求各位大神帮忙解答!
这个患者是昨天晚上我值夜班的时候来的。她想来做活动义齿修复,但是她一张开嘴,看到她的牙龈牙齿情况,就不乐观....修复还是要缓一缓了。之前从来没有见过这么严重的牙周病,我刚出来又没有什么经验,我们小诊所又没有验血那些设施,只能转医院了。后面也留了患者信息。真心觉得这个患者太可怜了,发出来想请教一下各位大神,之前有没有遇到过这种患者啊,是怎么处理呢?
患者性别:女
患者年龄:48
主诉:牙齿松动,牙龈出血10年。
简要病史:患者自诉10年前发现刷牙出血情况,牙齿逐渐松动至脱落,只剩下口内这几颗牙了,剩下的牙都是松动三度的。4年前诊断出高血压,有服药史。
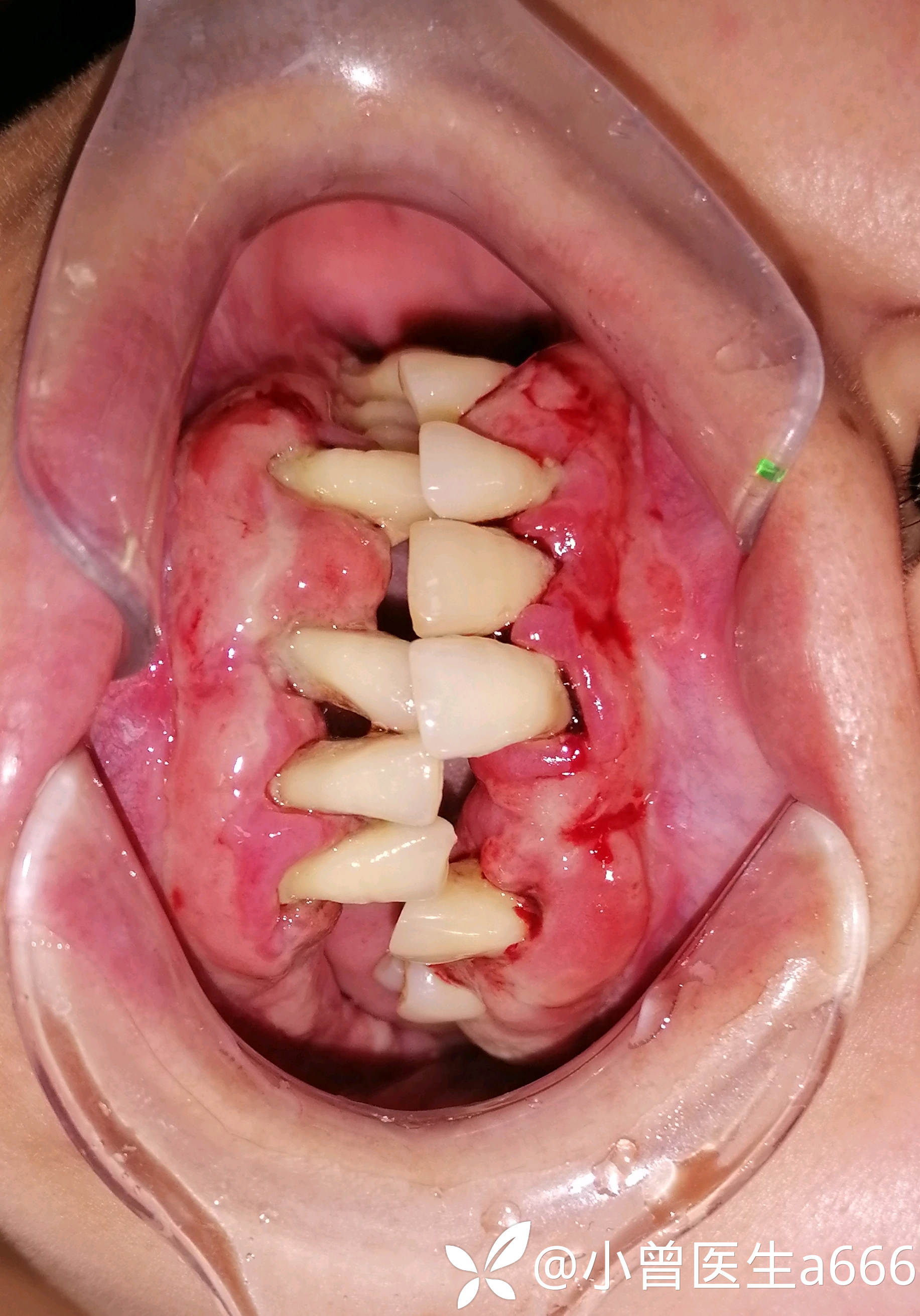
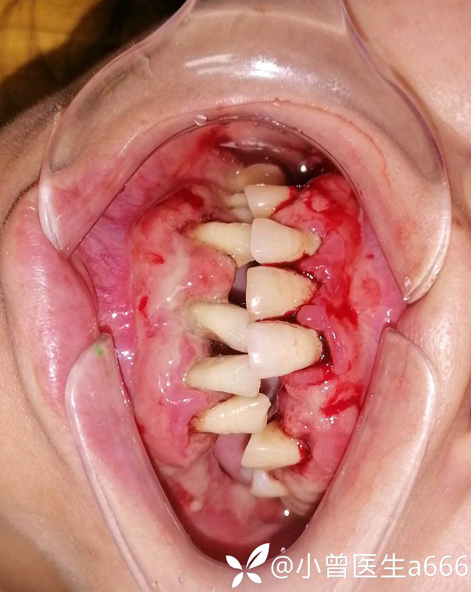
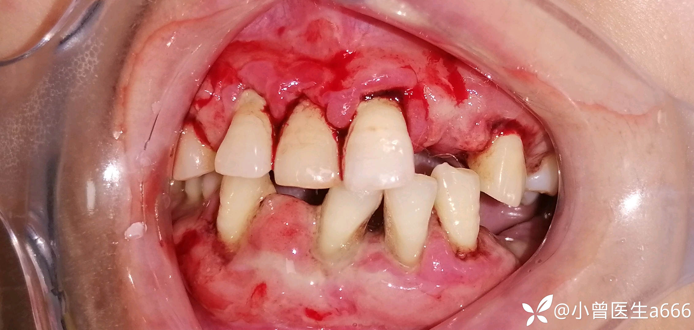
体格检查:全口牙龈红肿,探诊出血(+++),牙龈大面积溃疡溢脓,可探及深牙周袋,牙龈质软,牙龈退缩牙根暴露,见少量牙结石及软垢。牙龈牙齿检查未见疼痛不适。41缺失,41处牙龈肿胀增生至切1/3—1/2。视诊见下眼睑苍白无血色,皮肤暗黄,可见双臂皮肤斑点(患者自诉是过敏而致)
临床诊断:系统性疾病型牙周炎?
治疗经过:建议转医院行验血排除血液性疾病。






















































