间隙保持器/矫正器 — 附加带环/金属冠的灌模方法
如果此时你正在看或者寻找🧐这篇文章,那么IKO可以断定 你应该开始对自己在临床上使用的间隙保持器/矫正器有一定要的要求了。
如果猜的不错的话,应该是“脱落”的问题一直困扰着你,让你很是烦恼😩。

金属冠式 — 上颌Nance/下颌舌弓

上颌固定式 — 螺旋扩弓器
对于专业的儿牙医生或者早矫医生,间隙保持器/矫正器的牢固佩戴或者不脱落应该是一个很重要的事。因为一但脱落的次数多了,家长会马上找到医生进行质疑或者指责;其次再次粘上去又会因为小朋友的不配合或者粘接部位不好处理,导致医生在临床上要花费大量的时间。【主要用于哄小朋友,或者处理基牙和间隙保持器/矫正器上的残留粘接剂】
所以 不管是儿牙医生,还是早矫医生就想做一件事,间隙保持器/矫正器戴上去了,就不要给我掉了。
要不然,烦人啊😭;
掉一次,血压升高一次。

乳磨牙·金属冠

六龄牙(恒6)·金属冠

成品·带环
为了避免各种脱落问题的发生,在此IKO建议大家在间隙保持器/矫正器的关键固位体(基牙)上,使用自己备用的成品带环或者金属冠,这样会大大减少临床上脱落的情况发生,从而达到更好的工作效率。
关键临床步骤介绍:
关键点 — ⑴

口内 → 试戴
不管用带环,还是金属冠;我们口内试戴时一定要贴合。
关键的 — ⑵


将带环/金属冠放入模型内时,一定要轻柔放入,在贴入模型上所对应的纹路时只需要做到轻轻压入即可。切记不要为了更好固位,强行将带环/金属冠往里推。
关键点 — ⑶


把石膏调成具有轻微的流动性,然后再把震荡机打开(慢慢的扭动开关,到刚刚开的位置),接着将石膏放入带环/金属冠的附近位置,调整到适当位置,慢慢地让石膏流入带环/金属冠即可,直至最后完全覆盖。
临床实战病例分享 · (一)

临床症状描述:
74残冠,75近中中度龋坏。
临床操作方案:
74局部麻醉下拔除,75去龋充填,然后用75做为基牙(固位体),做丝圈式间隙保持器。
详细临床操作步骤: ↓

75·补牙
步骤一:75局麻下上橡皮障,进行去龋坏充填。

步骤二: 局麻下拔除74,然后在75和36之间放入分牙圈⭕,3到5日后用金属冠作为基牙(固位体)进行取模操作。

步骤三: 将模型寄到加工厂定做 → 金属冠式·间隙保持器;最后收到间隙保持进行口内佩戴。

临床佩戴结束🔚·口内照/侧面照
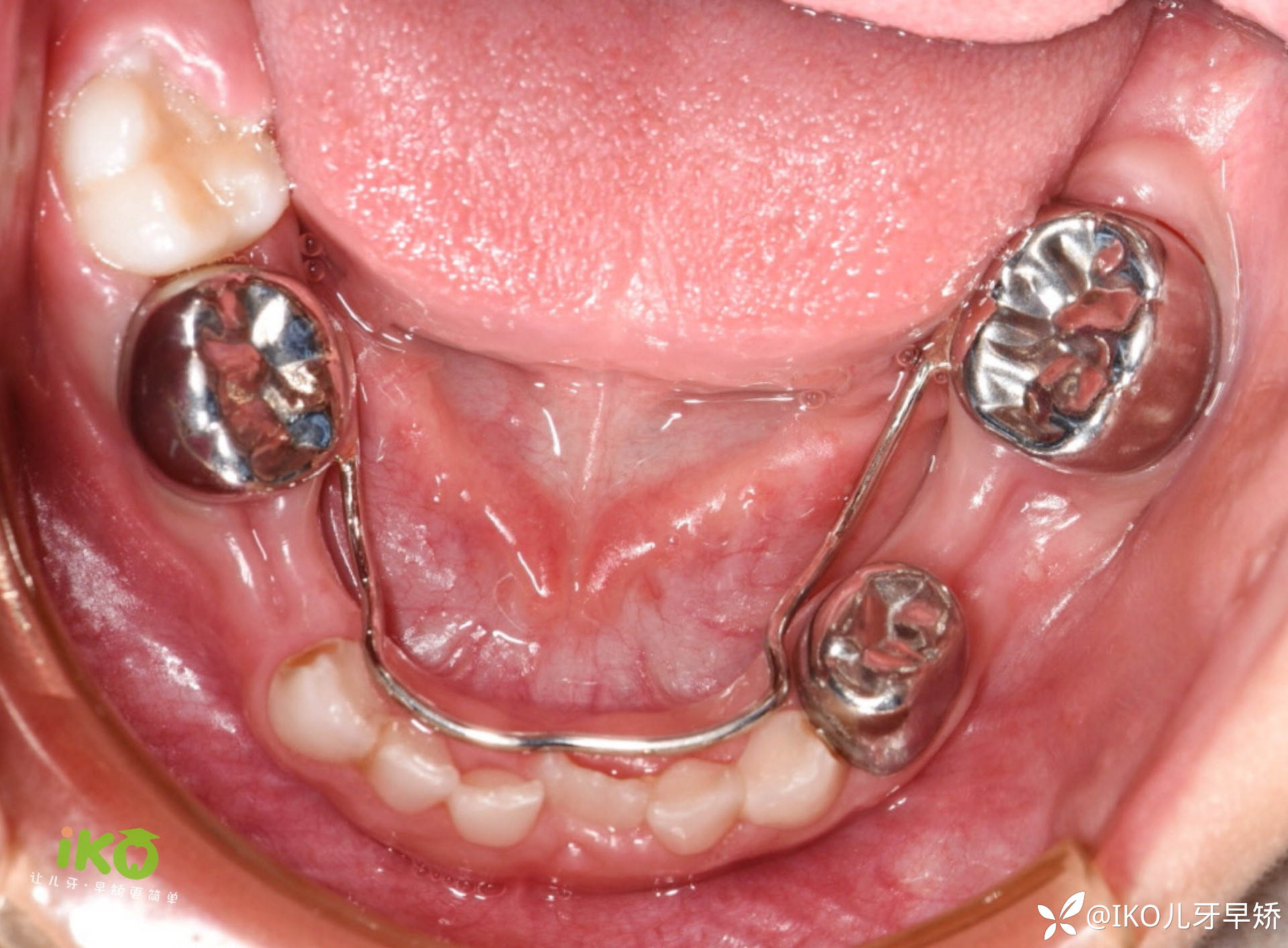
临床实战病例分享 · (二)
下颌舌弓式·间隙保持器制作流程:

临床操作步骤·⑴

临床操作步骤·⑵

结束🔚
基牙(固位体)佩戴牙冠原则:
金属冠 > 带环 > 铸造冠
能用带环就不要用铸造冠,
能用金属冠就不要用带环。
感谢大家的观看,间隙保持器就为大家介绍到这里了。记得点赞和关注哦🙄。
IKO·让儿牙早矫更简单。
















































