痰培养检出「念珠菌」,抗真菌药用不用?怎么用?
念珠菌为条件致病真菌,芽状酵母菌,在自然界中广泛存在,可以说是无所不在,是人类的正常菌群。临床上以白色念珠菌最为常见,人传人罕见。
有网友问:肺炎患者痰培养检出念珠菌,应如何解读与治疗?
答:念珠菌肺炎非常罕见 [1],应结合临床判断,不能「见风就是雨,见什么打什么」,当临床接到微生物报告后,首先要结合临床判断培养结果的可靠性,不能图快图简单而不经大脑思考。呼吸道标本检出念珠菌大部分情况下属于定植,无需特殊治疗,应避免过度治疗。
指南怎么说?
1. 2016 年中国成人社区获得性肺炎诊断和治疗指南 [2]:
对 CAP 的初始经验性抗感染没有提及抗真菌方案,针对真菌中的曲霉、毛霉及耶氏肺孢子菌肺炎分别推荐了抗真菌治疗方案,并未提及念珠菌肺炎的推荐治疗方案。
2. 2018 年中国成人医院获得性肺炎与呼吸机相关性肺炎诊断和治疗指南 [3]:
我国医院获得性肺炎(HAP)与呼吸机相关性肺炎(VAP)的常见分离菌(表 1~2)中并无真菌。
表 1 我国 HAP 患者常见细菌的分离率(%)

表 2 我国 VAP 患者常见细菌的分离率(%)

本指南对 HAP/VAP 初始经验性抗感染治疗并未推荐常规抗真菌治疗。
以上 CAP、HAP/VAP 指南的适用范围是无免疫缺陷患者,那么对于免疫受损(immunocompromised)的成人患者,念珠菌肺炎常见吗?
3. 2020 共识声明:免疫受损患者成人 CAP 的初始治疗策略 [4]:
共讨论了 21 个问题,免疫受损患者「呼吸道核心病原(Core Respiratory Pathogens)」(表 3)中没有真菌,而在呼吸道核心病原之外的其它病原中列出了一些真菌,包括耶氏肺孢子菌、曲霉、毛霉、组织胞浆菌、隐球菌等,但并无念珠菌(表 4)。
表 3 免疫受损 CAP 患者的呼吸道核心病原

表 4 免疫受损 CAP 患者的呼吸道核心病原之外的其它病原

4. 2016 年 IDSA 念珠菌病管理临床实践指南 [5]:
问题 9:呼吸道标本分离到念珠菌属是否需要抗真菌治疗?
呼吸道分泌物有念珠菌生长通常提示定植,很少需要抗真菌治疗(强推荐,中等质量证据)
理由依据如下:
1. 在 ICU、插管与气切患者中,呼吸道分离到念珠菌比较常见
2. 念珠菌肺炎与脓肿非常罕见(very uncommon)
3. 吸入口咽部分泌物后引起的原发性念珠菌肺炎或脓肿鲜有报道
4. 念珠菌肺炎通常是免疫受损患者血播引起的,CT 表现为多发性肺结节
5. 确诊需要组织病理学证据,多项前瞻性与回顾性研究发现:呼吸道分泌物,包括肺泡灌洗液(BALF)的预计价值较差
6. 有研究发现气道念珠菌定植可进展为细菌定植与肺炎
7. 念珠菌气道定植伴临床结局恶化及死亡率升高
5. 2020 年中国成人念珠菌病诊断与治疗专家共识 [6]:
1. 念珠菌是人体正常菌群,在健康人群痰液中有 20%~55% 的分离率,在机械通气患者下呼吸道分泌物中的分离率更高
2. 下呼吸道标本直接镜检和分离培养出的念珠菌无法区分定植与感染,临床意义不大(低等级,强推荐)
3. 在危重症患者中,念珠菌所致下呼吸道感染,尤其是念珠菌支气管炎并不少见(低等级,强推荐)
痰培养检出念珠菌是否需要治疗?
以上说明了念珠菌肺炎非常罕见,罕见不等于没有,那么临床上如有痰培养、BALF 回报念珠菌阳性,要不要抗真菌治疗呢?
念珠菌肺炎临床上较为少见,有两种形式:接种支气管内膜后引起的局灶性或弥漫性支气管肺炎;血源性播散后结节性、弥漫性病灶,早期阶段与心衰肺水肿或耶氏肺孢子菌肺炎(PJP)很难鉴别 [1]。
念珠菌肺炎主要是血行播散所致继发性肺炎。临床可表现为畏寒、发热等明显全身毒血症状,病理除肺炎改变和念珠菌菌丝有助于确诊外,常见血管侵犯 [6]。
对于侵袭性念珠菌病的高危患者,原有肺部细菌感染经恰当抗菌药物治疗无效、下呼吸道标本多次念珠菌培养或直接镜检阳性,应考虑念珠菌气管-支气管炎或肺炎可能,可酌情考虑经验性抗念珠菌治疗(低等级,中等推荐)[6]。
支气管镜检查和气道分泌物或支气管肺泡灌洗液真菌 G 试验阳性,对其诊断有一定的参考价值,组织病理检查有助于确诊。
个案报道
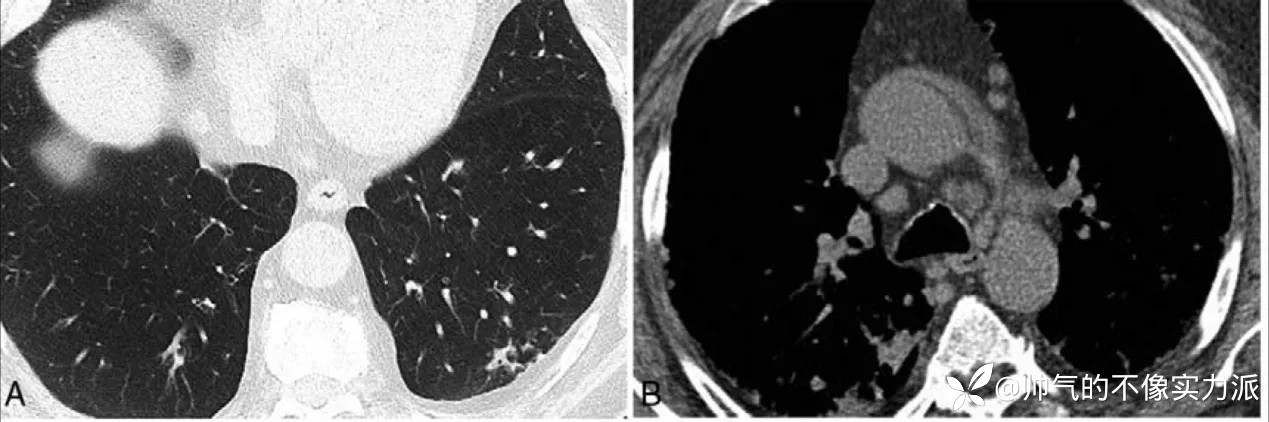
2018 年有个案报道 59 岁男性有 COPD、糖尿病、溃疡性肠炎史,间断口服激素,因干咳、低热与进行性呼吸困难住院,入院 CT 示左下肺少许簇状小结节,伴轻微的支气管周围实变(图 1A)与纵膈淋巴结轻度肿大(图 1B)[7]。
图 1 患者入院时 CT

图片来源:参考文献 7
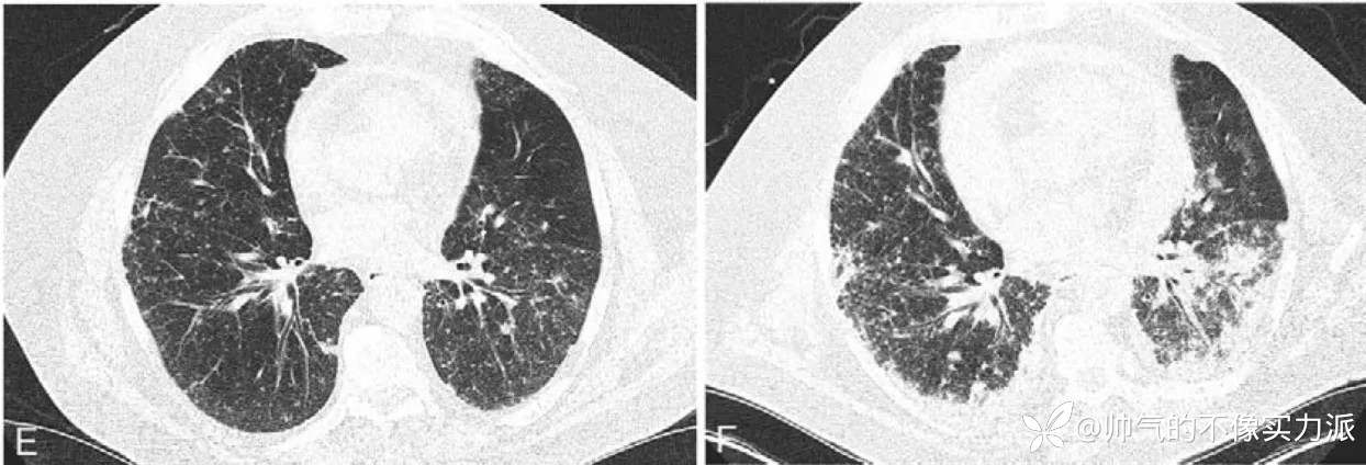
予左氧氟沙星 + 激素治疗,1 周后持续咳嗽、发热与呼吸困难加重,CT 示病灶进展,呈双侧间质性改变(图 2E)
气管镜 BALF 培养提示念珠菌。经气管镜肺活检(TBLB)病理:非坏死性肉芽肿。诊断考虑结节病,予口服激素治疗。
但 4 天后病情再次进展,呼吸困难进一步加重,发热、低氧、呼吸性酸中毒及肾功能恶化。CT 示两肺渗出增加(图 2F)
图 2 初治后症状加重 CT(E);考虑结节病,激素治疗后病情进展 CT(F)

图源:参考文献 7
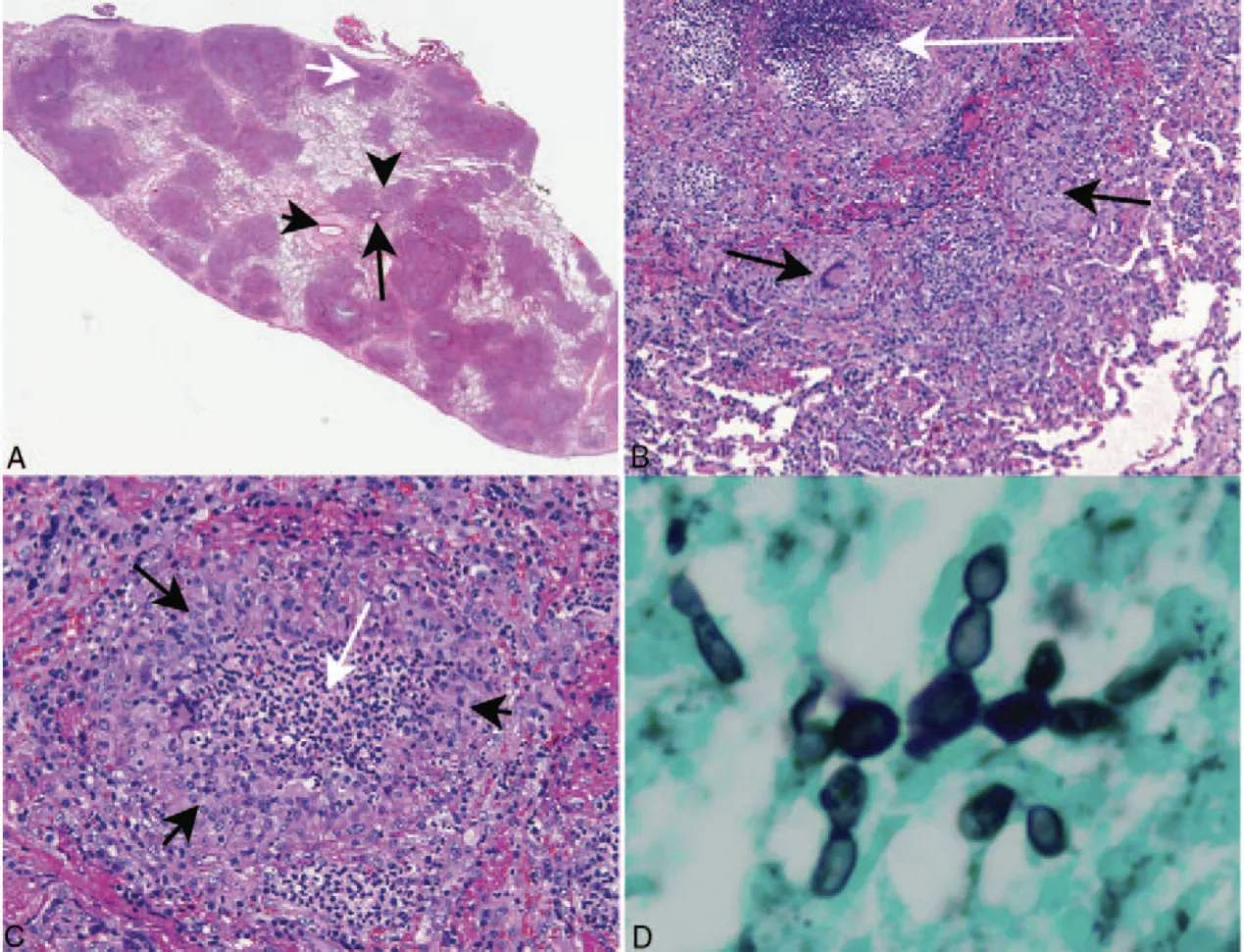
于是开胸肺活检,组织病理可见真菌伪菌丝与一些酵母菌(图 3)。
图 3 开胸肺活检病理

图源:参考文献 7
肺活检标本送国家新兴与动物源性感染性疾病中心(NCEZID),使用兔多克隆抗白色念珠菌抗体强阳性,PCR 也证实为白色念珠菌。
根据临床表现及影像学表现,以及 BALF 培养结果,组织病理提示真菌感染,后续有组织标本的白色念珠菌抗体与 PCR 阳性,证据链确凿,确诊为念珠菌肺炎。先后予静脉两性霉素 B 脂质体、米卡芬净与口服氟康唑治疗 9 个月,最终症状消失,复查胸部 CT 渗出全部消散。
总结
1. 念珠菌肺炎非常罕见;
2. 下呼吸道标本培养出的念珠菌无法区分定植与感染,临床意义不大,很少需要抗真菌治疗;
3. 肺部细菌感染经恰当抗菌药物治疗无效、下呼吸道标本多次念珠菌培养阳性,应考虑念珠菌气管-支气管炎或肺炎可能,可酌情考虑经验性抗念珠菌治疗 [6];
4. 轻症者根据药敏结果可选用氟康唑、伊曲康唑或伏立康唑治疗,重症者推荐棘白菌素类治疗 [6]。
















































