第二磨牙:治疗建议
张口受限:
第二磨牙的治疗很大程度依赖患者的张口程度
张口受限的患者,7号牙的视野不清晰,无法上障,工具无法进入,靠近咽喉容易恶心
凭借“手感”的治疗都是在耍流氓,更要命的是下7还容易出现C形根管
在网上很多大咖出一些7号牙根管治疗的视频,显微镜下操作,都是在患者
3.5-4横指的开口度(未有明确的研究,但事实就是这样)

张口未达3.5横指以上的7号牙(上不了障布的牙齿)
龋病:去腐玻璃离子充填
牙髓炎:失活后干髓治疗,玻璃离子充填
根尖炎:当智齿拔掉即可
———
牙隐裂:
叩痛,咬物痛
无根尖阴影,无自发痛
mock up 备牙做临时牙,使用1个月左右,没问题高嵌体伺候
对于依从性没那么好的病人,直接麻醉根管高嵌体
留不留牙髓依从性在作祟
———
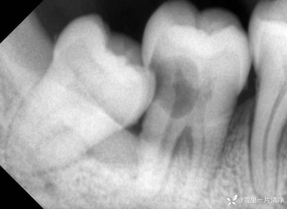
8号牙在作祟:
7号牙2度松动,牙内吸收波及根干
正常来说7、8一起拔,种7,是最win的方案
其次摆烂方案是直接拔除第二磨牙,保留8

———
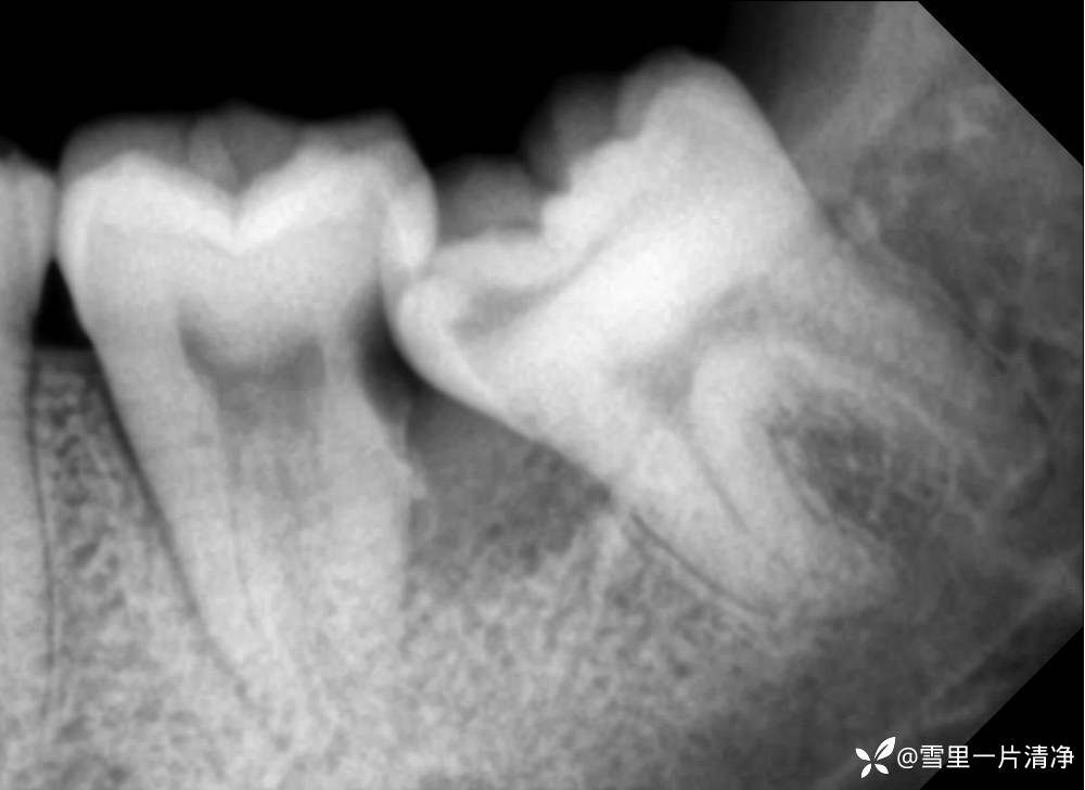
7号牙不松动,根干完整,7、8邻面有三角形骨吸收,形成清洁盲区,加上7号牙的支抗作用促进龋坏,7仅冷水入冬疼
这个方案就很自由
摆烂方案:拔7留8
挑战方案:拔完8立刻进行7先失活1周
超级摆烂方案:失活7,干髓

———
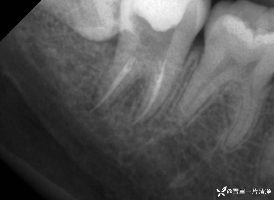
2号片子,7号牙无松动,根干完整,先拔除8再进行7号牙的治疗
这是雪梨,血的教训!后牙拔除8 的时候辛辛苦苦的龈壁提升,被自己搞掉了,还带了部分牙出来

2号片子

2号片子
思考:
如果患者处于2号片子,患者不好搞,不想麻烦,拔掉7就好了
———
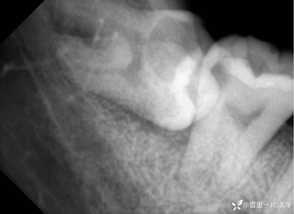
这里留个简单的片子你们可以发挥下想象你遇到了该怎么办

———
















































