疑难病例讨论丨中年女性反复血栓事件为哪般?山重水复疑无路,柳暗花明又一村!
患者,女性,47岁。
主诉:反复劳力性呼吸困难4年,再发10余天。
现病史:患者缘于4年前无明显诱因下逐渐出现劳力性呼吸困难,伴左下肢肿胀,曾多次在外院住院诊治,反复诊断为“血栓性肺栓塞、左下肢深静脉血栓”,予植入下腔静脉滤器、华法林抗凝治疗,但呼吸困难反复发作,现一直服用华法林(半片)治疗,未定期监测PT-INR。10余天再次出现呼吸困难,劳力活动后出现,约行走100米后可出现,休息后有好转,无夜间阵发性呼吸困难、端坐呼吸,同时伴左下肢肿胀。
无发热、畏寒,无咽痛、流涕,无胸痛,无咳嗽、咯血,无腹痛、腹泻,无皮肤出血,无关节疼痛、畏光等其他不适。
既往史:既往有反复“血小板减少、小细胞低色素贫血”病史,病因尚未明确,但予“糖皮质激素、达那唑”治疗后好转。
否认“高血压病、糖尿病、冠心病、支气管哮喘、肾病”等病史。
生育史:无习惯性流产史。育有三个小孩,目前均体健。
个人史无特殊。
家族史:患者姐姐27岁去世,哥哥52岁突发胸闷、呼吸困难去世,母亲60去世,父亲70岁去世,病因均不详。自诉母亲、兄弟姐妹均有甲状腺功能异常史,具体不详。
查体:体温36.4℃,脉搏106次/分,呼吸22次/分,血压129/94mmHg。指尖皮氧93%。全身可见多处斑片状褐色斑(其母亲、兄弟姐妹均有此斑),尤以面部、四肢末端、胸部为甚(见下图)。呼吸急促,颈静脉怒张,急性面容。双肺呼吸音清,未闻及干湿性罗音。心界向左扩大,律不齐,可闻频发早搏,心音尚可,第二心音P2亢进,P2>A2,未闻杂音。腹平软,无压痛及反跳痛,肝脾肋下未及。左下肢肿胀,右下肢无肿胀。神经系统查体(-)。

化验室检查:
心肌坏死标志物:肌钙蛋白T:0.038 ng/ml(0-0.014)。
NT-pro-BNP 4993.08 pg/ml。
血气分析:pH:7.41,PO2: 78.5mmHg(80-100),PCO2: 27.5mmHg,HCO3: 20.5 mmol/L,乳酸:1.5mmol/L。
凝血功能:PT-INR:1.36秒(0-1.5)。
甲状腺功能:血清促甲状腺激素(TSH):11.8 uIU/ml(0.3-4.91),游离甲状腺素(FT4):6.71 pmol/l(7.64-16.03),游离三碘甲状原氨酸(FT3):4.14 pmol/l(3.28-6.47)。
甲状腺过氧化物酶抗体(TPO-Ab):479.6 lU/ml(0-40)。
抗甲状腺球蛋白抗体TGAb测定:>2500.0 lU/mL(<4.0)。
促甲状腺素受体抗体:0.98 IU/L(0.00-1.75)。
D-二聚体、血常规、血小板、CK-MB、CK、肌红蛋白、QR-CRP、血沉、电解质、肝功能、肾功能、蛋白二项、血脂、血糖、大小便常规均未见明显异常。
入院心电图如下:

心脏彩超四腔心切面如下图。

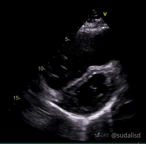
心脏彩超心尖短轴切面如下图。

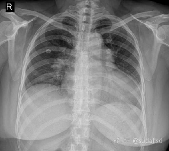
胸部X线如下图。

肺动脉CTA未见肺动脉主干有充盈缺损。见下面动态图和静态图。


下肢深静脉彩超示:左下肢股总静脉、股静脉血栓形成,考虑陈旧性血栓。
甲状腺B超:甲状腺不大,实质回声增粗、不均,血供正常。甲状腺囊肿。
各位老师和战友,结合病史、化验室检查、心电图、心脏彩超、胸部X线、下肢深静彩超,甲状腺B超及肺动脉CTA,该患者考虑什么疾病?下一步的诊治方案?
欢迎大家秒杀背后临床疾病。
快亮出您的火眼金睛,写上您宝贵的意义和答案哦!
欢迎大家关注本人话题专栏:学好心电图,秒杀临床疾病。
















































