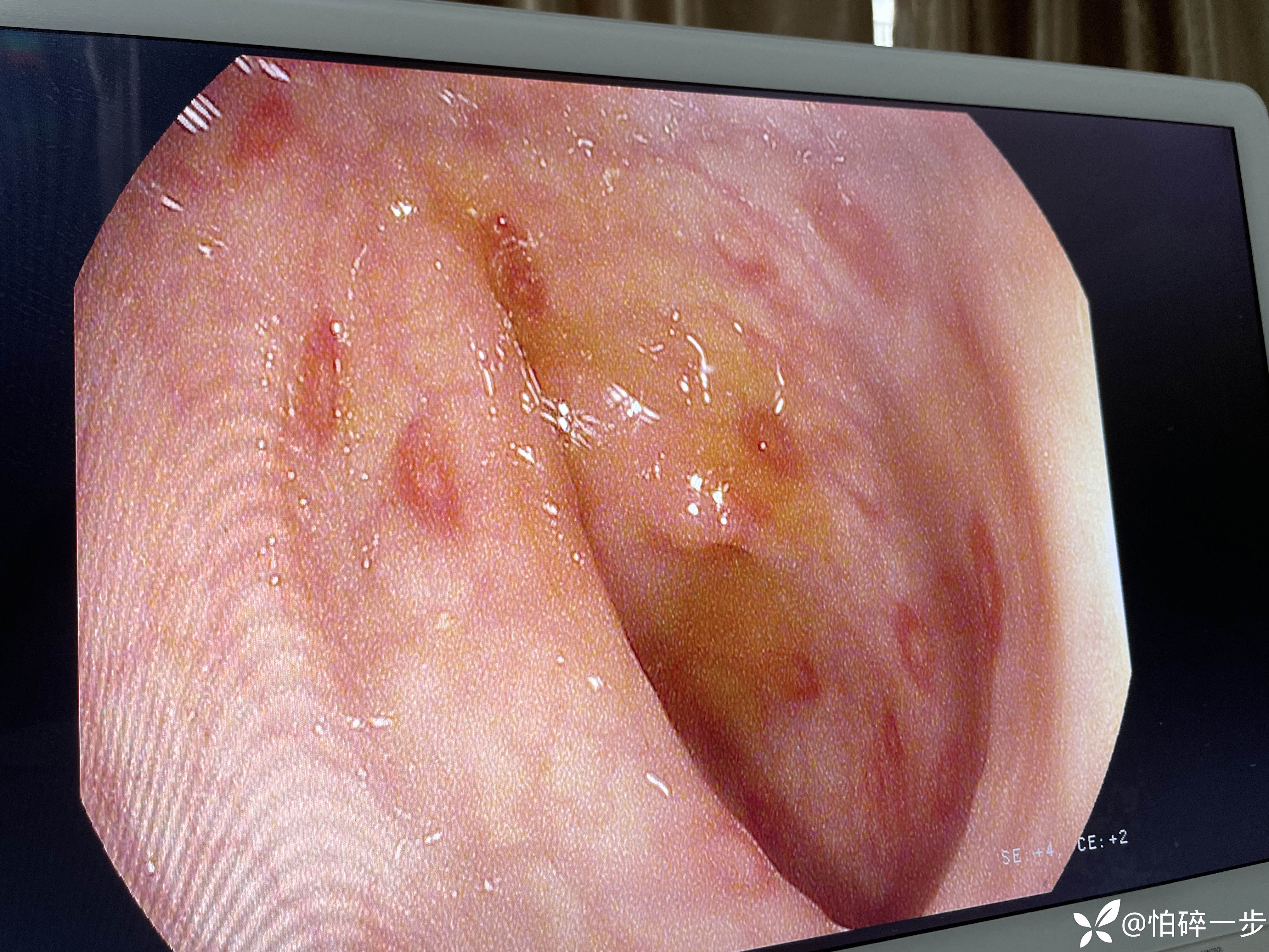
30岁,女性,2年前体检肠镜无异常。1月前无诱因突发脐周剧烈疼痛,之后出现大便改变,大便次数3-4次/天,大便变细。1周前再次出现左下腹剧烈疼痛,大便5-6次/天,大便不成形,排便结束时混有黏液,1周以来下腹部隐痛不适,有2次解黑便史,未进行治疗。本次门诊肠镜检查提示如下。请问各位站友意见如何?








求助
30岁,女性,2年前体检肠镜无异常。1月前无诱因突发脐周剧烈疼痛,之后出现大便改变,大便次数3-4次/天,大便变细。1周前再次出现左下腹剧烈疼痛,大便5-6次/天,大便不成形,排便结束时混有黏液,1周以来下腹部隐痛不适,有2次解黑便史,未进行治疗。本次门诊肠镜检查提示如下。请问各位站友意见如何?








