dxy logo
首页丁香园病例库全部版块
搜索
登录

病例细节决定成败,男子胸痛究竟为何?欢迎留言,有丁当!

影像核医学版版主 · 发布于 2023-12-22 · 来自 Android · IP 山东山东
1143 浏览
丁香风云榜、达人点赞 2 项荣誉
这个帖子发布于 1 年零 338 天前,其中的信息可能已发生改变或有所发展。

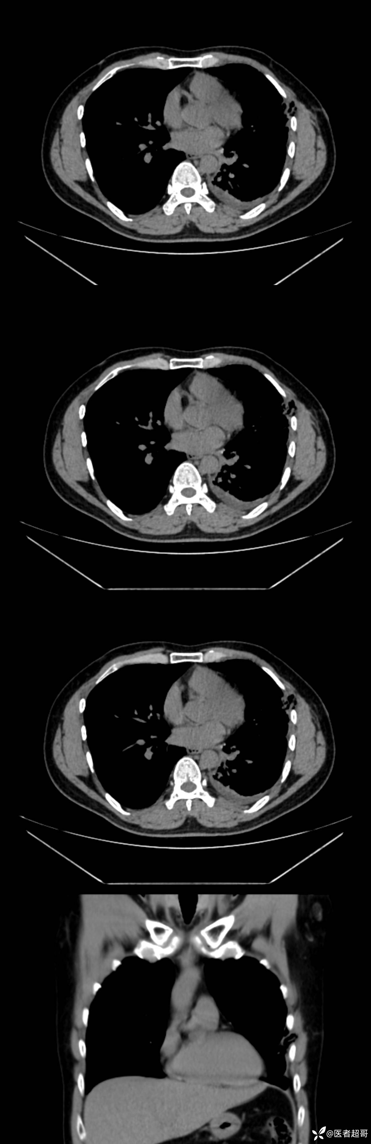
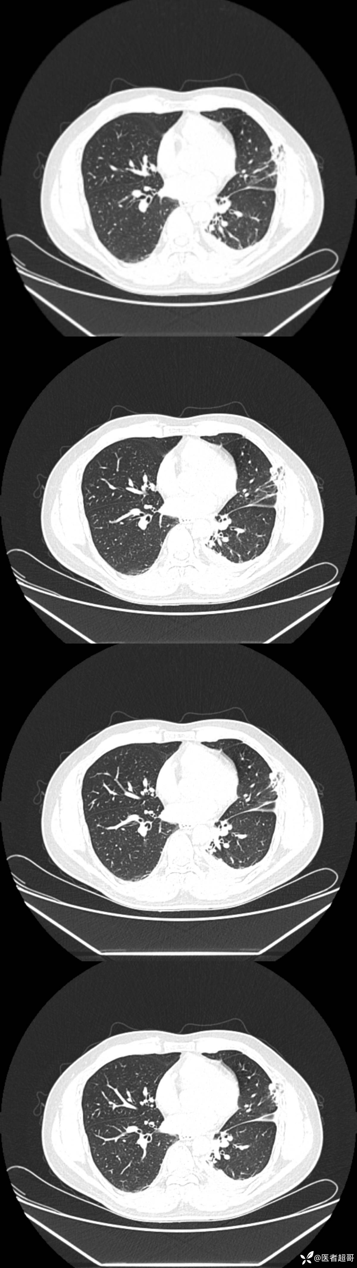
男38岁,胸痛

既往病史:患者自诉无明显诱因出现左侧胸部疼痛1天,无发热、咳嗽,无胸闷咳嗽,主诉:左侧胸部疼痛1天 体格检查:神清,胸廓无畸形,左侧胸壁轻触痛

img


img
流行性胸痛 (38)
纠错
45 6 13
同行评议(0)
已评议
不开通精选
开通精选
精选已授权,待上线
评议结果暂未公布
参与评议
去邀请
NaN
病例完整NaN
临床实用NaN
诊疗科学NaN
学术价值NaN

全部讨论(0)

默认最新
avatar
45
分享帖子
share-weibo分享到微博
share-weibo分享到微信
认证
返回顶部