dxy logo
首页丁香园病例库全部版块
搜索
登录

病例8月特别精彩病例|车祸致左踝关节疼痛半小时,CT证实有骨折|结果已公布

影像核医学版版主 · 发布于 2023-08-05 · IP 江西江西
2595 浏览
icon呱呱叫了 等 4 位达人已点赞
这个帖子发布于 2 年零 108 天前,其中的信息可能已发生改变或有所发展。

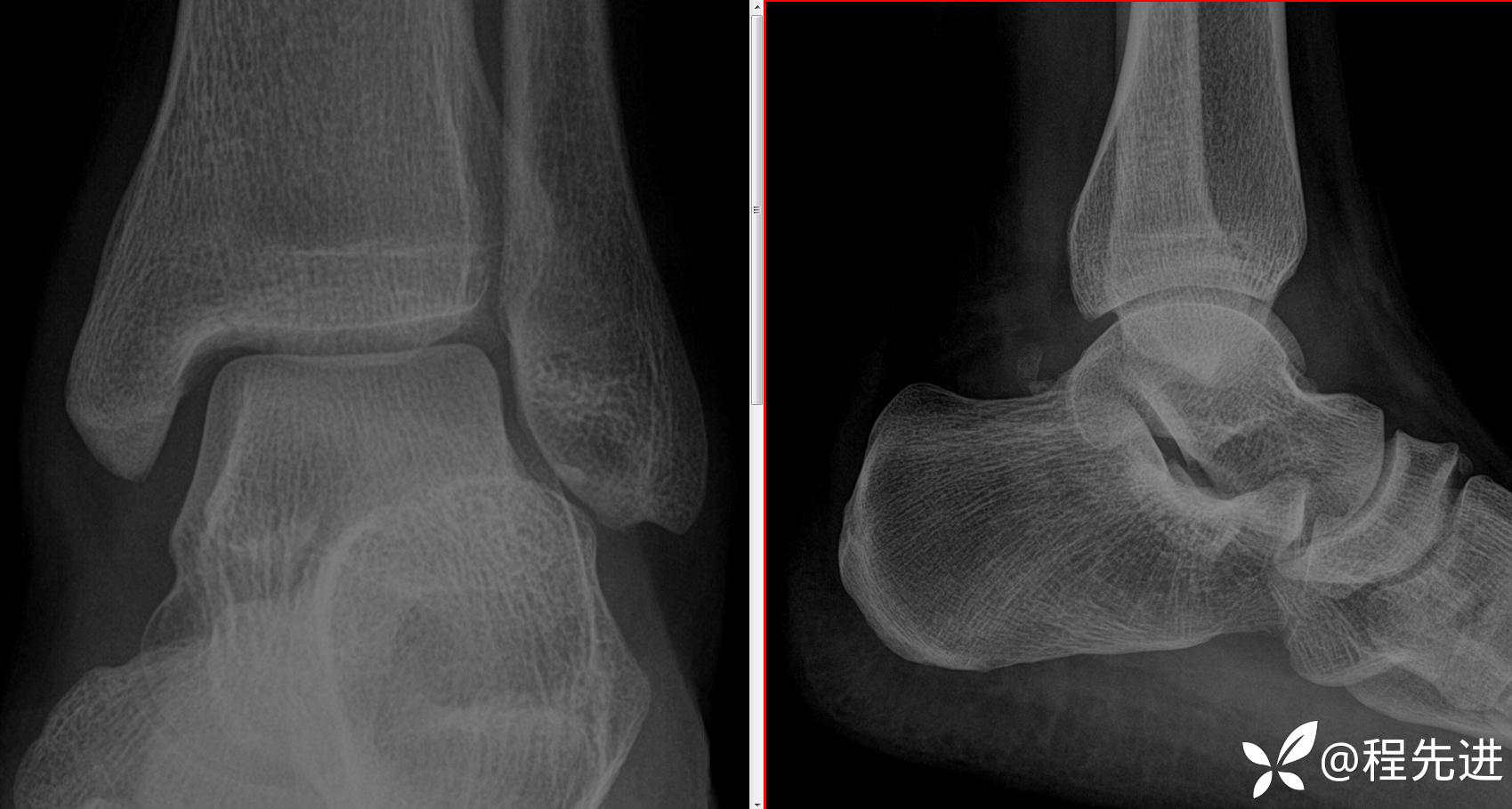
患者性别:男

患者年龄:30岁

简要病史:车祸致左踝关节疼痛半小时

辅助检查:CT检查示左踝关节骨折

img

来张特写,睁大眼睛仔细瞧

img
车祸伤 (138)
纠错
35 2 13
同行评议(0)
已评议
不开通精选
开通精选
精选已授权,待上线
评议结果暂未公布
参与评议
去邀请
NaN
病例完整NaN
临床实用NaN
诊疗科学NaN
学术价值NaN

全部讨论(0)

默认最新
avatar
35
分享帖子
share-weibo分享到微博
share-weibo分享到微信
认证
返回顶部