病例分享 |去了趟厕所就没能醒过来
青鹊词 推荐患者性别:女
患者年龄:37岁
主诉:(代诉)意识障碍2日
简要病史:患者于入院2日前有发热情况,未予重视,如厕后出现意识障碍,家属给掐“人中”等,发现患者不认识人,有精神症状,病程中无眼球上翻,无口吐白沫,无舌咬伤、无抽搐发作,意识障碍逐渐加重,于当地医院给药抗感染、促醒等治疗后症状无改善。
体格检查:入院查体:体温37.3°C,脉搏76次/分,呼吸19次/分,血氧饱和度98%(吸氧中),深昏迷,双侧额纹对称,右眼球居中,右侧瞳孔居右上象限固定,直径2.0毫米,左眼球居中,瞳孔居中,直径2.0毫米,双眼对光反射消失,脑膜刺激征阴性,四肢坠落试验阳性,双下肢病理征阳性。
辅助检查:

心电图

消化系彩超

泌尿系彩超

颈部血管彩超

心脏彩超

头MRA

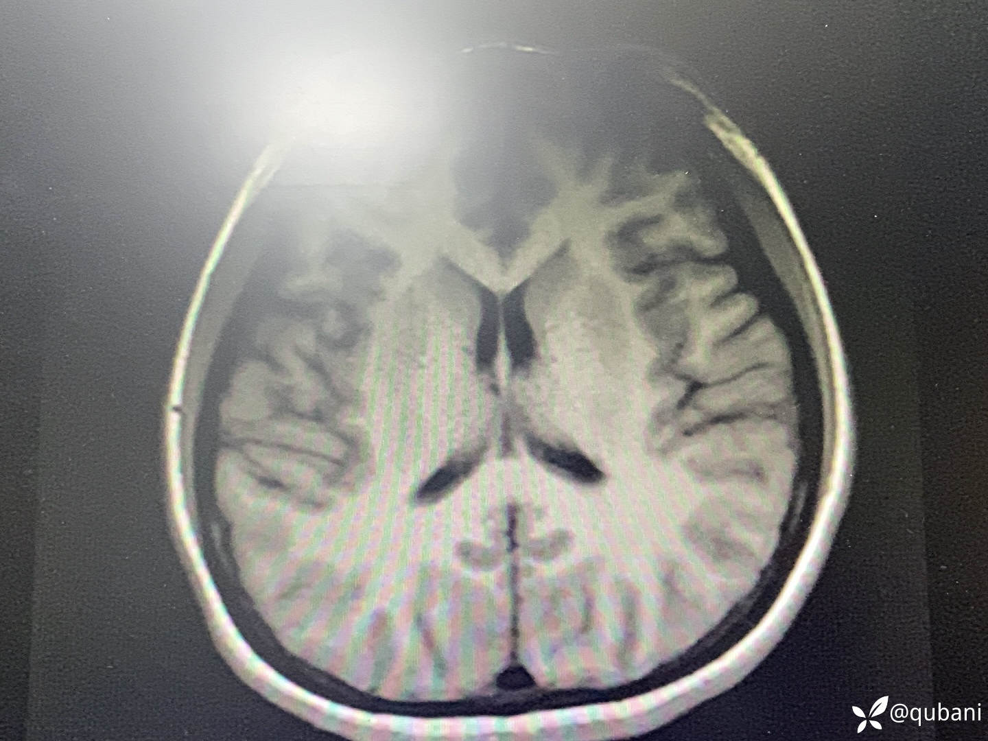
头MRI+DWI

新冠病毒检测

血细胞分析

凝血常规

生化

生化

生化

乙肝,丙肝,梅毒,艾滋病抗体

脑脊液常规

脑脊液生化

脑脊液蛋白定量


血清蛋白定量

脑脊液IgG指数

IgG寡克隆带分析

病毒性脑炎七项检测

自免脑20项测定





































































