病历分享|开始以为自免脑,影像出来后竟然是这?
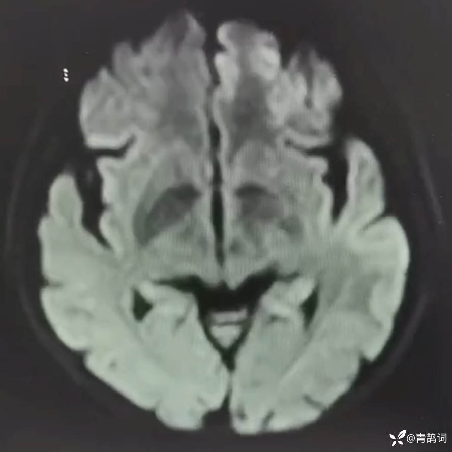
患者年龄:67岁。
患者性别:女性。
主诉:性格改变1个月,加重伴反应迟钝8天。
简要病史:患者于入院前1个月,出现性格改变,不理人,疯狂刷抖音购物,入院前8天感冒后出现反应迟钝,逐渐发展为不认识家里人,行走不能,尿便失禁。
体格检查:




















































讨论:根据影像学表现,各位老师考虑诊断什么?
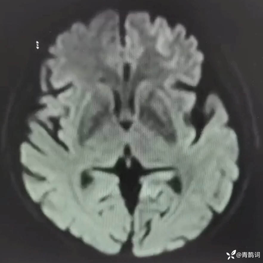
患者年龄:67岁。
患者性别:女性。
主诉:性格改变1个月,加重伴反应迟钝8天。
简要病史:患者于入院前1个月,出现性格改变,不理人,疯狂刷抖音购物,入院前8天感冒后出现反应迟钝,逐渐发展为不认识家里人,行走不能,尿便失禁。
体格检查:




















































讨论:根据影像学表现,各位老师考虑诊断什么?
