【浅表】各位老师考虑脱套伤吗?
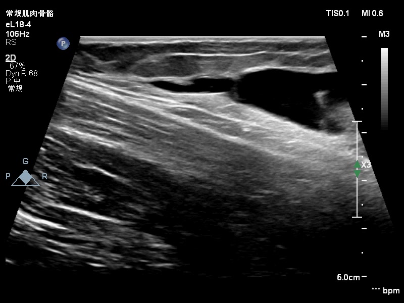
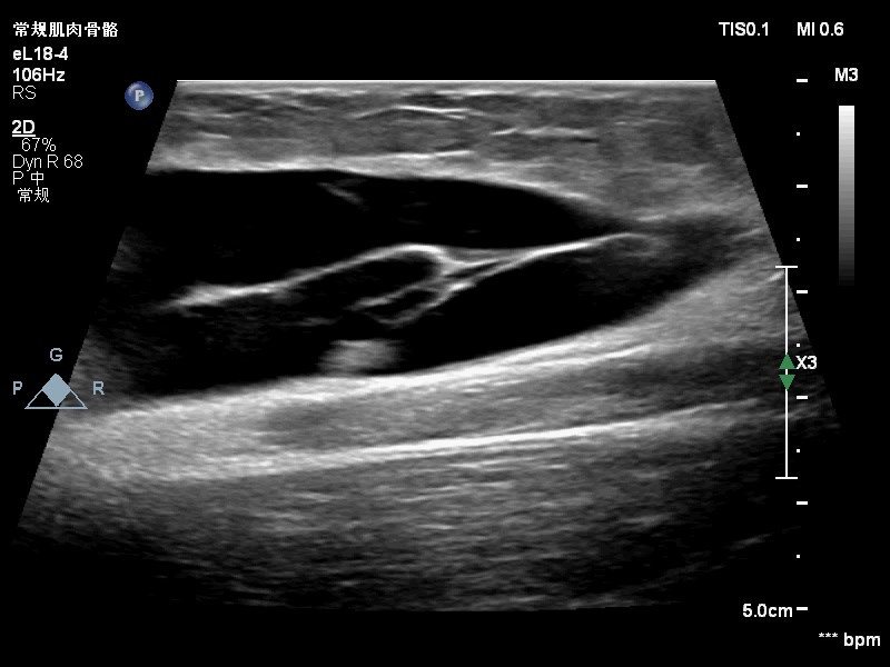
范特西_ 推荐男孩,12y,骑自行车过程中摔倒,右大腿内侧撞到了路边护栏,已有4-5天,今因大腿内侧肿胀就诊,声像图如下:



没有找个这个机器的宽景成像,视屏如下:






感觉是脂肪层和深方的深筋膜分离后积血。?所示应该是深筋膜吧。
大家考虑脱套伤吗?在报告中应怎么诊断?望各位老师指点。
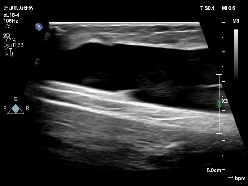
范特西_ 推荐男孩,12y,骑自行车过程中摔倒,右大腿内侧撞到了路边护栏,已有4-5天,今因大腿内侧肿胀就诊,声像图如下:



没有找个这个机器的宽景成像,视屏如下:






感觉是脂肪层和深方的深筋膜分离后积血。?所示应该是深筋膜吧。
大家考虑脱套伤吗?在报告中应怎么诊断?望各位老师指点。
