消化系统少见病(一百三十四):腹痛、腹泻、便血
患者男性,75岁。因脐周疼痛、腹泻、血性便而就诊。疼痛呈持续性,伴间断恶心呕吐,吐出物为胃内食物。
查体:右腰区压痛,无包块。
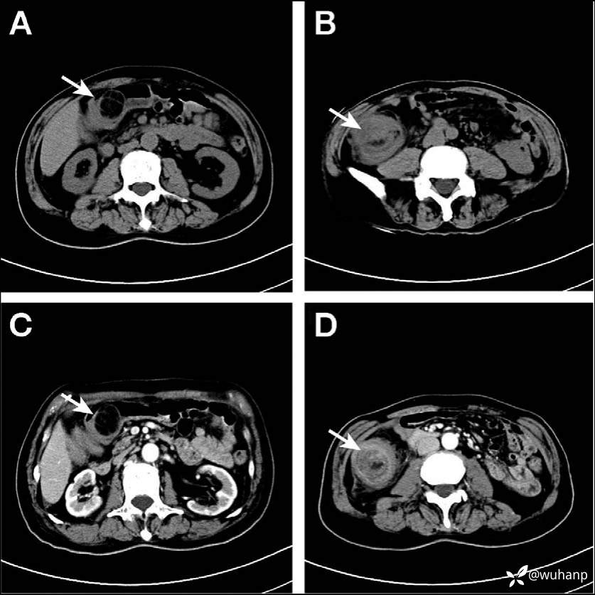
辅助检查:Hb 71g/L。AFP、CEA正常。腹部B超提示右上腹可探及7cm大小混合回声的肿块。腹部CT平扫提示结肠肝曲处广泛肠壁增厚,呈椭圆形(图A-D)。

请问:诊断是什么?
A 结肠癌 B 肠套叠 C 结肠NET D 结肠血管脂肪瘤
(Gastro,11-Jan)
患者男性,75岁。因脐周疼痛、腹泻、血性便而就诊。疼痛呈持续性,伴间断恶心呕吐,吐出物为胃内食物。
查体:右腰区压痛,无包块。
辅助检查:Hb 71g/L。AFP、CEA正常。腹部B超提示右上腹可探及7cm大小混合回声的肿块。腹部CT平扫提示结肠肝曲处广泛肠壁增厚,呈椭圆形(图A-D)。

请问:诊断是什么?
A 结肠癌 B 肠套叠 C 结肠NET D 结肠血管脂肪瘤
(Gastro,11-Jan)
