特殊眼科病例,求前辈们指教
病人女,年龄64岁,退休在家
主诉视力进行性下降3年余
现病史无明显诱因,比较特殊的是病人刚开始视力下降时表现较为明显的是在暗光下视力较强光下明显好,这个病人在两年前我第一次接诊时,不开视力表灯箱的下测得视力vod:0.1 vos:0.15 开视力表灯箱的情况下测得视力vod:0.04vos:0.06
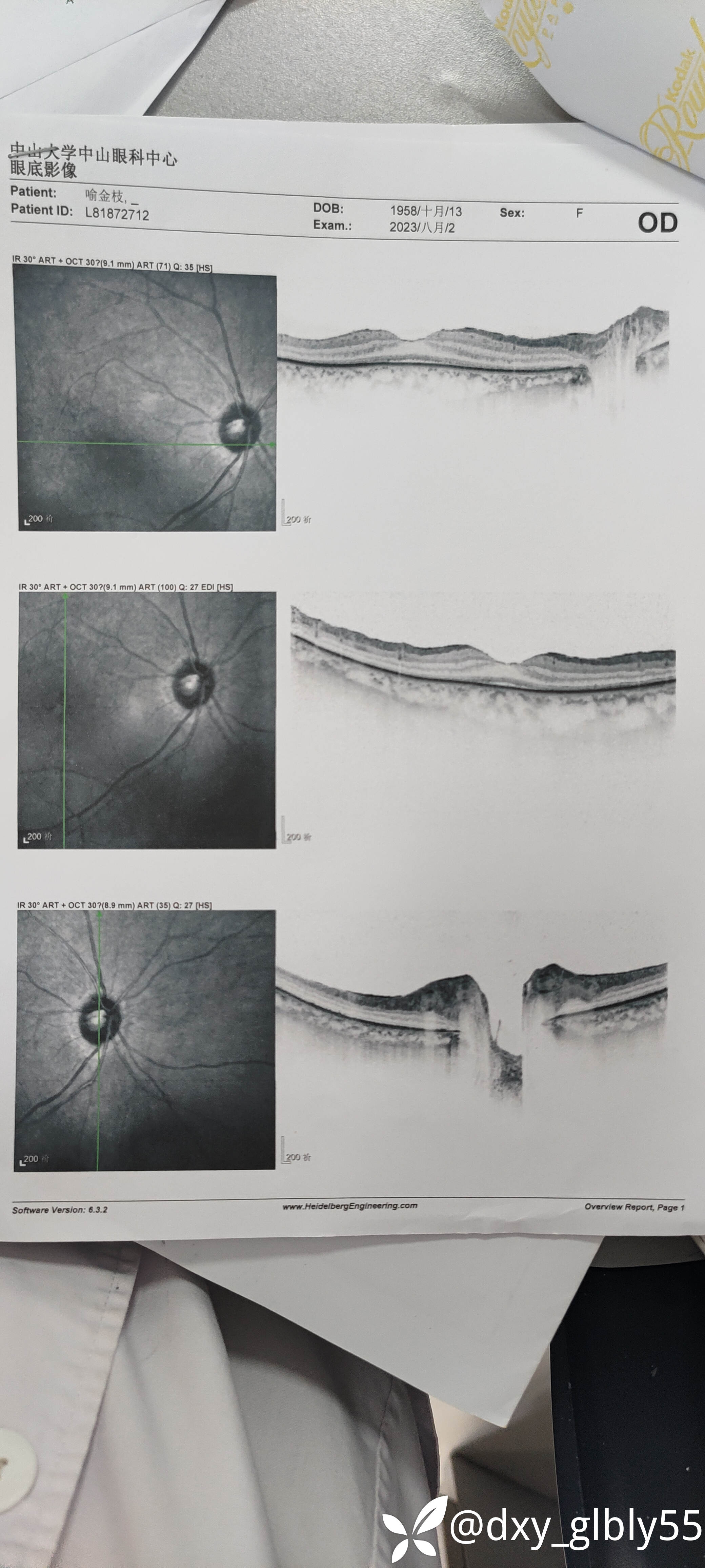
其他的辅助检查显示玻璃体轻度浑浊,未见网脱,出血,炎症反应等表现,oct查黄斑及视盘均未见明显异常。
期间考虑到晶体比较浑浊,行右眼白内障手术,术后右眼视力较前提升同样测得不开灯箱视力0.2,开了灯箱0.1。
这个病人做完手术后因为效果没有达到她的期待,所以后续就没有怎么跟我联系,今年年初的时候患者因为视力下降的已经比较明显了,所以再次找到我,当时给她查的视力等专科情况vod:指数/1m vos:指数20/cm
患者除了表现为上述特征外没有其他的特殊不适,有高血压病史,再就没有其他的特殊疾病及全身症状体征之类的,也没有明确的传染病、冶游史
就诊纪录以及一些有价值的特检结果我放在下面,除了电生理检查有异常在其他的特检没有表现明显的异常
一些特检结果我放在下面,请各位老师帮忙看一下,这个病人看了很多地方,很是苦恼


































































