第一眼看到病人就有一种不好的感觉....
老年男性,73岁,因“纳差、乏力3天”入院。
患者自述3天前开始无明显诱因出现食欲不振,乏力,偶有咳嗽,少量白痰,无胸闷、胸痛、心慌、心悸、气急,无头晕、头痛、无恶心、呕吐,无胃寒、发热,大小便正常。
既往体健,否认高血压、糖尿病、冠心病病史,否认肝炎、肺结核等传染病史。
长期大量吸烟,日吸烟3包左右,喜食碳酸饮料,不喝酒。
查体:BP 170/103mmHg,体重43kg,身高172,随机血糖8.6mmol,脊柱成驼背侧歪畸形,面容瘦长、额部圆突,眼球突出,耳廓大,手指较长,皮肤黧黑无黄染,双目失明,甲状腺不大,两肺呼吸音清,可肺底可闻及少许细湿啰音,心尖搏动位于胸骨五六肋间外2cm处,呈抬举样搏动,心率95次/分,腹部、神经系统未见明显阳性体征。





















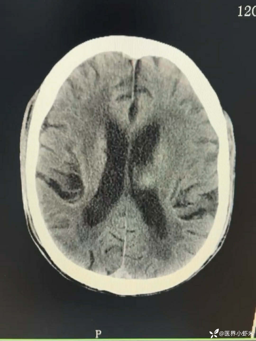
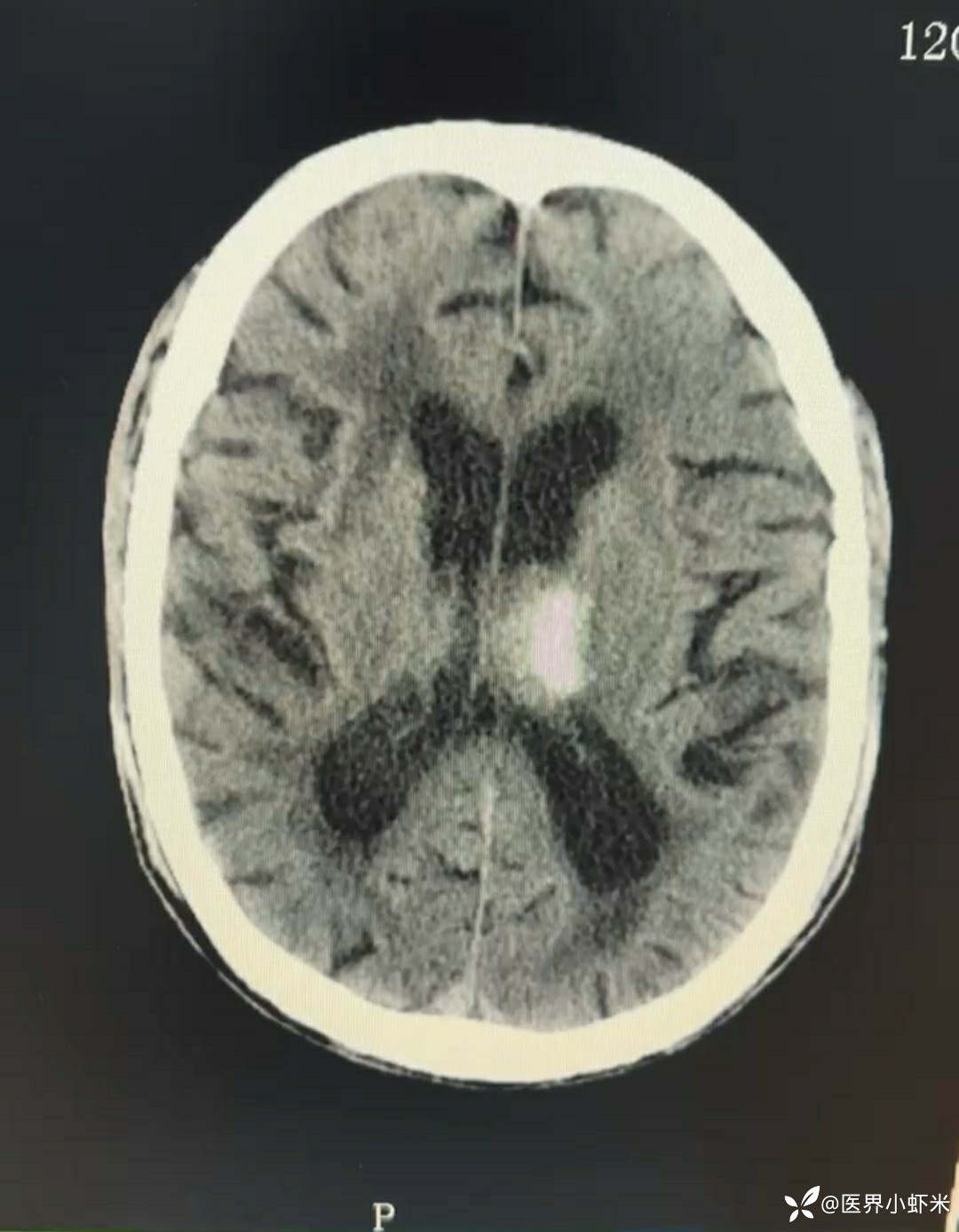
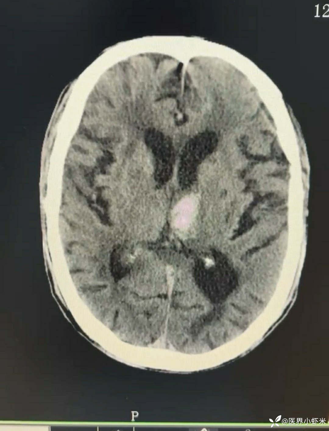
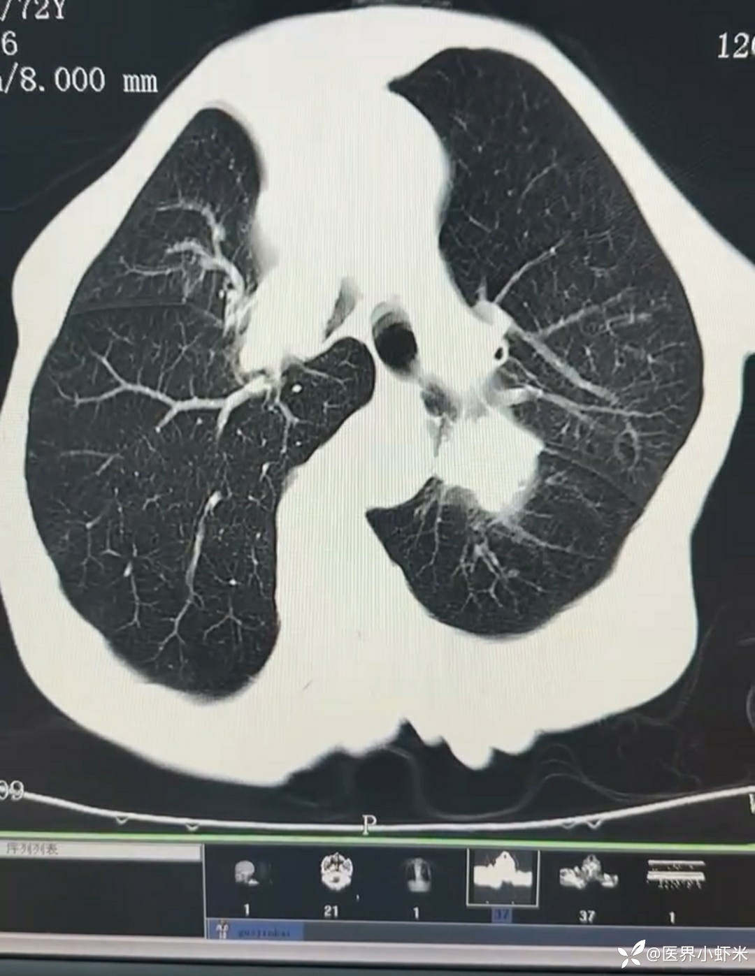
目前考虑:1.中央型肺癌伴2.肝继发恶性肿瘤?2.左丘脑继发恶性肿瘤?3.左丘脑出血?4.肾功能不全5.肝功能异常6右肾萎缩7.肺部感染8.慢性阻塞性肺病7.高血压3级(极高危)。
乙肝、男肿五项、甲功五项结果尚未出来,家属听完初步病情介绍后转院欲望不高,留在乡镇医院还有多大希望?
















































