一例气管切开后气道塌陷病例分享
医者超哥等 2人推荐患者车祸伤致意识障碍50余天。当地查头颅CT:脑出血、急性硬膜下血肿,当地行颅内血肿清除术+去骨瓣减压术,患者意识昏迷,行气管切开,术后复查对侧再次出血,遂再次行颅内血肿清除术,术后对症治疗(具体不详),后患者意识恢复差,间断体温高、心率快,为求进一步治疗,就诊于我院,考虑患者左侧硬膜下积液增多(2023.11.7)

给予锥颅及腰穿后效果欠佳,于神外行颅骨修补术(2023.11.14)

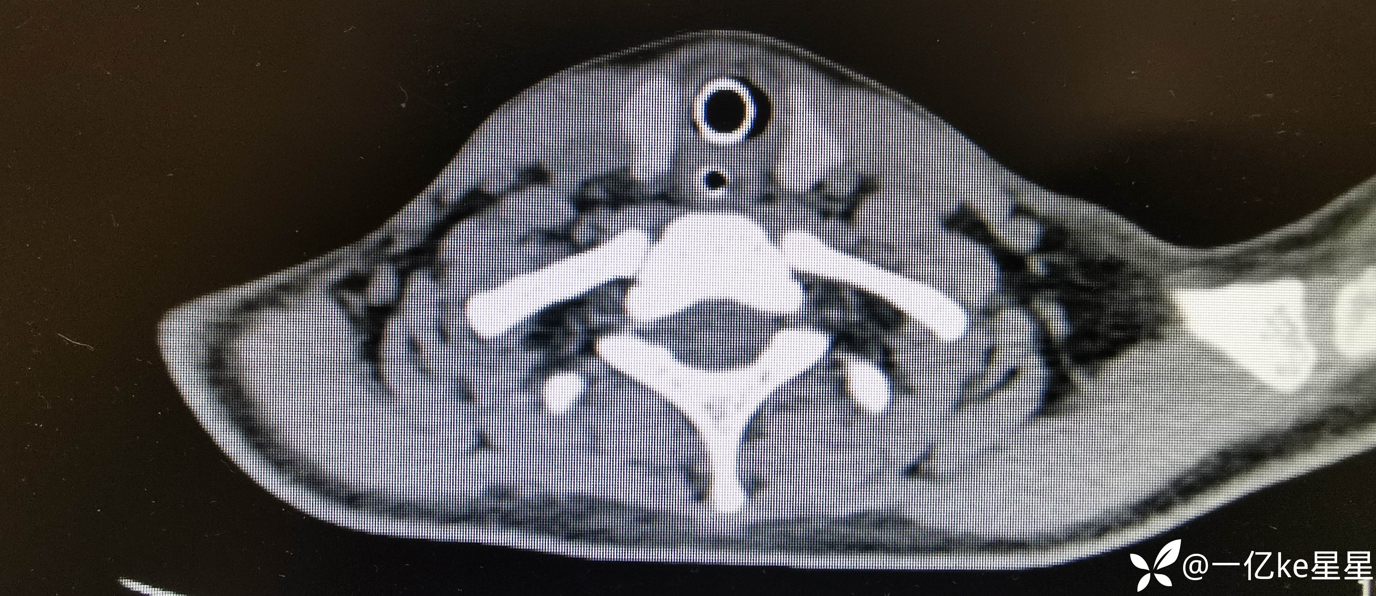
术后给予、抗感染(头孢哌酮舒巴坦钠3g+NS100ml ivgtt q12h)、预防癫痫(左乙拉西坦0.75g 管饲 bid、雾化(乙酰半胱氨酸)、胞磷胆碱胶囊2粒 tid、单唾液酸四己糖神经节苷脂钠注射液40mg+NS100ml ivgtt qd、补液、高压氧治疗、康复训练等治疗,患者意识状态好转,患者神志清(2023.11.30),拟拔除气管插管,间断堵管约2小时后,患者出现喘憋不适,氧饱未见明显降低,完善胸部CT(2023.11.28):考虑存在气道狭窄

进一步完善支气管镜检查:

考虑患者气管切开时间长,出现气管切开上段气道塌陷,进一步行T管置入术,术后复查胸部CT(2023.12.27)。

















































