老年退休干部,惊现肺部、胰腺双占位,肺癌胰腺转移?双源癌?
患者基本信息:男 77岁
主诉:发现胰腺、肺占位6天
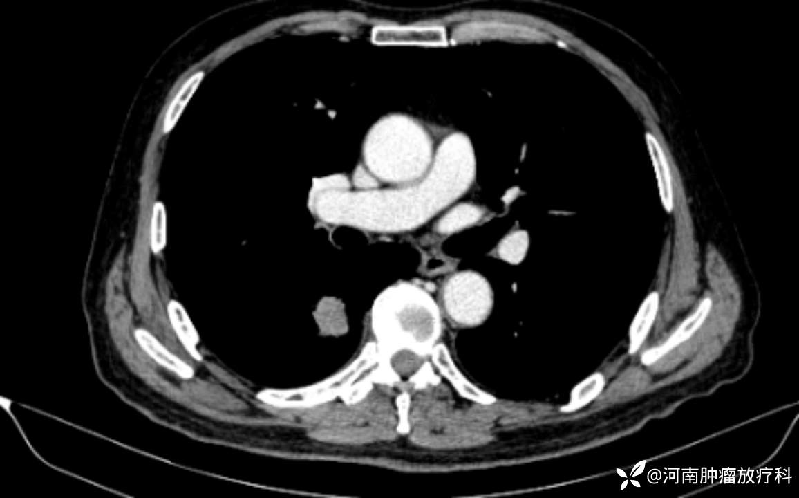
现病史:患者6天前体检发现胰腺、肺占位,行胸部CT(开封市中心医院 2022.09.17)回示1.新发右肺下叶异常密度影,考虑恶性,建议增强CT进一步检查,2.双肺多发小结节,建议多排CT定期复查。3.老年性肺改变;考虑右肺下叶局灶性炎性病变(大部分陈旧)。4.主动脉硬化5.肝脏、脾脏低密度病变,建议结合超声及CT增强检查。6.肝内钙化灶7.右肾上腺区斑点状钙化。请结合临床。上腹部CT(2022.09.17 开封市中心医院)回示:1.胰腺颈部占位性病变增大,属富血供肿瘤,神经内分泌肿瘤?胰管明显扩张。建议结合病史及相关实验室检查。2.肝内多发囊肿、肝内钙化灶。3.脾大、脾脏内囊性病变。考虑胆囊内小结节4.双侧肾上腺结节,建议结合彩超检查。5.右肾切除术后改变,考虑左肾小囊肿。6.腹主动脉硬化并局部溃疡形成。7.所示双肺下叶多发微小结节,建议定期复查。8.右侧第11肋骨局部形态不整。现为求治疗来我院,门诊拟为“胰腺、肺占位?”收入我科。自患病以来精神状态良好,食欲食量良好,睡眠情况良好,体重无明显变化,大便正常,小便正常。
既往史:平素体健,20余年前体检发现肾脏原位癌,于开封市淮河医院行“右肾脏切除术”。余无特殊。
个人史:生于河南省,久居河南省。否认疫区、疫情、疫水接触史,否认化学性物质、放射性物质、有毒物质接触史,否认吸毒史,吸烟史:吸烟60年,20支/天,已戒烟。饮酒史:饮酒60年,50ml/天,未戒酒,否认冶游史。
家族史:父亲亡于“肝癌”,母亲自然去世,1哥1弟1妹,均体健,否认家族遗传及传染病史,家族中无类似病史。
肿瘤标志物:


血常规、肝肾功能、传染病、凝血功能均无明显异常
2022-9-23CT



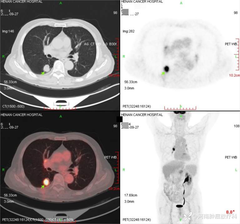
2022-9-27 PETCT



患者拒绝行肺部病灶及胰腺病灶穿刺,经劝说后,同意行肺部病灶穿刺,个人自述其每年体检,当地超声报告胰腺占位病灶5年前已存在,最近1-2年稍有增大,因个人因素,不同意行胰腺病灶穿刺。
2022-9-26行CT引导下经皮肺穿刺活检,病理:(右肺)恶性肿瘤,伴神经内分泌表达,结合形态及免疫组化,符合:非小细胞肺癌,可疑大细胞神经内分泌癌。
临床诊断:
1.肺部病灶病理证实为非小细胞肺癌,该病人的详细诊断,肺癌胰腺转移?双源癌?还是有其它可能。
2.患者不愿意手术治疗,为求肺部病灶的根治性治疗,下一步的治疗?
















































