【骨肌】特别精彩病例|骶尾部疼痛3年余,加重2月
呱呱叫了 等 2 位达人已点赞患者性别:男
患者年龄:42岁
简要病史:骶尾部疼痛3年余,加重2月
实验室检查:无特殊
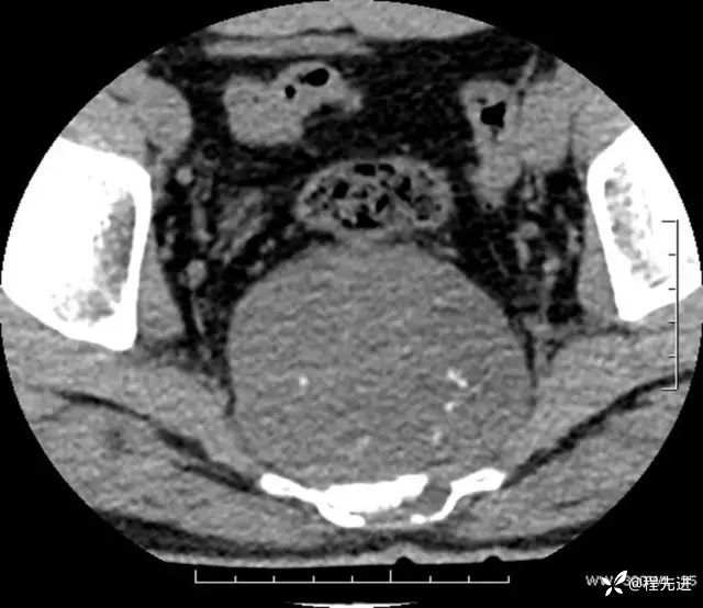
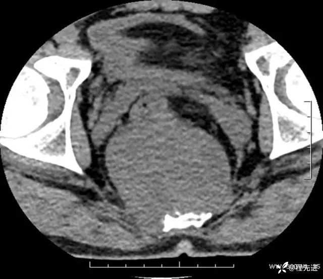
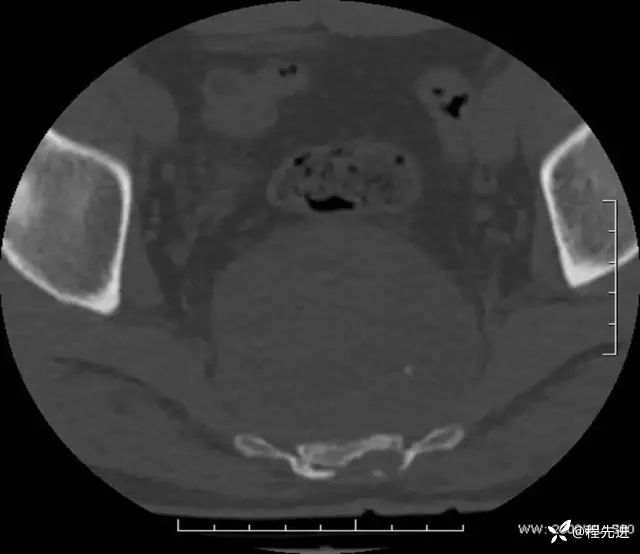
CT平扫:
软组织窗:


骨窗:


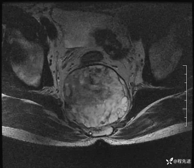
MRI平扫+增强:
T2:

T2压脂:

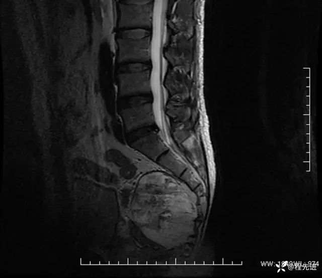
T2矢状位:

T2冠状位:

T1冠状位:

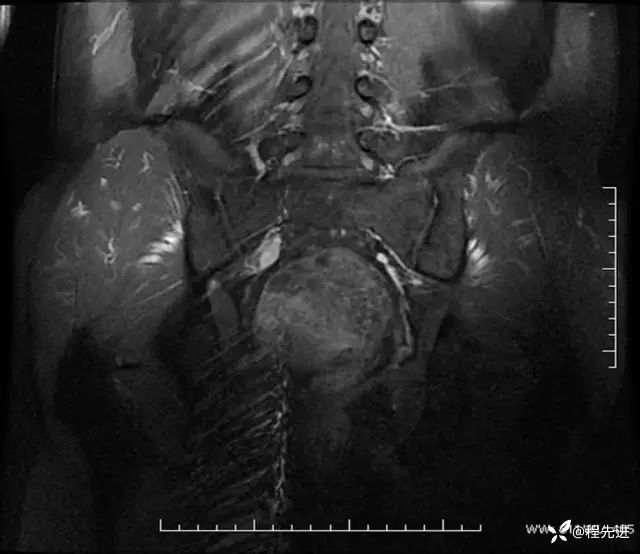
T1压脂增强冠状位:

期待您的精彩解读!
呱呱叫了 等 2 位达人已点赞患者性别:男
患者年龄:42岁
简要病史:骶尾部疼痛3年余,加重2月
实验室检查:无特殊
CT平扫:
软组织窗:


骨窗:


MRI平扫+增强:
T2:

T2压脂:

T2矢状位:

T2冠状位:

T1冠状位:

T1压脂增强冠状位:

期待您的精彩解读!
