dxy logo
首页丁香园病例库全部版块
搜索
登录

病例大小3 3 3这么完美的肿块!

医学影像学医学生 · 最后编辑于 2023-11-10 · 来自 iOS · IP 山东山东
1278 浏览
icon胡志勇HZY 达人已点赞
这个帖子发布于 1 年零 334 天前,其中的信息可能已发生改变或有所发展。

性别:女

年龄:52岁

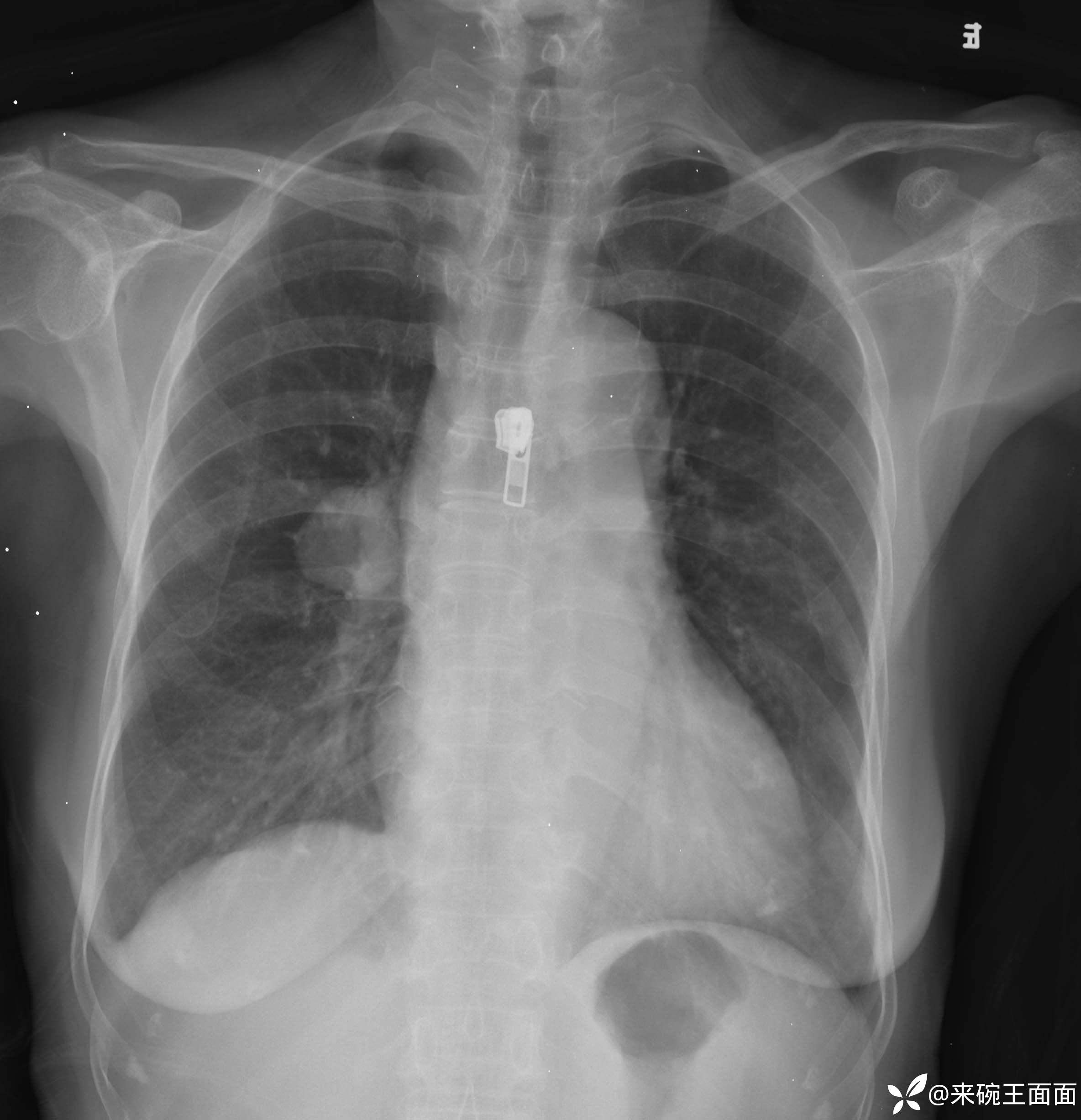
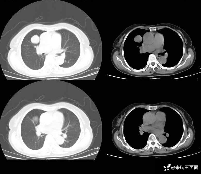
主诉:体检发现右肺门区占位

详情:右肺门类圆形肿块,边缘光整,增强扫描肺门侧可见一血管与肿块相连,且该病灶边界清晰,其密度均匀。对周围结构无明显影响。

img


img


img


img
该帖还没有疾病标签去添加
12 收藏5
同行评议(0)
已评议
不开通精选
开通精选
精选已授权,待上线
评议结果暂未公布
参与评议
去邀请
NaN
病例完整NaN
临床实用NaN
诊疗科学NaN
学术价值NaN

全部讨论(0)

默认最新
avatar
12
分享帖子
share-weibo分享到微博
share-weibo分享到微信
认证
返回顶部