酮症酸中毒脑水肿如何处理
情Ca晚期 推荐基层医院脑外科,今日遇到的一例会诊,想请教各位老师。
28岁女性患者,恶心呕吐纳差3天入院,既往糖尿病病史3年。
会诊时患者昏迷,E1V1M1,瞳孔3mm,反射无。
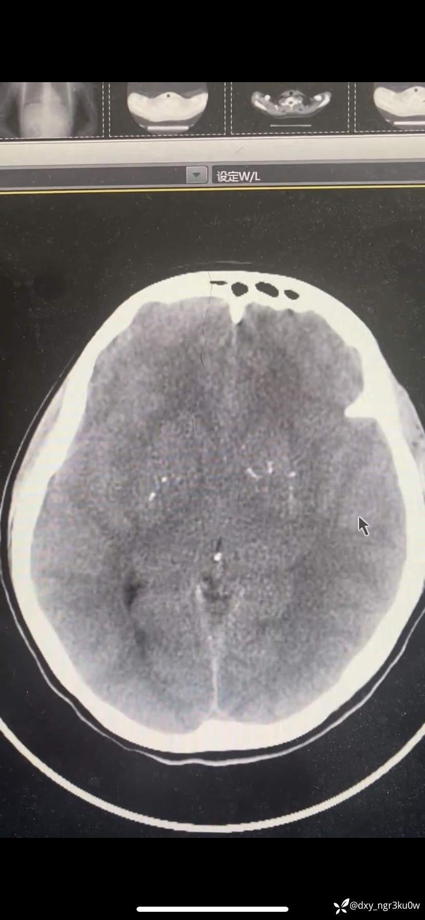
入院血气分析:ph:7.001,PCO2 10.7,PO2 136.6,Na124,K5.18,HCO3- 2.6,Glu>30,Lac1.7。颅脑CT如下
想请问一个各位老师这个病人的治疗方案及具体用药







情Ca晚期 推荐基层医院脑外科,今日遇到的一例会诊,想请教各位老师。
28岁女性患者,恶心呕吐纳差3天入院,既往糖尿病病史3年。
会诊时患者昏迷,E1V1M1,瞳孔3mm,反射无。
入院血气分析:ph:7.001,PCO2 10.7,PO2 136.6,Na124,K5.18,HCO3- 2.6,Glu>30,Lac1.7。颅脑CT如下
想请问一个各位老师这个病人的治疗方案及具体用药







