呼吸科咯血疑难患者(肺隔离征?
患者性别:女
患者年龄:56岁
主诉::间断咯血半年
简要病史::患者2023-02新冠康复后出现夜间咯血症状,一周咯血约2~3次,每次咳十几口,鲜红色,具体量不详。遂于当地医院进行诊治,予以止血治疗(具体不详),咯血症状有所好转。
2023-04再次出现夜间咯血情况,与之前相仿,无咳痰发热、胸闷胸痛等不适。出现咯血后患者前往医院进行诊治,咯血好转(具体不详)。患者7月份再次出现夜间咯血,较前相仿。
患者于2023-07前往嘉兴市某医院住院,2023-07-01气管及支气管CT+胸部CT平扫示:左肺下叶病灶,对比2023-05-10范围稍缩小,考虑肺泡出血可能;左肺下叶钙化灶;两肺下叶肺大泡。两肺散在小结节,对比2023-05-10相仿。附见:肝右叶钙化灶。
2023-07-03鼻咽部CT平扫示:右侧口咽壁高密度灶;2023-07-05副鼻窦CT示:两侧少见上颌窦炎。附见:右侧口咽壁小结节状致密灶;2023-07-05鼻内镜|镜示:慢性鼻炎、慢性咽炎;2023-07-05支气管镜检查示:气管镜未见新生物。左下叶内基底段灌洗、刷检。刷检、肺泡灌洗液报告未见明显异常。予以莫西沙星0.4g qd静滴抗感染+氨甲环酸、止血敏止血治疗。患者诉咯血症状好转,予以出院随访。
患者2023-08再次出现夜间咯血症状,1周2~3次,1次十几口,色鲜红,量具体不详。22023-09-04前往上海某医院就诊,胸部CT示:左肺下叶炎可能;两肺气肿伴肺大泡;右肺中叶少许纤维灶;胰腺尾部可以低密度影。喉镜示:未见明显出血点。
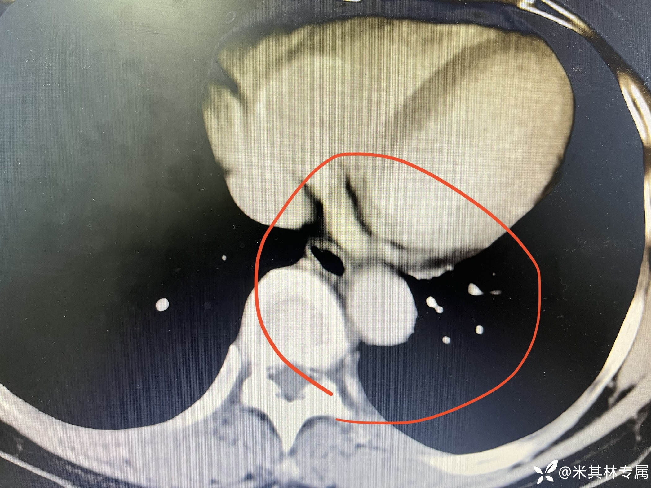
患者2023-09-09我院门诊胸部肺ACTA示:两肺肺动脉及其分支内未见明显血栓形成征象;左肺下叶近肺底处团片影,肺隔离征?;两肺散在肺气囊。左肺上下叶小斑点,右肺上叶胸膜下小斑点灶;两侧胸膜局部稍增厚。

2023-09-11上腹部平扫增强示:胰腺尾部可疑结节样隆起,变异?必要时MR检查;胆囊未见,十二指肠乳突饱满,肝内外胆管略扩张;肝右叶小钙化。左肾微小囊肿。患者昨日夜间11点左右出现咯血,色鲜红,具体量不详。现为进一步诊治,收入我院。
临床诊断:肺部阴影:肺隔离征,原发性高血压
治疗经过:暂予酚磺乙胺止血,床旁备负压吸引;联系介入科行DSA;后续支气管镜排查
—2023/09/13入院
行胸主动脉造影+肋间动脉造影:患者平卧位,常规局麻下消毒、铺巾,由右股动脉穿刺插管,行冠状动脉造影,未见明显异常,之后至胸主动脉造影,并多根肋间动脉造影,未见明显异常血管.胸主动脉复查一支细小动脉考虑可能未心包供血动脉,未见明显异常交通,插管法治疗顺利。术毕拔管,加压包扎,术后患者安返病房。
用两根导管的冠状动脉造影:造影导管行左冠、右冠造影示LM(-),LAD0(-),D1(-),TIMI血流3级;LCX(-),OM(-), TIMI血流3级;RCA(-),PDA(-),TIMI血口流3级。右冠优势型。结论:冠脉未见明显异常,右冠优势型。患者平卧位,常规消毒铺巾,局部麻醉,经右侧桡动脉路径穿刺置6F鞘。
造影导管行左冠、右冠造影示LM(-),LAD(-),D1(-),TIMI血流3级;LCX(-),OM(-), TIMI血流3级;RCA(-),PDA(-),TIMI血流3级。右冠优势型。结论:冠脉未见明显异常,右冠优势型。
—2023/09/15
凌晨咯血2ml,后续无咯血,观察。
—2023/09/16
今日气管镜检查:








病变描述:
声带:开闭良好
气管:气管管腔通畅,软骨环清晰,粘膜光滑。隆突:锐利。
左侧:左侧主支气管、左下叶基底段可见少许血迹附着左肺下叶内前基底段可见少许血液溢出,余各段支气管管腔通畅,粘膜光滑。
右侧:各段支气管管腔通畅,粘膜光滑。
—2023/09/18
拟胸外科会诊后转诊~胸外科行手术治疗,切除出血肺段,等待病理诊断~
持续更新~
















































