使劲憋出低血压?
fy1940 达人已点赞患者女性,72岁,主因“突发晕厥2次,胸闷、气短10小时”收住。患者自述于入院前10小时,无明显诱因突发晕厥,半小时后好转,共晕厥2次,伴有胸闷、气短。就诊于当地医院,考虑肺栓塞。遂急诊于我院。既往2021年有肺栓塞病史,半月前行腹腔镜下胆囊切除术。
入院查血常规,生化全项,免疫球蛋白,补体正常,D二聚体 11.89ug/ml,血沉 28mm/h,hsTnI 0.539ng/ml(<0.026)。
心脏彩超:EF 66%,肺动脉压 42mmHg,右房饱满。
下肢静脉彩超:右侧小腿肌间静脉血栓。
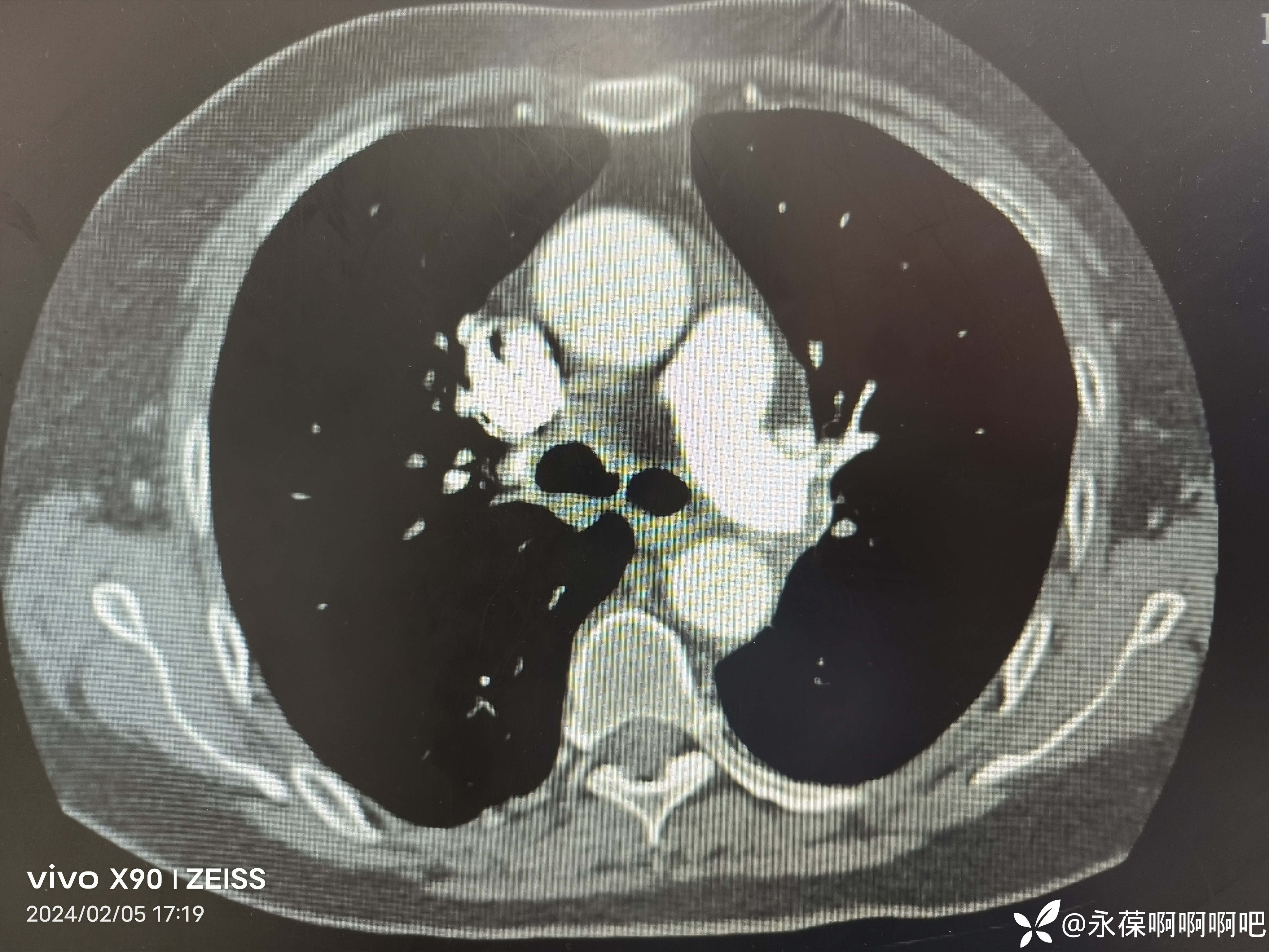
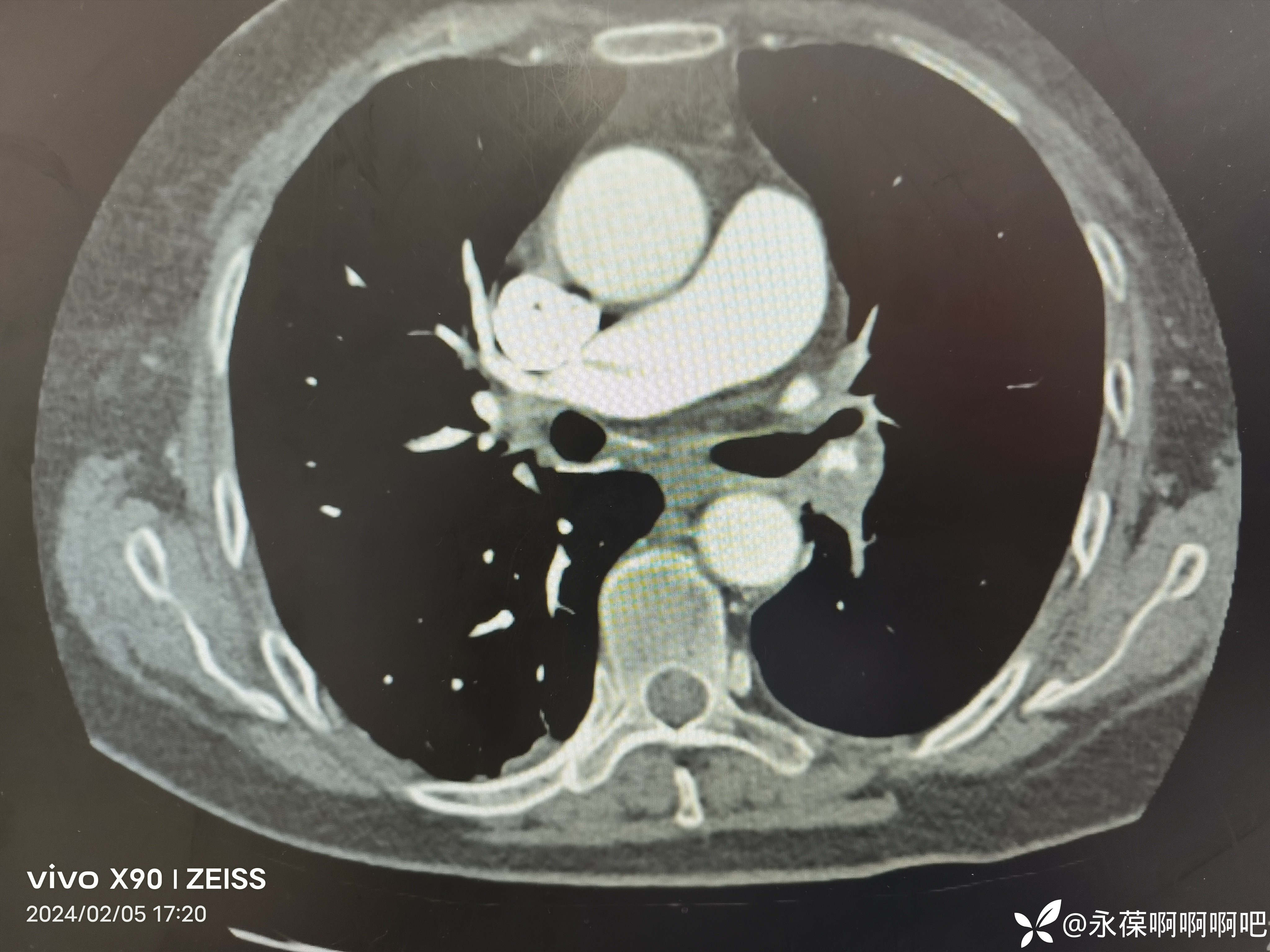
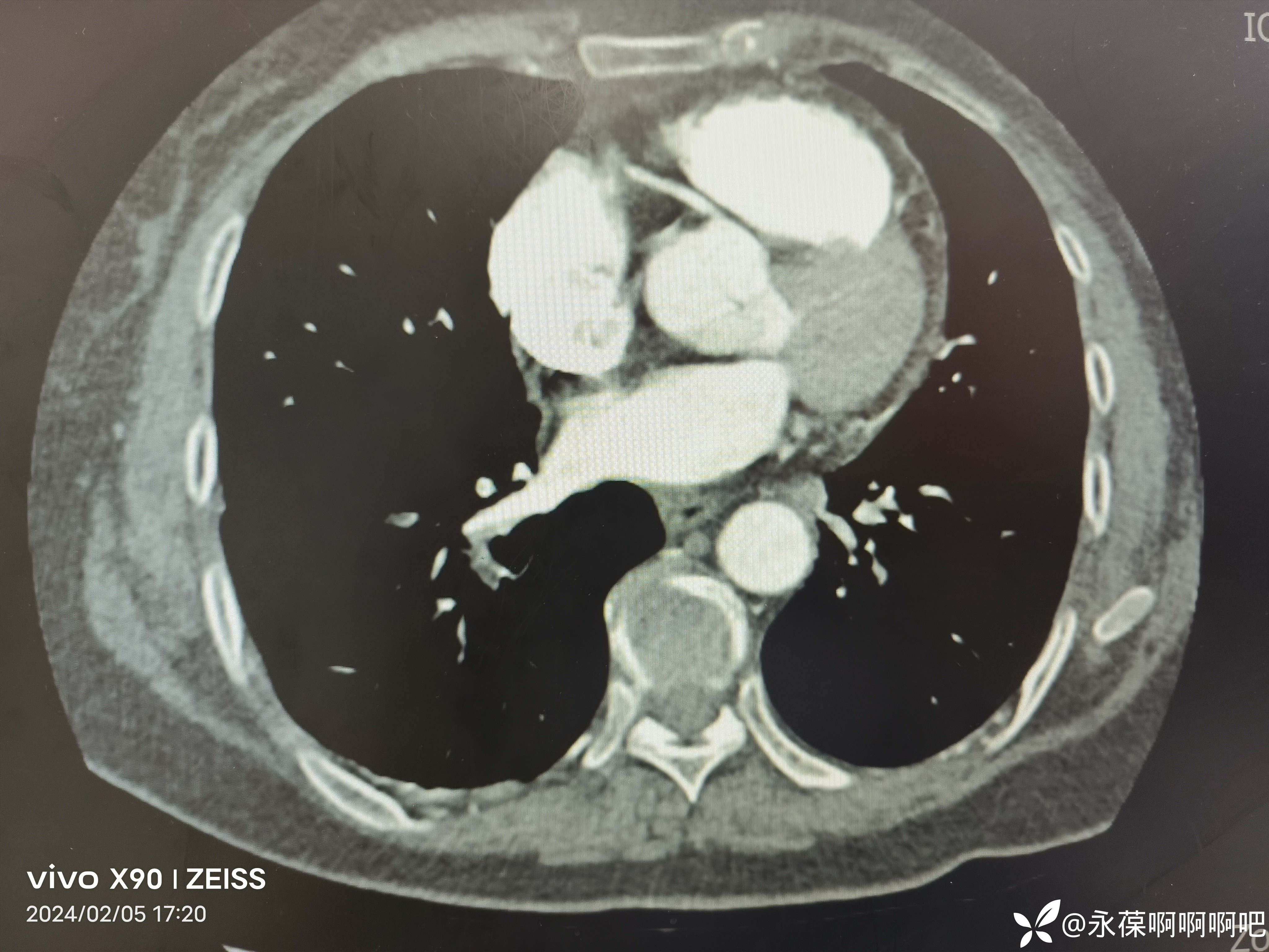
肺动脉CTA:左右肺动脉干及其分支多发栓塞。






患者入院后行下腔静脉滤器植入+肺动脉溶栓治疗。
入院第四天上午复查D 二聚体 1.51ug/ml。
患者于入院第四天12时,排便困难,使劲憋死排便后出现血压、心率进行性下降。最低时血压66/42mmHg,心率42次/分。查体:神志恍惚,嗜睡状态,面色苍白,口唇无发绀,全身皮肤湿冷。四肢关节活动可。
即刻给予补液治疗,复查血糖7mmol/L,血常规正常,血钾 3.31mmol/L。复查心电图如下:

经补液治疗后患者血压、心率逐渐恢复正常,问答切题,四肢活动良好。
请教各位大神,这种情况考虑什么问题啊?
















































