“王牌”万古霉素治疗MRSA肺炎失败,这个原因没想到
病例复盘
复盘原是围棋术语,就是每次棋局结束以后,棋手把刚才的对局再重复一遍,这样可以有效的加深印象,找出双方攻守的漏洞,检查对局中招法的优劣与得失,以提高技艺水平。
引申到临床医学工作,某个病患诊治结束后,对整个病例目进行回顾,总结经验与教训,以提高自己的临床综合能力。
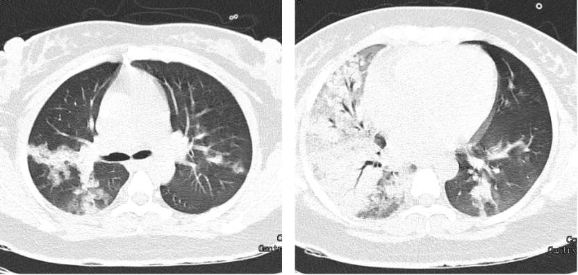
简单介绍一个病例:35岁女性,因发热咳嗽胸闷1周入院,门诊查甲流咽拭子(+),诊断为流感病毒感染,予奥司他韦抗病毒治疗。抗病毒治疗后复查甲流咽拭子已转阴,但仍发热,咳嗽胸闷加重,查胸部CT如下:

查痰培养检出耐甲氧西林的金葡菌(MRSA):

诊断为金葡菌肺炎,根据药敏予万古霉素1.0 IV gtt q12。
万古霉素治疗3天无好转,患者仍高热不退,体温39度以上,伴气促与脉氧下降,查血气示I型呼吸衰竭,复查痰培养仍为MRSA(+),下一步怎么办?

411 人解锁,收益归属作者以激励创作













































