什么肺炎隔了不到1天,炎症指标就飙升?
老年男性(80多岁),入院情况了下图:

。既往有高血压病史,血压控制范围不详。既往有股骨骨折病史1年余,已行手术治疗,但骨未愈合(营养状态差),长期卧床。
在急诊科行气管插管后转入ICU监护诊治。入院时一些相关化验:







其中降钙素原1.79。
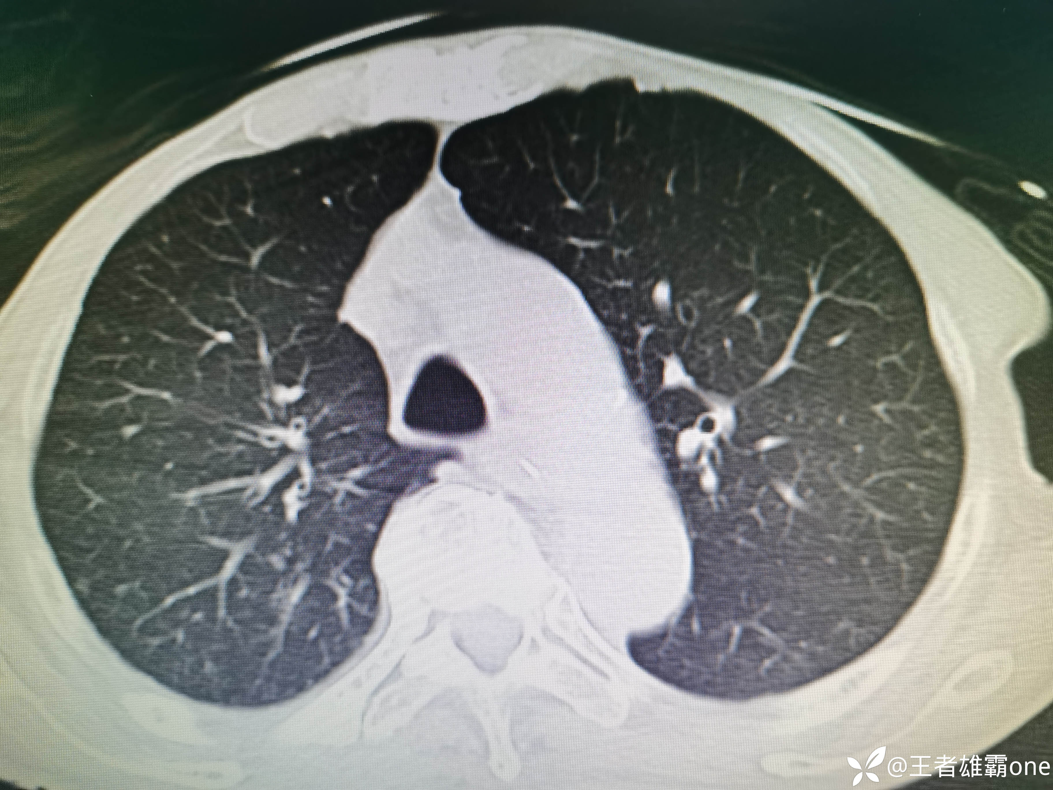
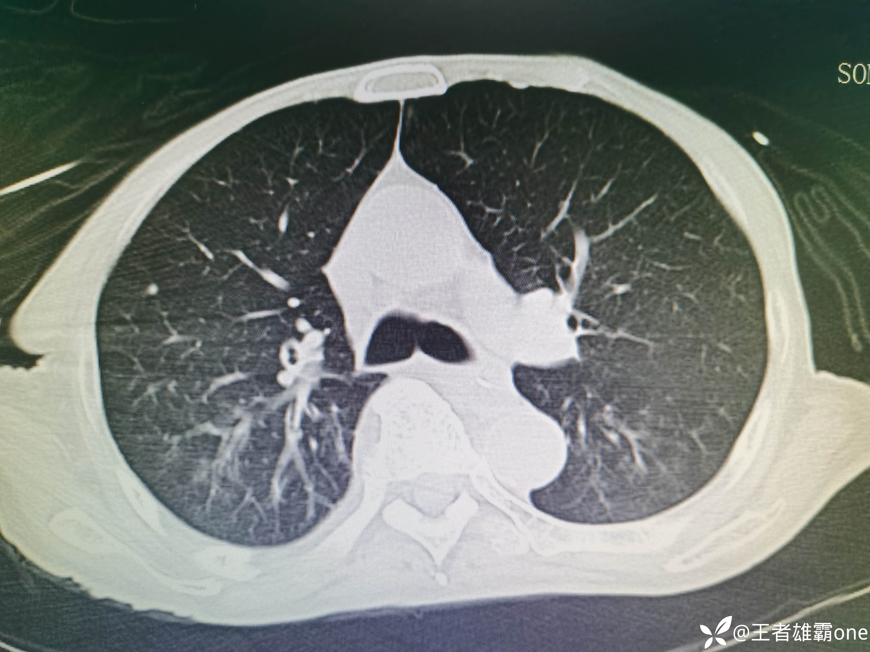
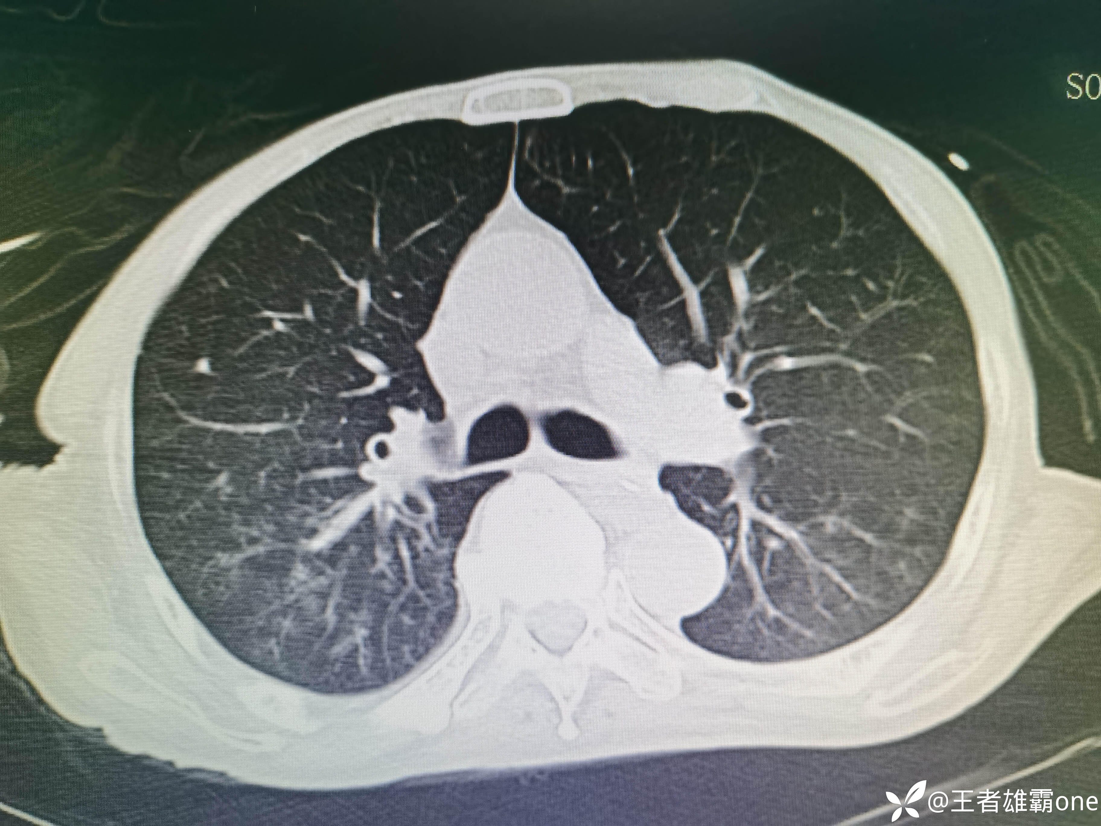
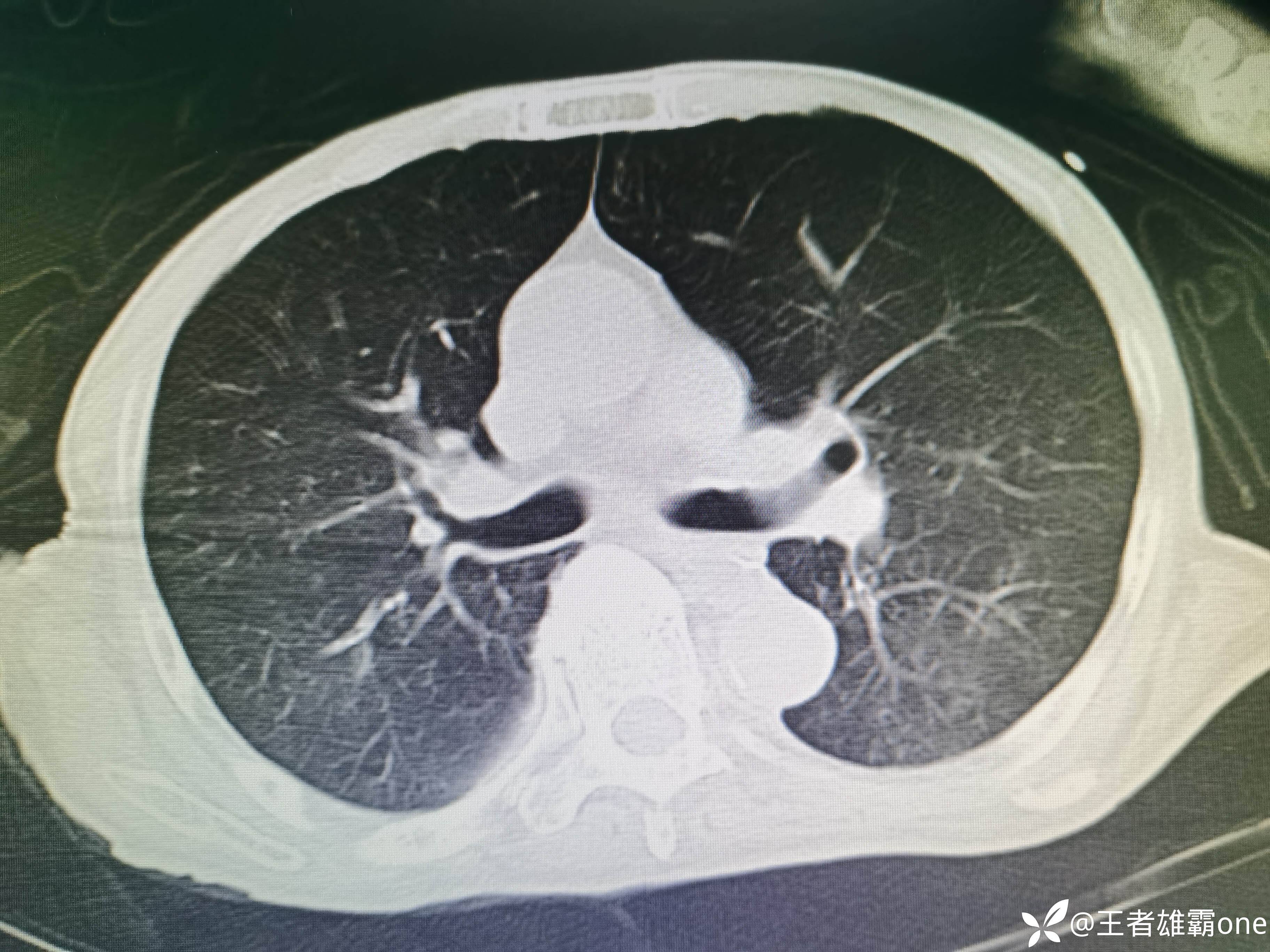
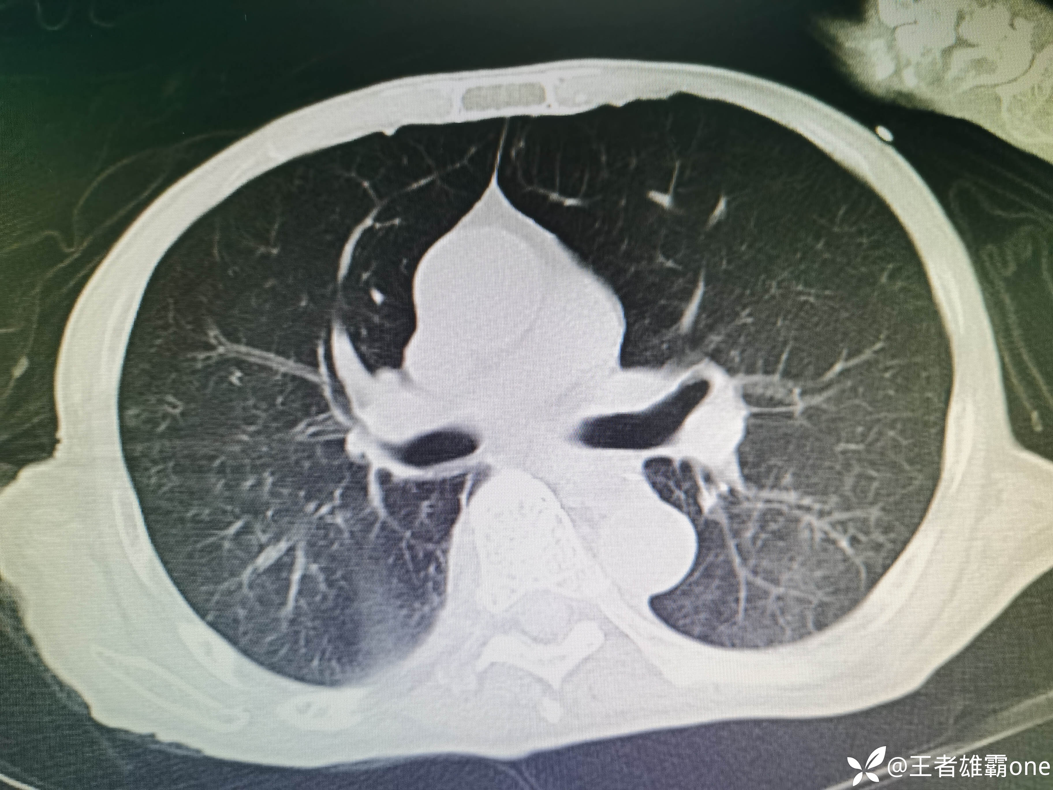
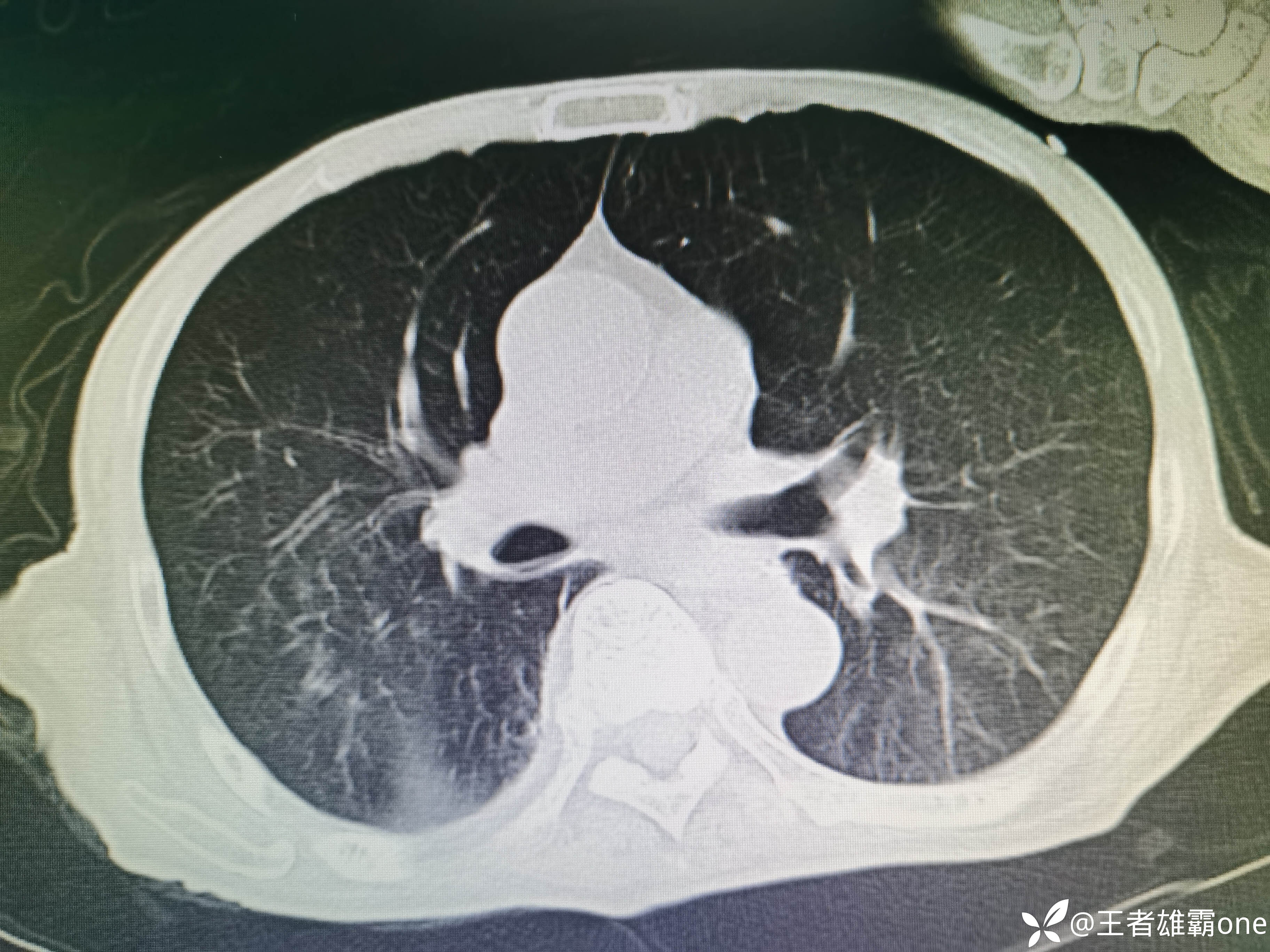
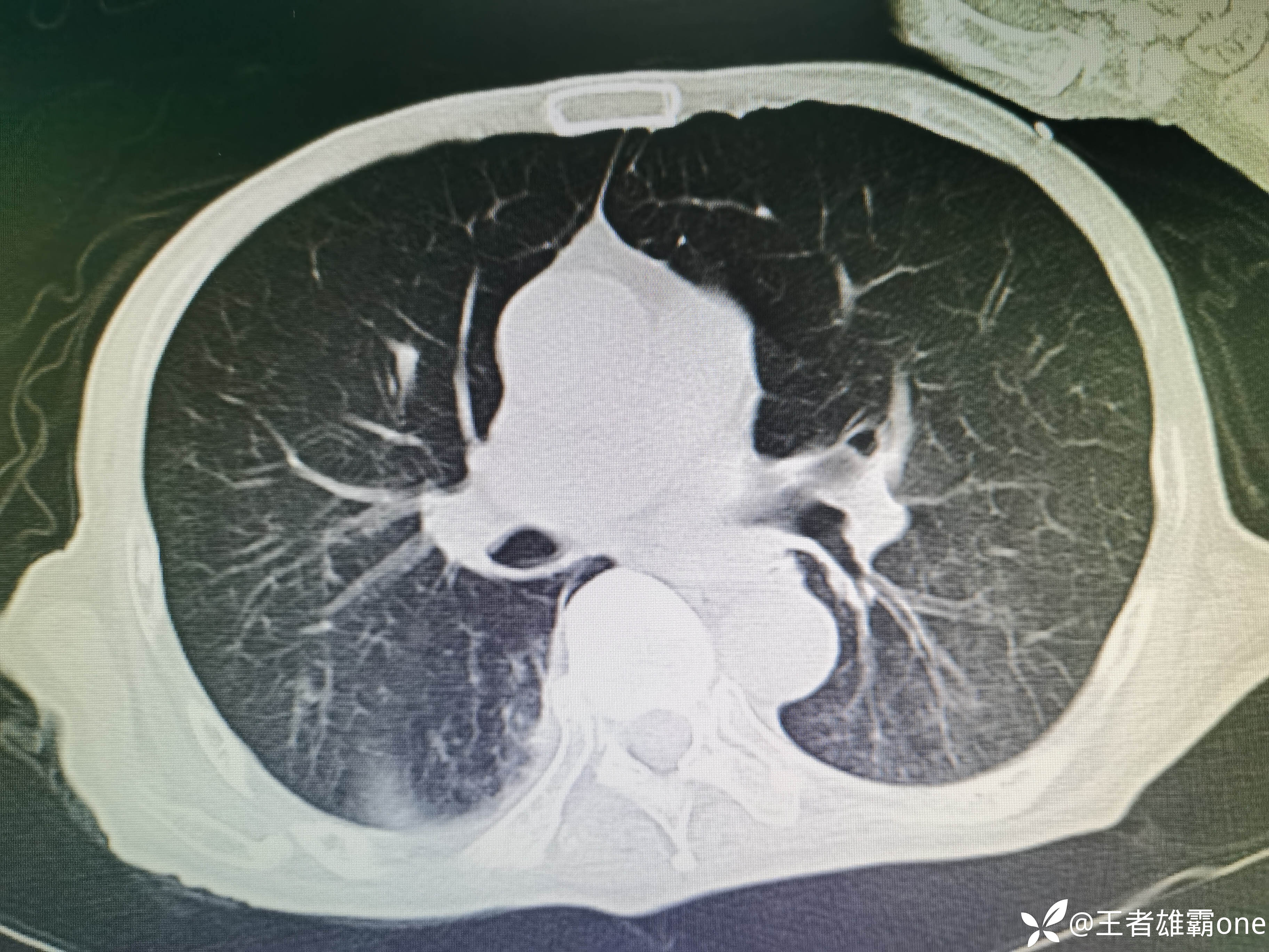
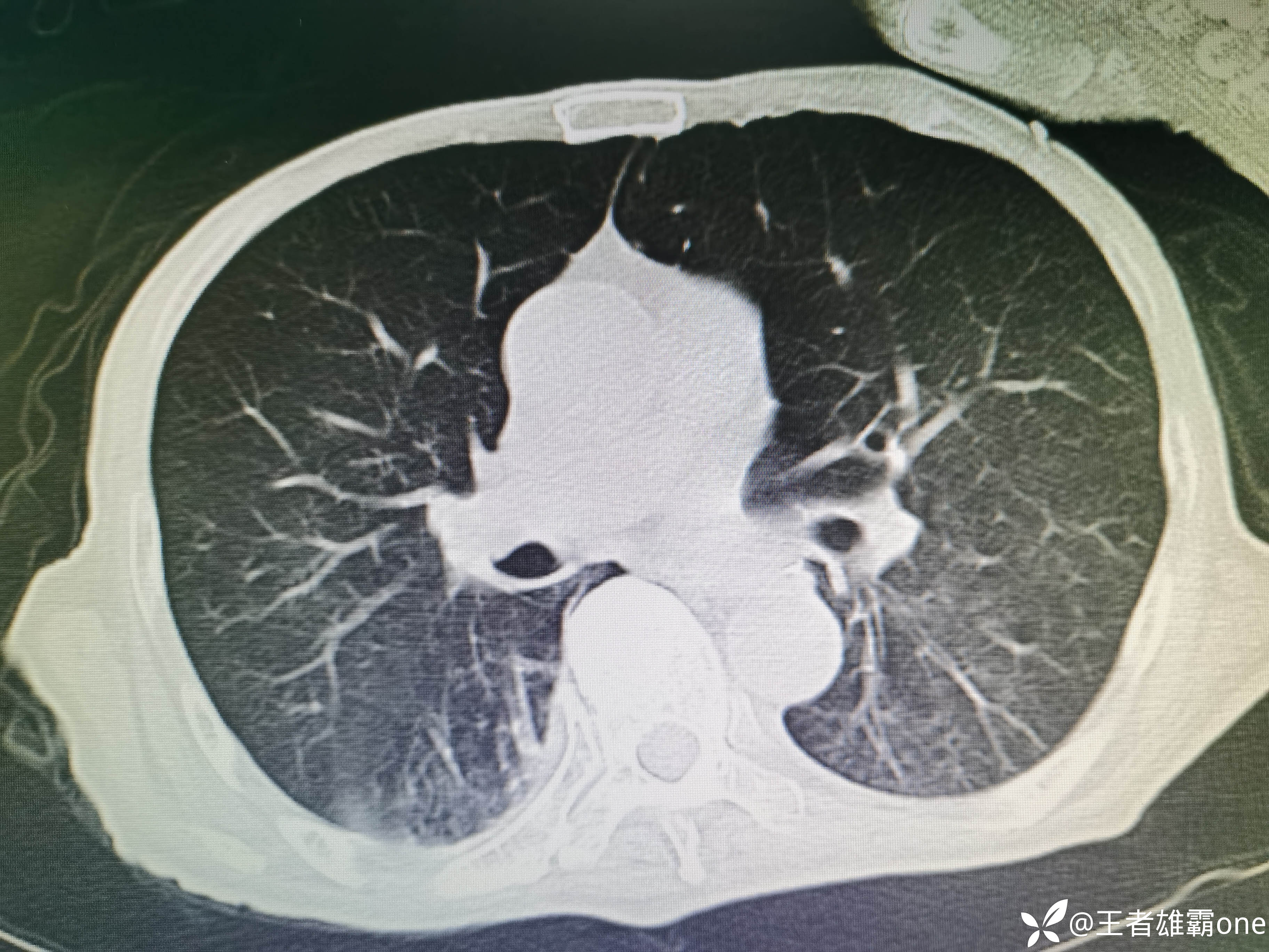
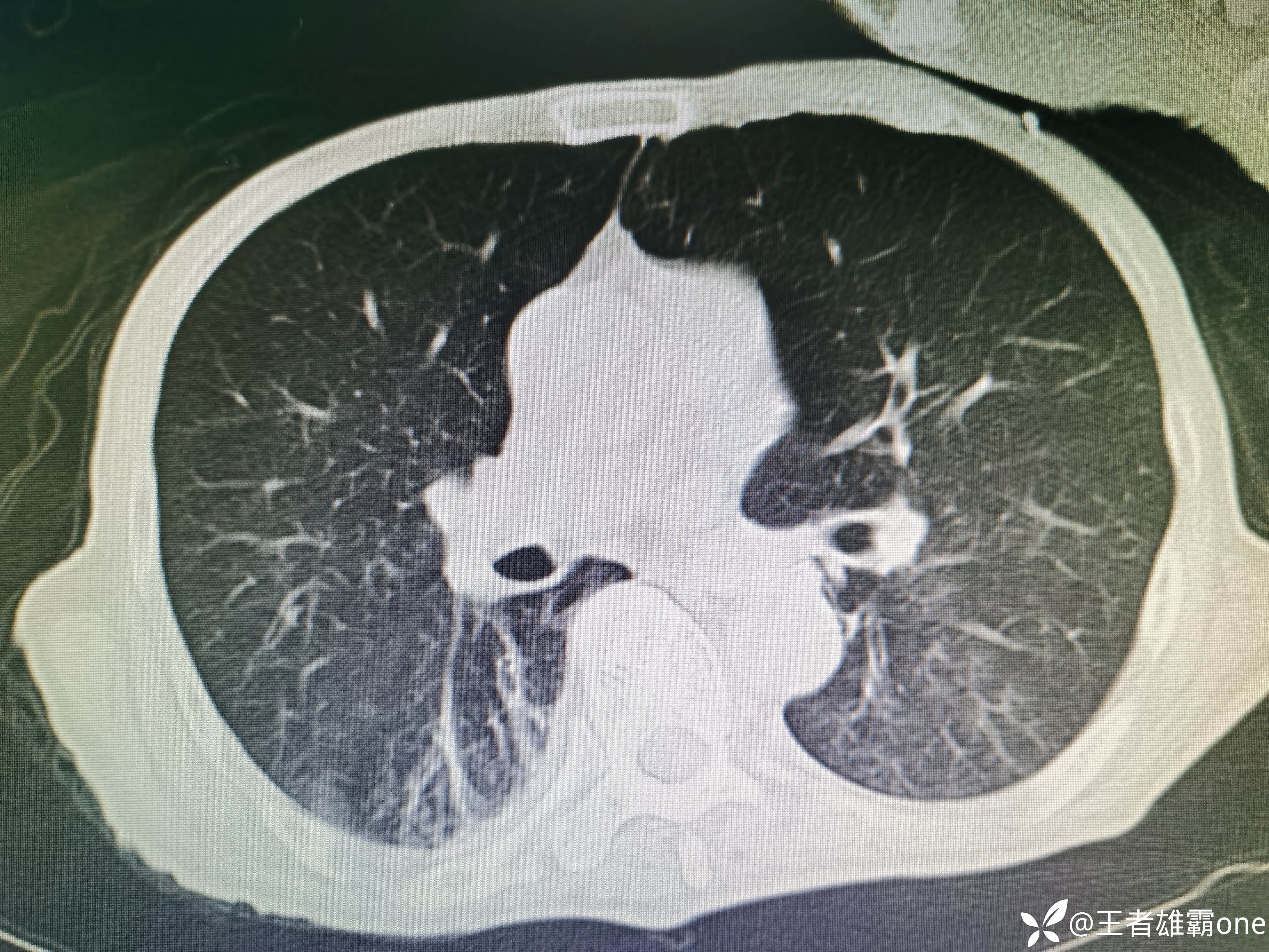
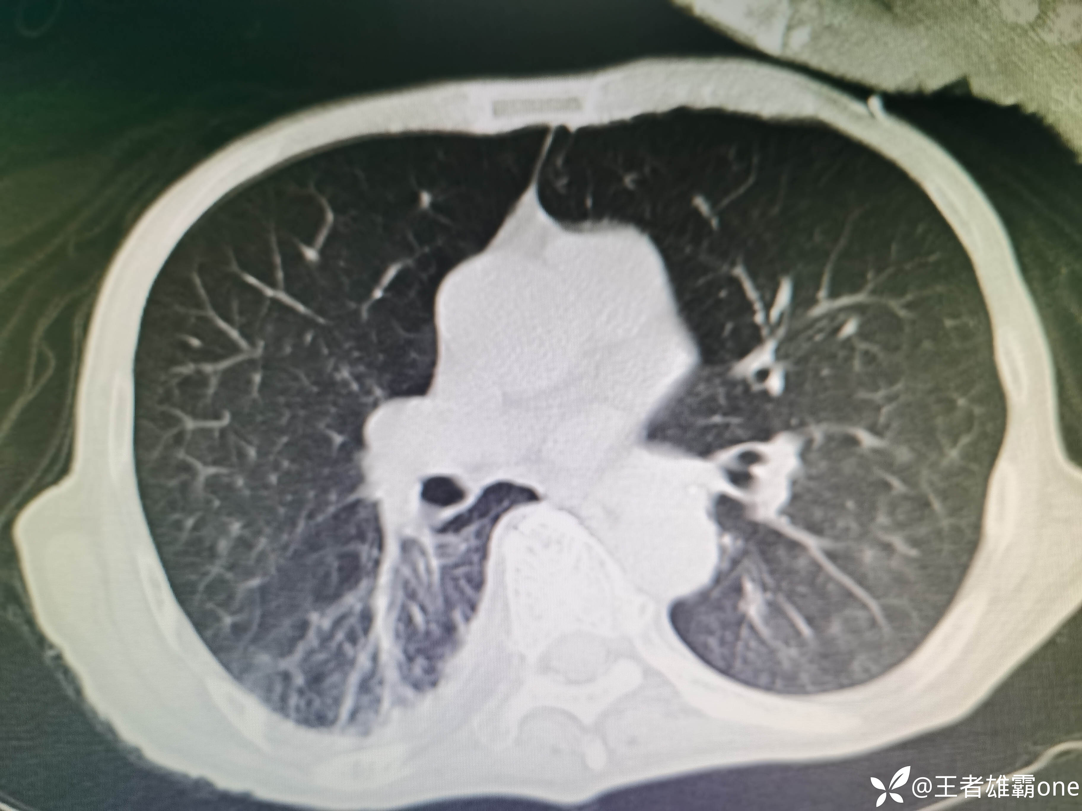
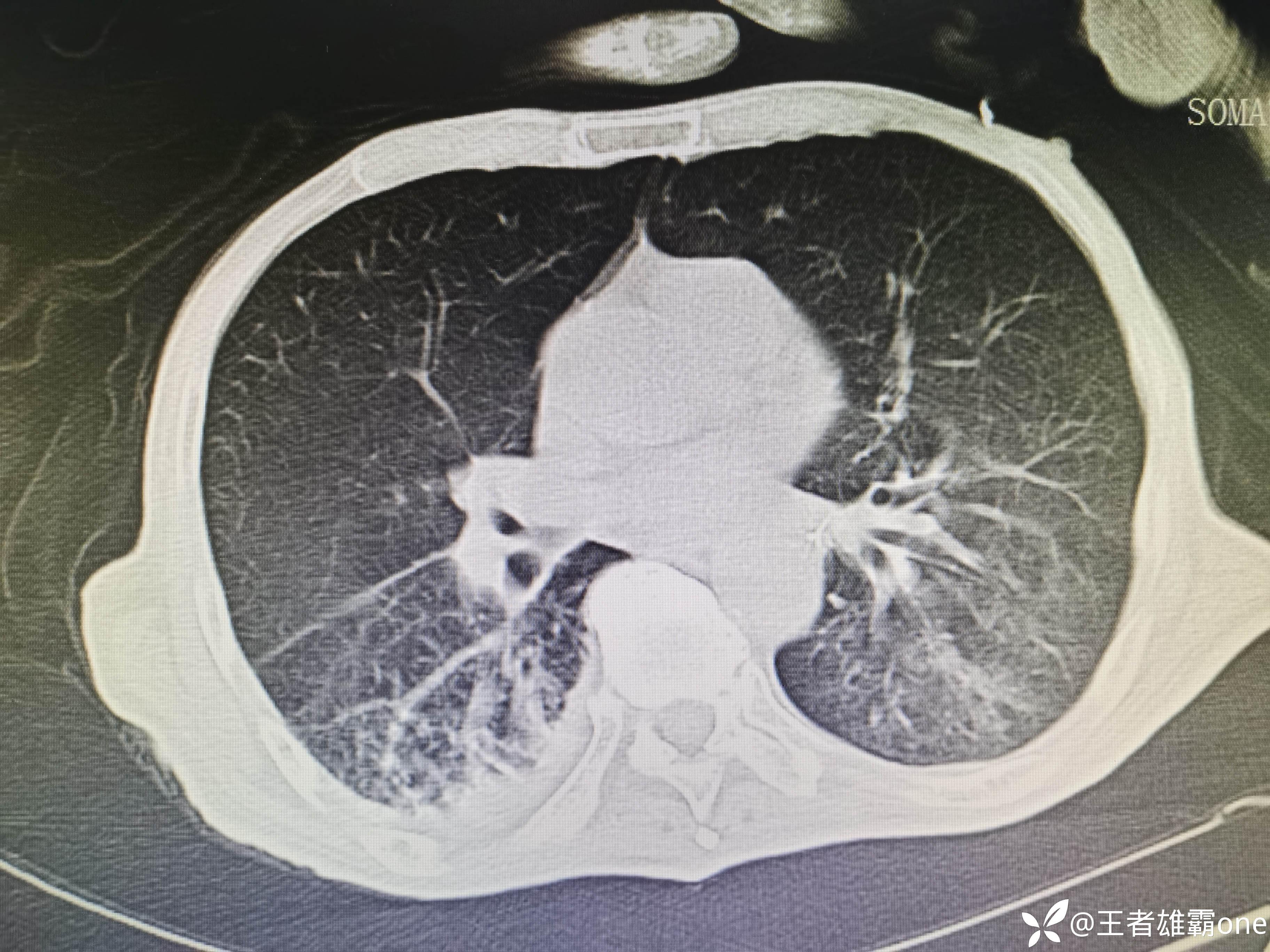
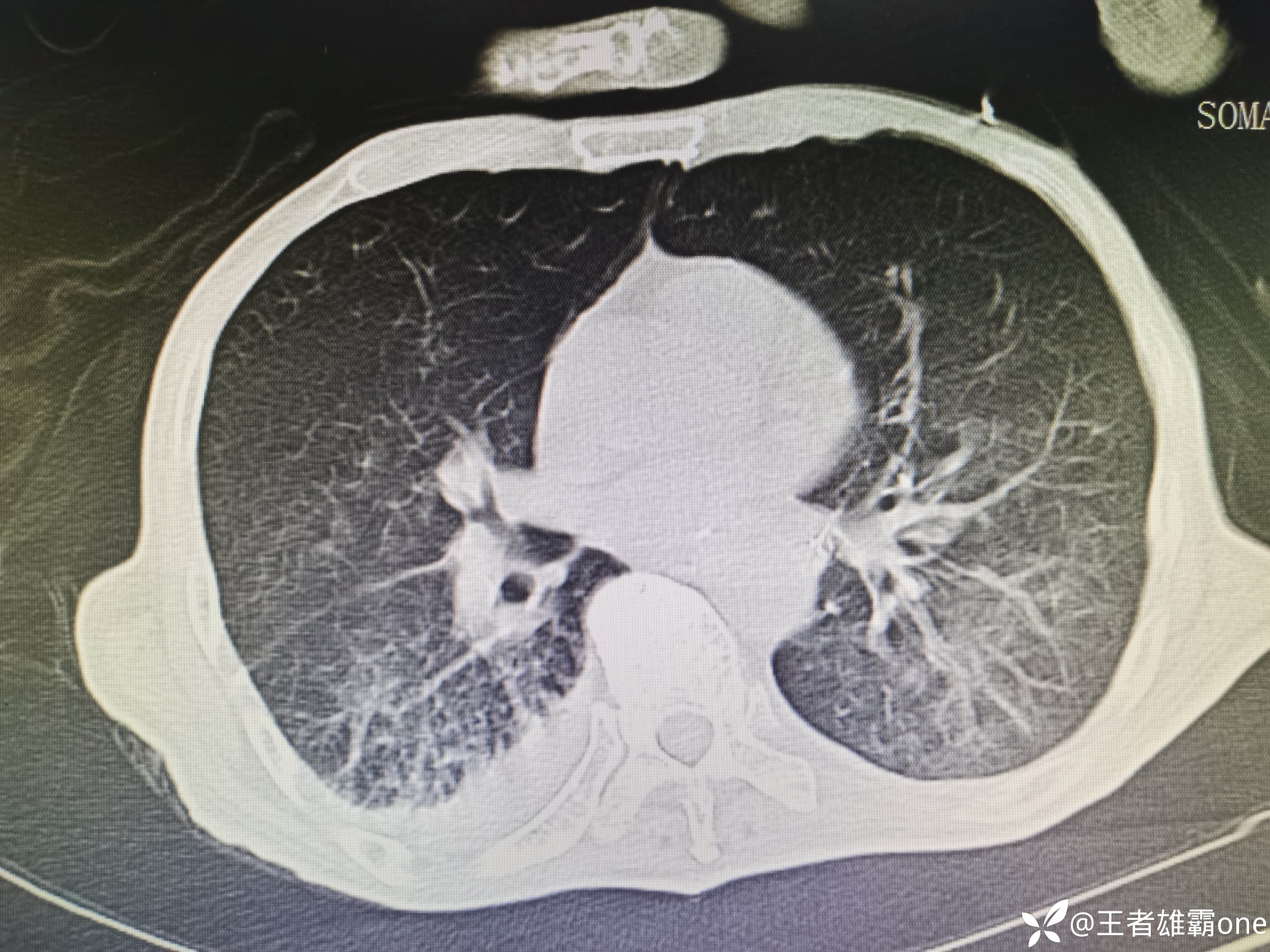
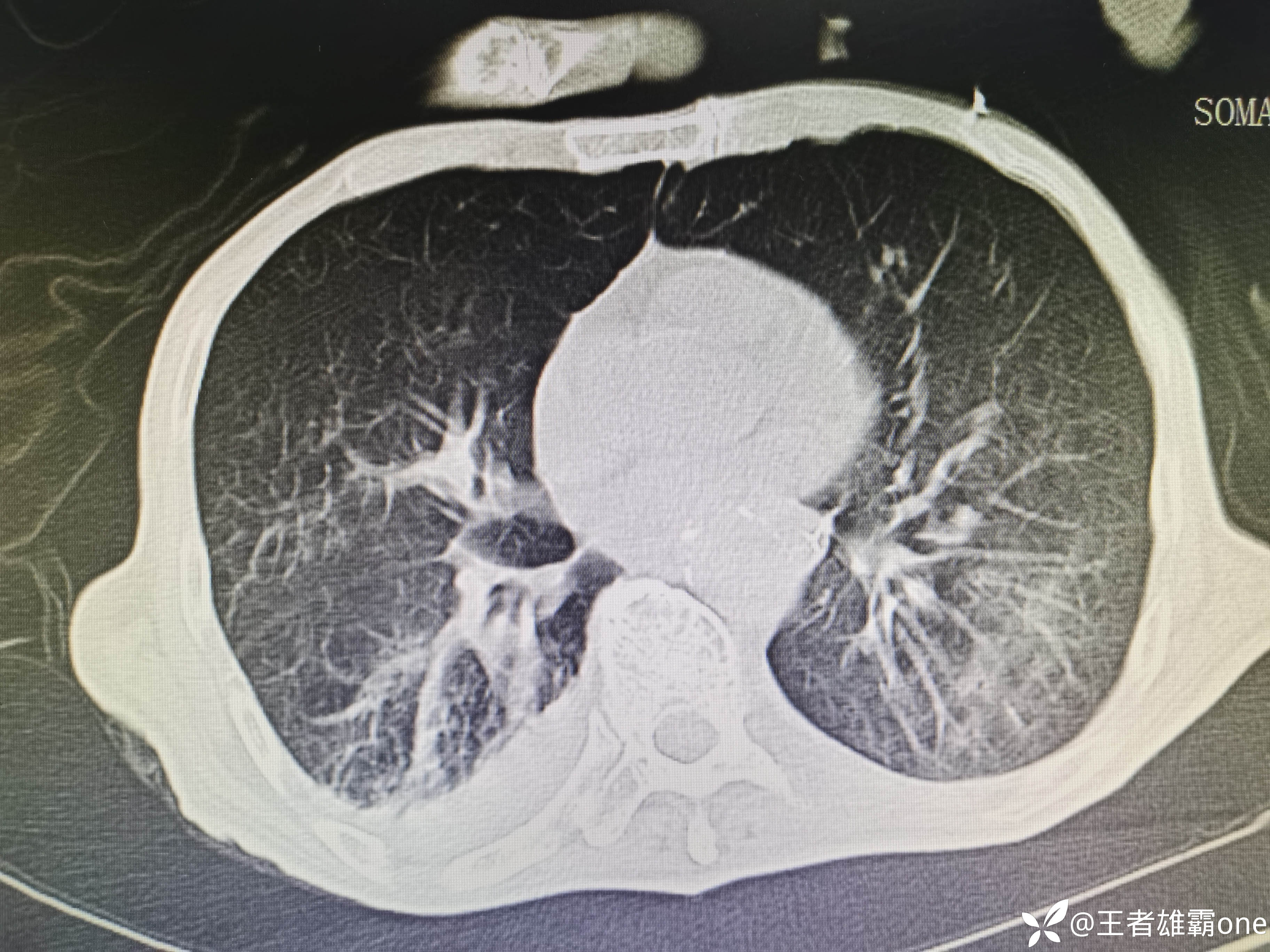
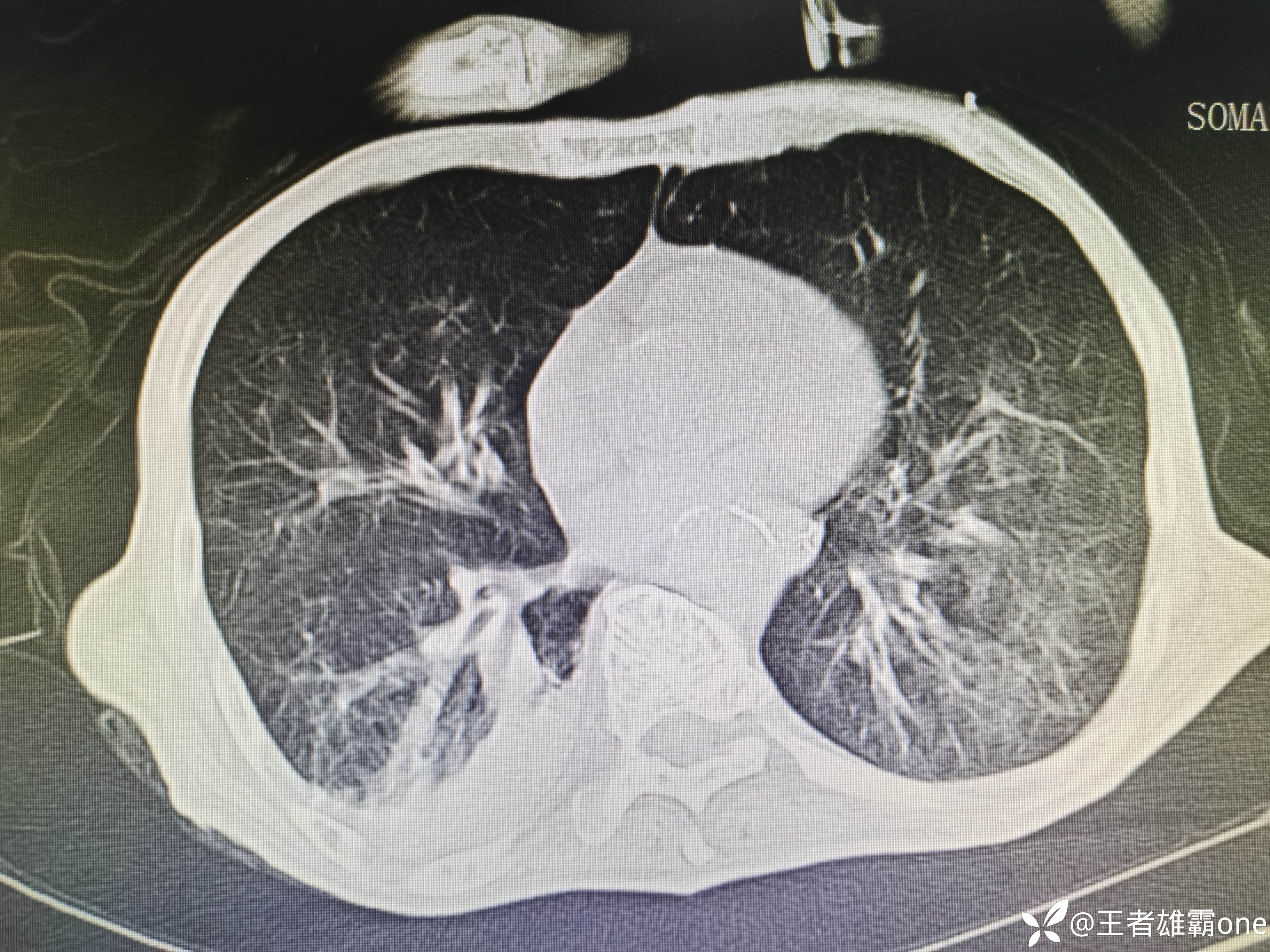
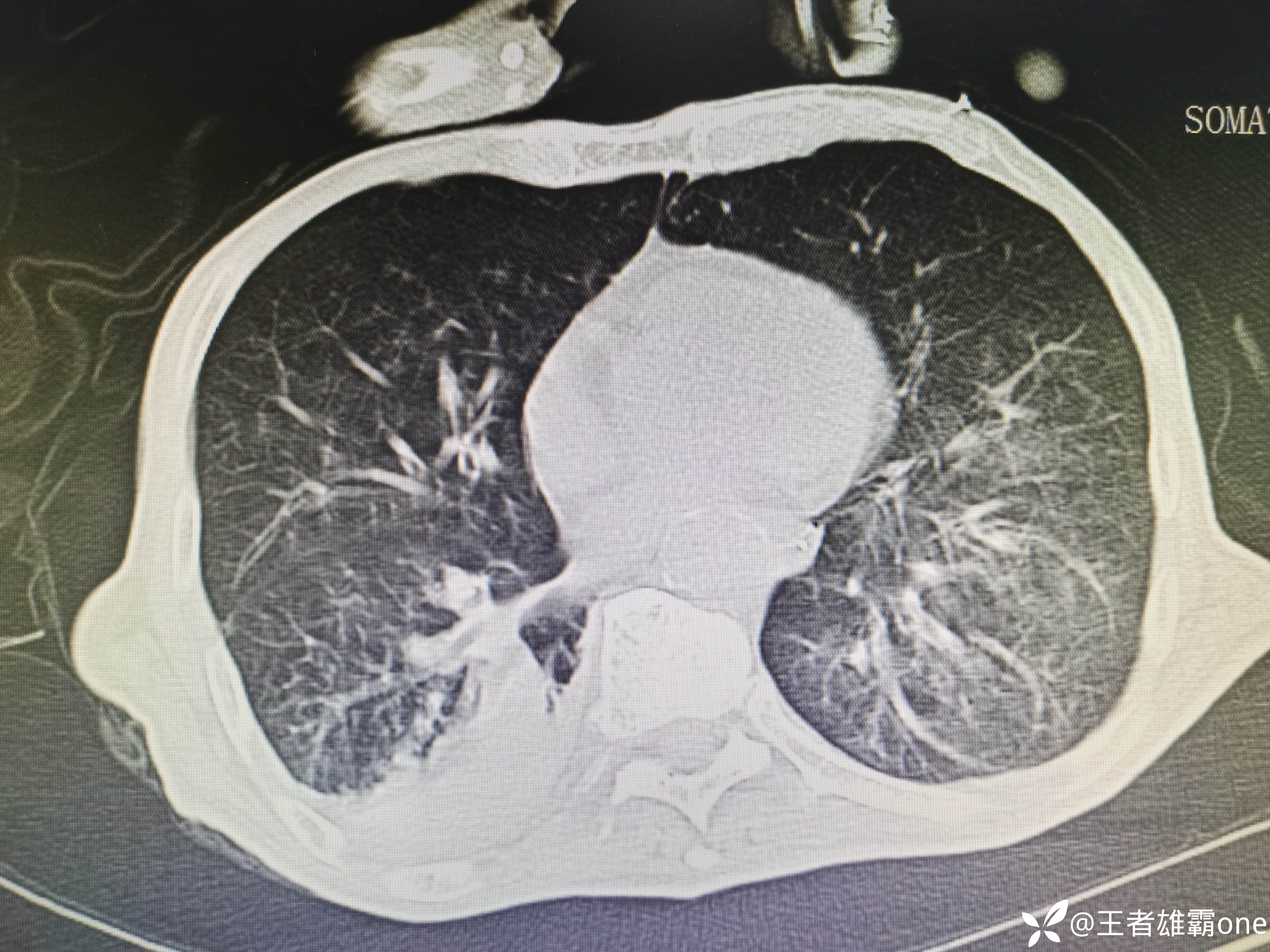
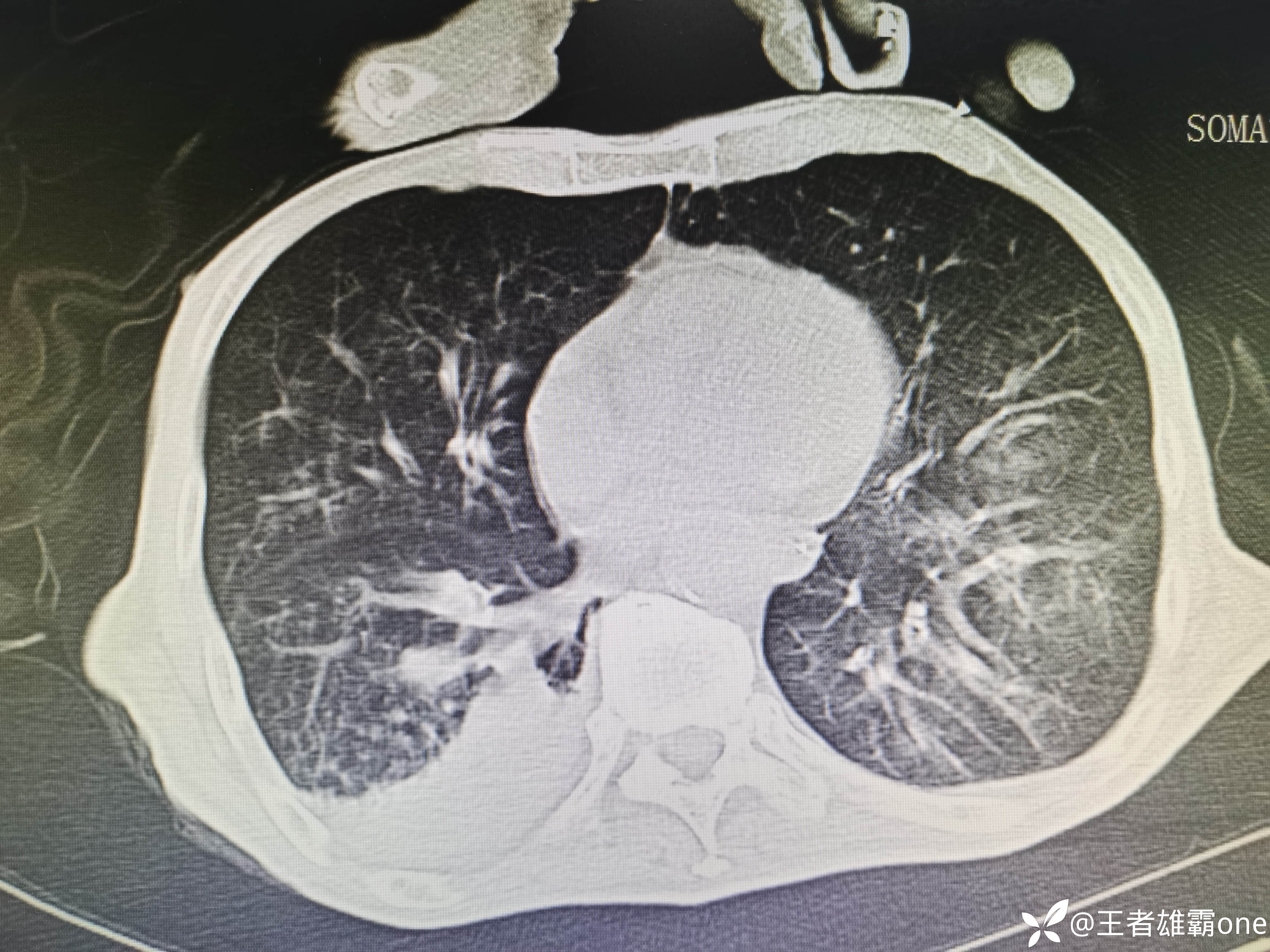
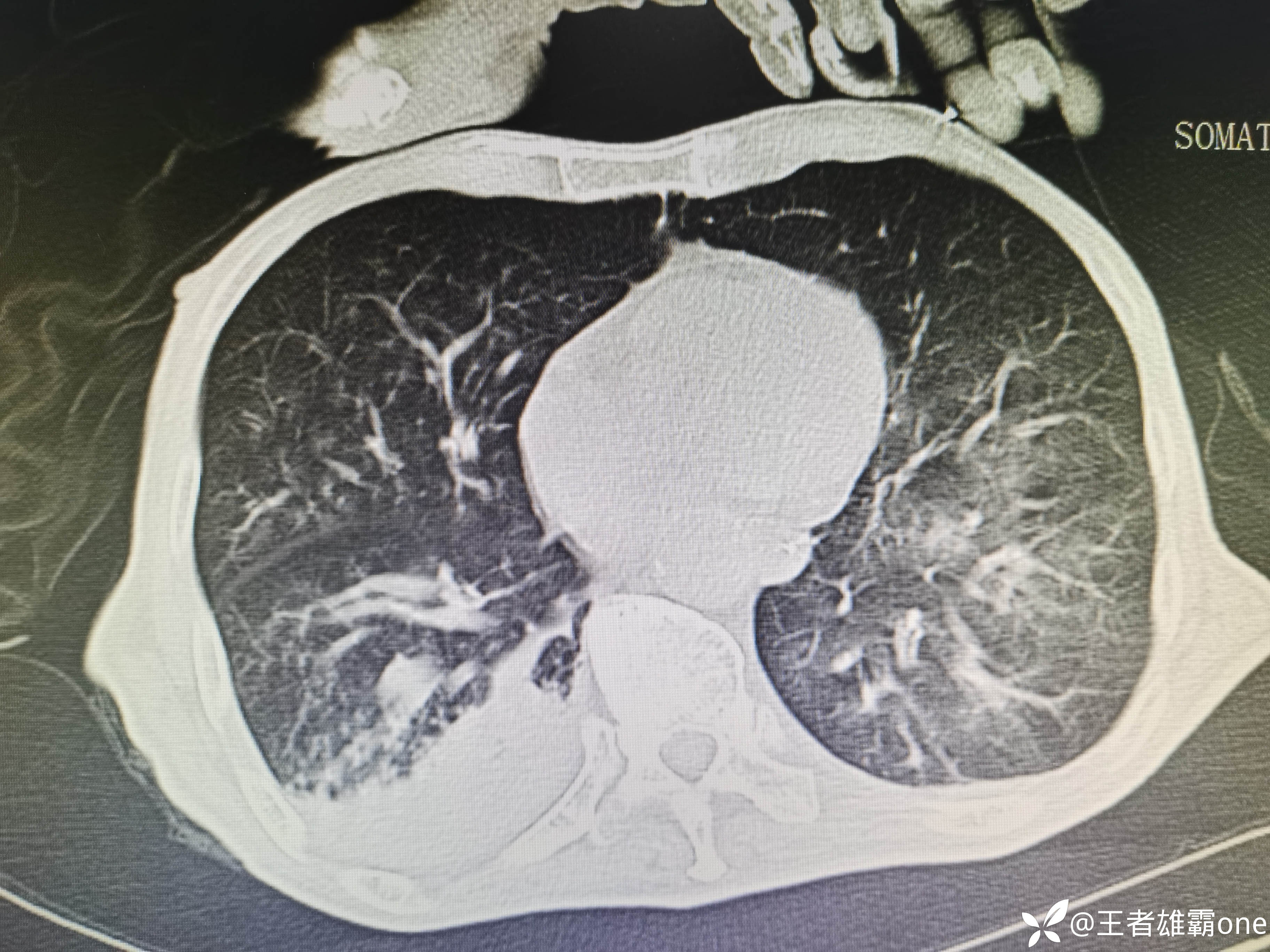
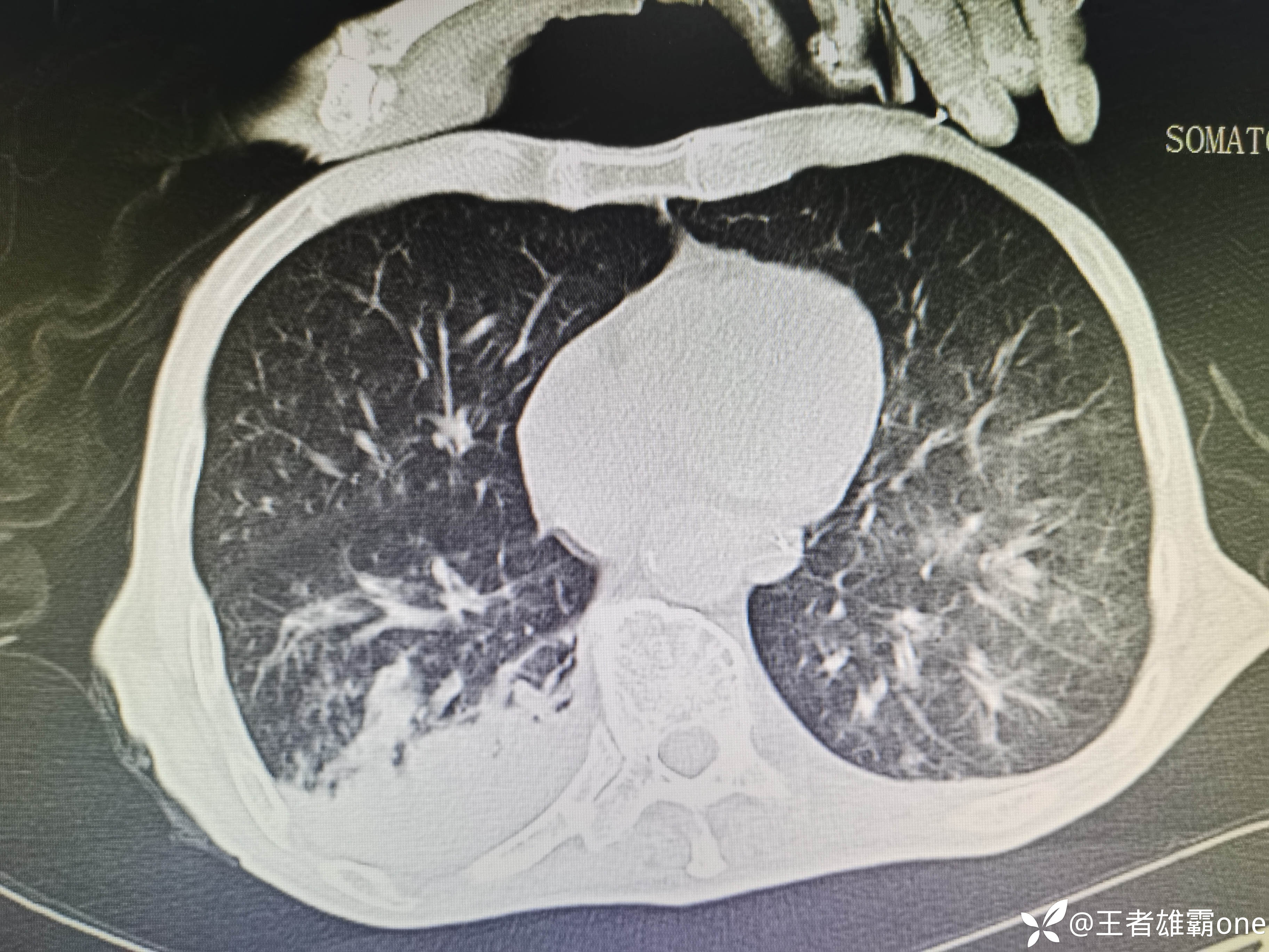
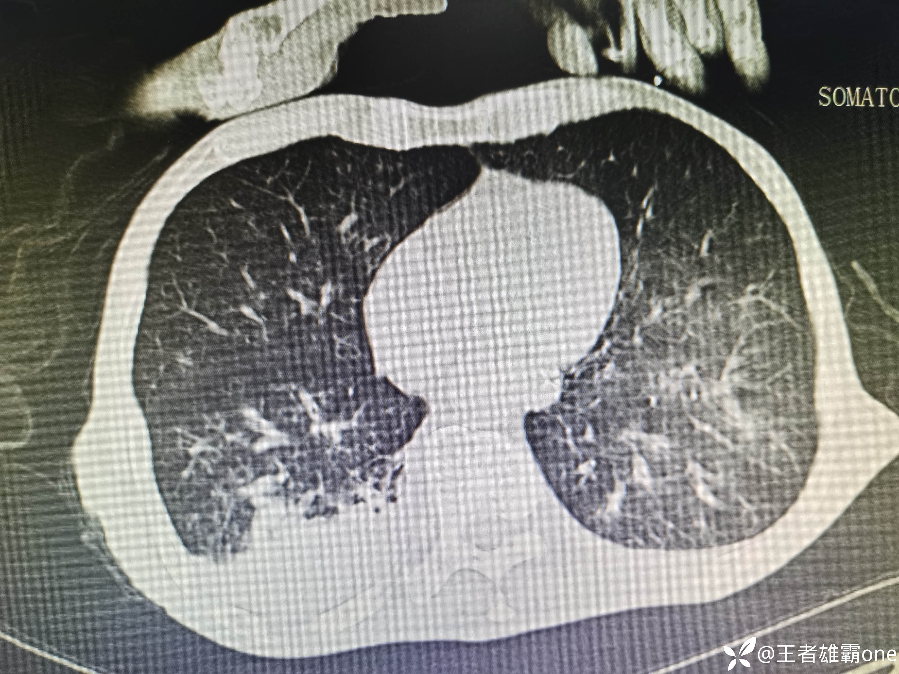
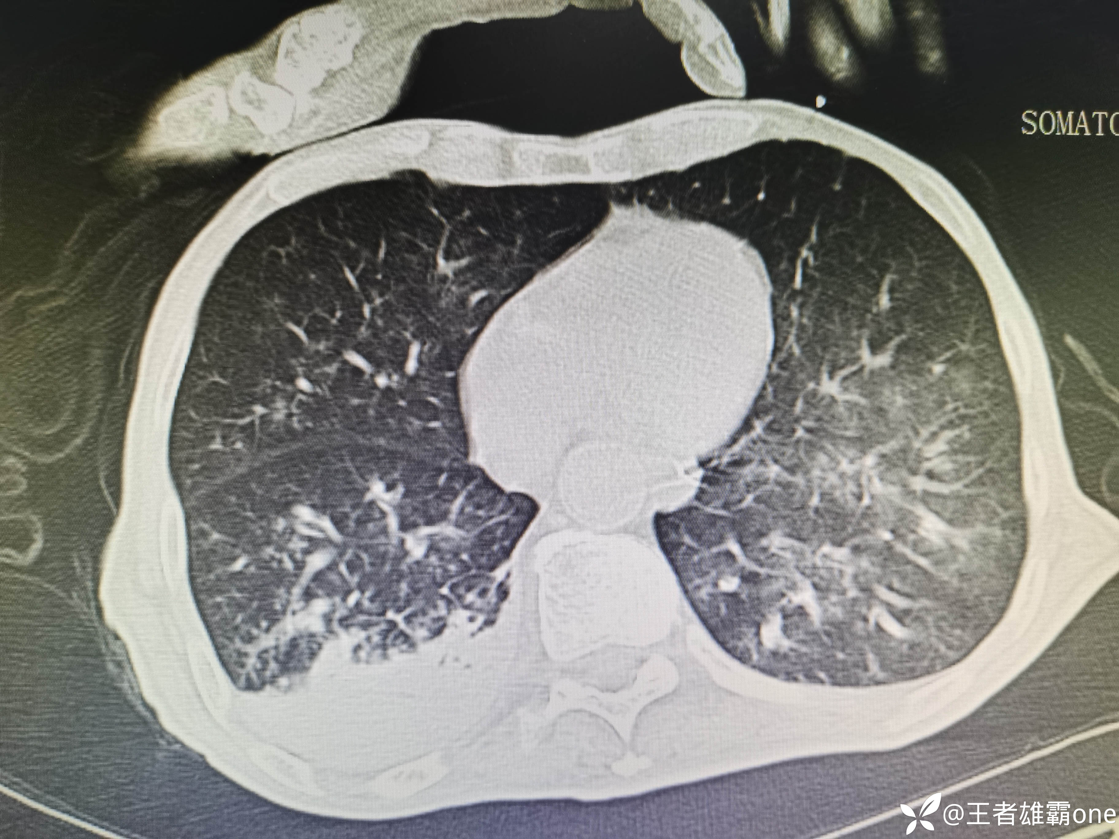
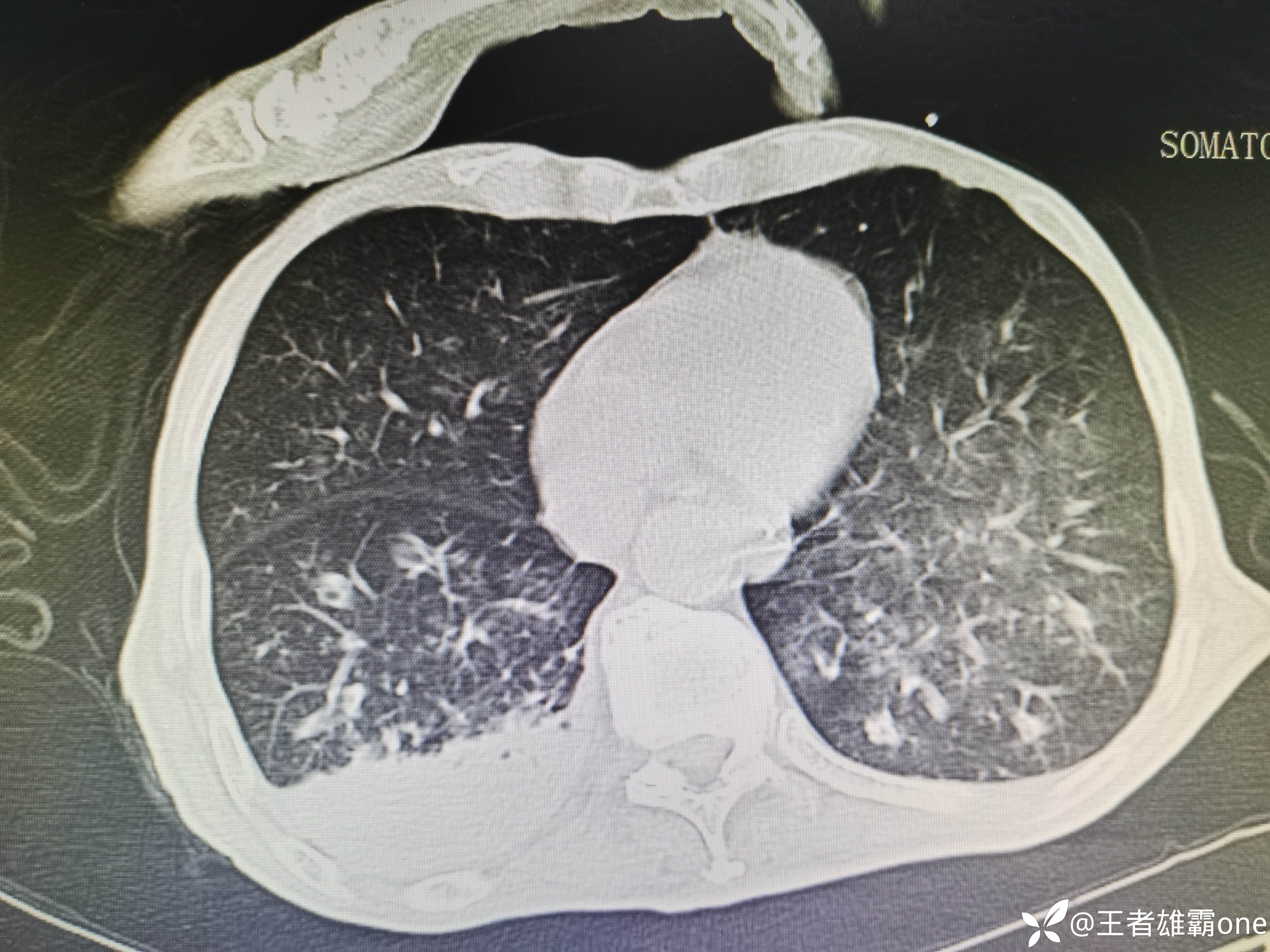
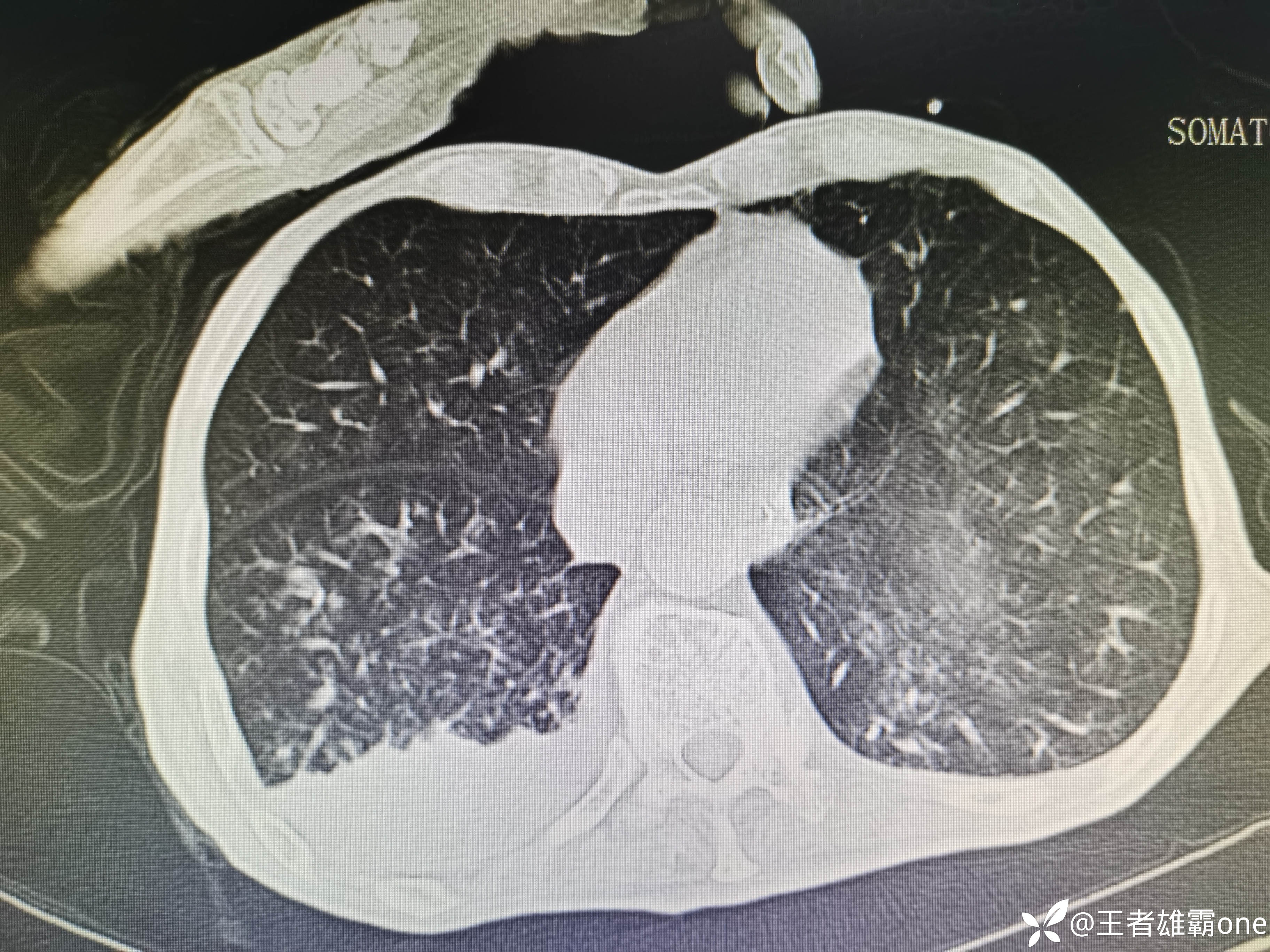
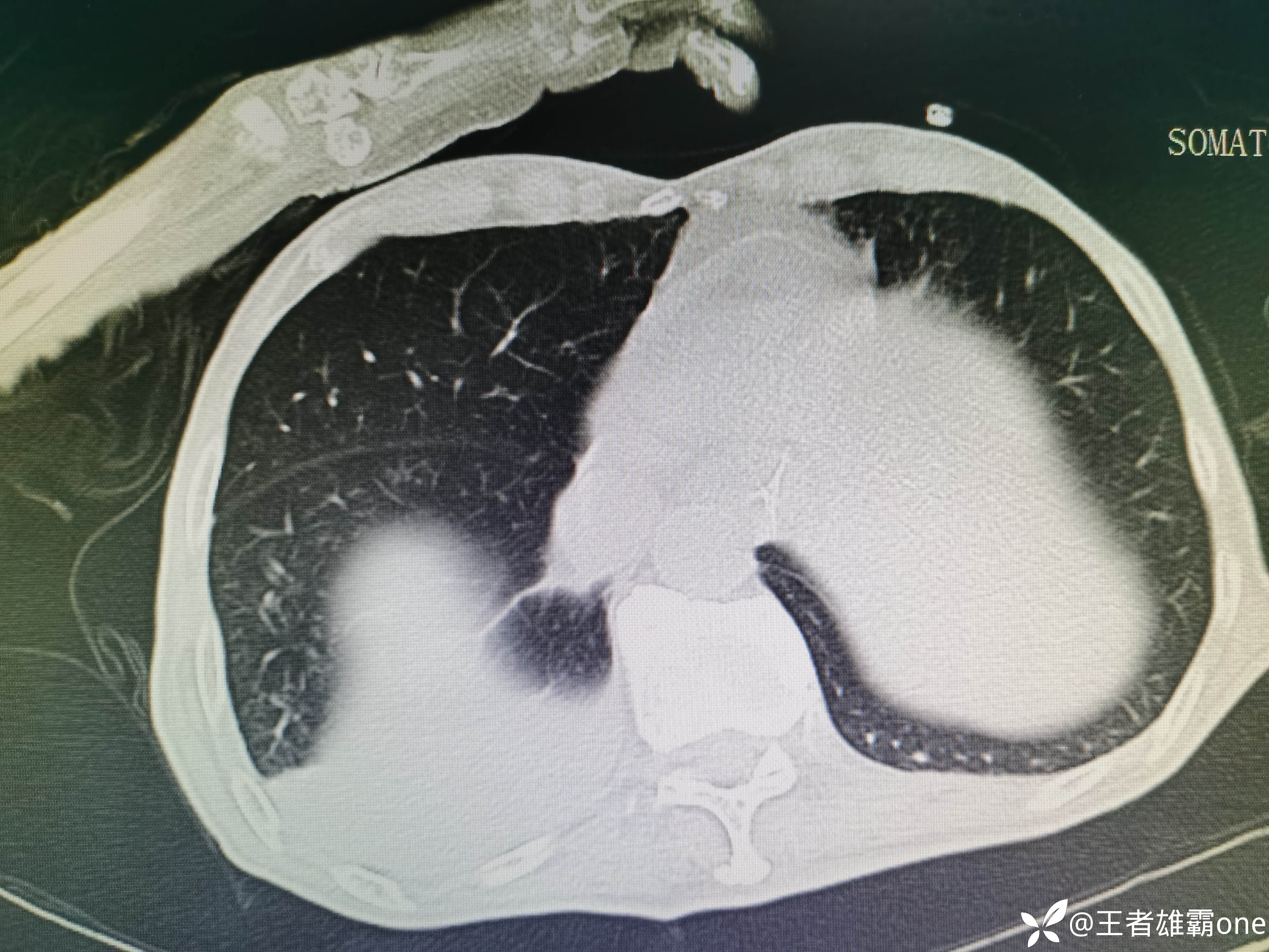
入院时胸部CT:


具体图片:



























患者呼吸机通气下氧合通气稳定(FiO2:40%,PEEP:5cmH2O)。
使用小剂量去甲肾上腺素维持下循环稳定。
高热明显,给予退热补液后体温可下降至正常范围。
广覆盖抗感染等治疗。
患者第二天复查炎症指标:

降钙素原已升至19.63。
什么肺炎隔了不到1天,炎症指标就飙升?请大家帮忙解答!
















































