7月特别精彩病例|骶尾部疼痛伴左下肢放射痛2月余|病理已公布
呱呱叫了 等 3 位达人已点赞患者性别:女
患者年龄:44岁
主诉:骶尾部疼痛伴左下肢放射痛 2 月余。
现病史:患者 2 月余前无明显诱因出现骶尾部疼痛,为间歇性隐痛,程度逐渐加重,并出现自左臀部向左下肢放射痛,至左大腿外侧,左小腿外侧及左足外侧。
体格检查:腰椎生理弯曲变直,L4/5 棘突间压痛(+),放射痛明显;左侧直腿抬高试验 30°(+)、加强试验(+)
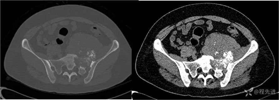
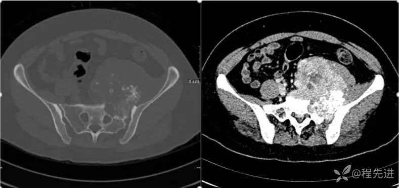
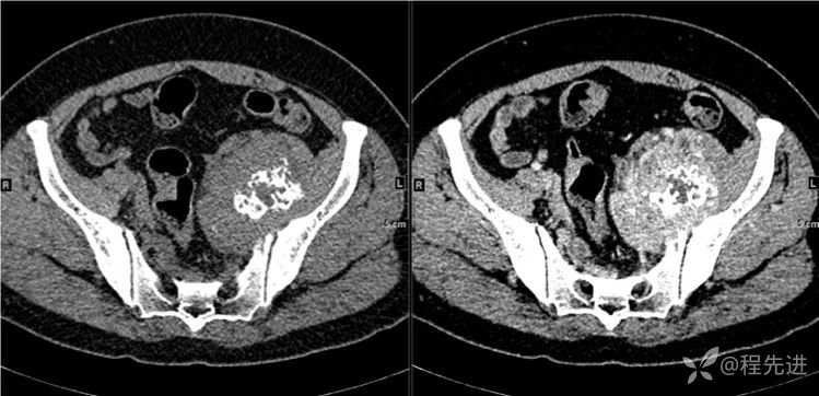
DR

CT



问题:
- 是软组织肿瘤累及骨质还是骨肿瘤伴软组织肿块?
- 是软骨基质钙化,还是肿瘤骨?抑或钙化?
- 肿瘤的定性诊断?















































