突然加重的脑干梗死。
青鹊词等 2人推荐男性,61岁,因右侧肢体无力9小时入院。患者9小时前睡眠起床时出现右侧肢体麻木无力,右手持物不牢,右侧上肢抬举无力,右侧下肢行走拖曳,右侧肢体麻木感,无头痛、恶心呕吐,无意识障碍及大小便失禁,患者卧床休息,肢体无力加重,为治疗来院。
既往“糖尿病”病史1年,口服私人药物治疗(具体不详);“高血压病”病史1年,血压最高达170/100mmHg,间断口服“吲达帕胺片”等药物治疗。查体:神清,语言流利,右侧上下肢肌力4级,右侧肢体痛觉减退。
入院后完善相关检查取如下:

















入院后给予阿司匹林肠溶片联合硫酸氢氯吡格雷片抗血小板聚集,阿托伐他汀钙片调脂稳斑,丁苯酞注射液促进侧支循环建立,银杏叶提取物注射液改善血流循环等药物治疗,病情好转,肢体无力好转。
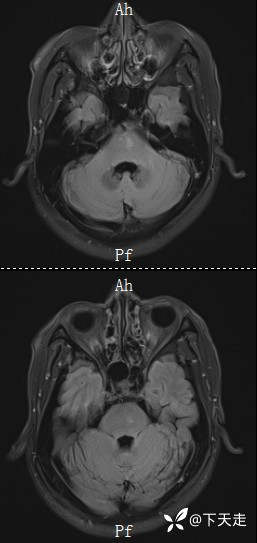
住院治疗第8天,夜间3点上厕所时感觉右侧肢体无力加重,未在意,继续卧床休息,7点肢体无力加重明显,右侧上下肢不能抬举,右侧下上肢2级。立即复查CT,排除脑出血,复查磁共振如下


患者病情好转过程中突然加重,同一部位梗死面积扩大原因?
















































