不明原因的右肩背部疼痛
NeurothinkerZ 推荐患者女性,40岁,因右肩背部疼痛班活动受限4日余入院(2023-07-17)。
病史:入院前4天无明显诱因突然感右肩背疼痛伴随活动受限,自行口服依托考昔、艾瑞昔布等药物治疗,院外应用肩关节局部手法按摩等,均无明显改善。外院门诊诊为颈椎病。自诉既往多次“胸椎小关节紊乱”于当地诊所行手法按摩,治疗后好转,否认慢性疾病病史、外伤史、手术史,诉青霉素过敏,无其他药物食物过敏史,否认吸烟史、饮酒史,月经正常,经量正常。
查体:右肩关节局部轻度肿胀,肩胛区压痛明显,痛处不固定,肩关节痛性活动受限,jobe test(+),lift -off test(+),中指、环指感觉较余指减退,余肢端感觉及血运情况可。
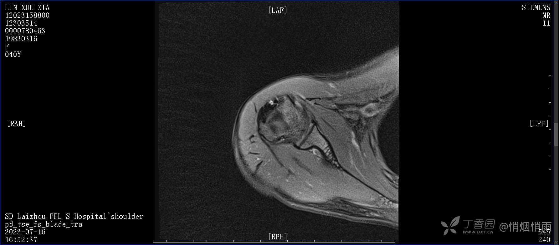
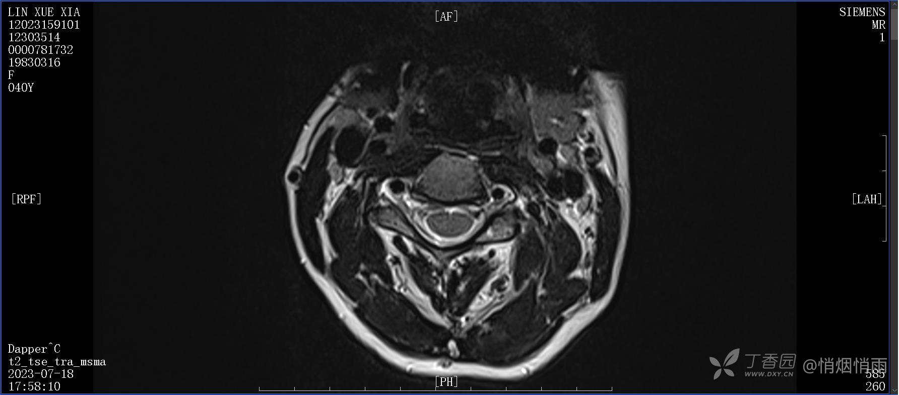
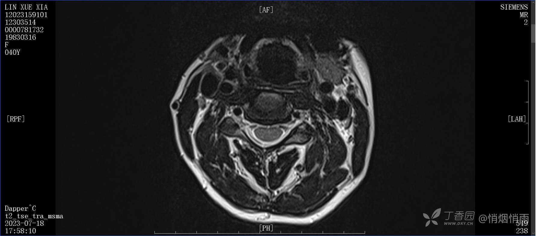
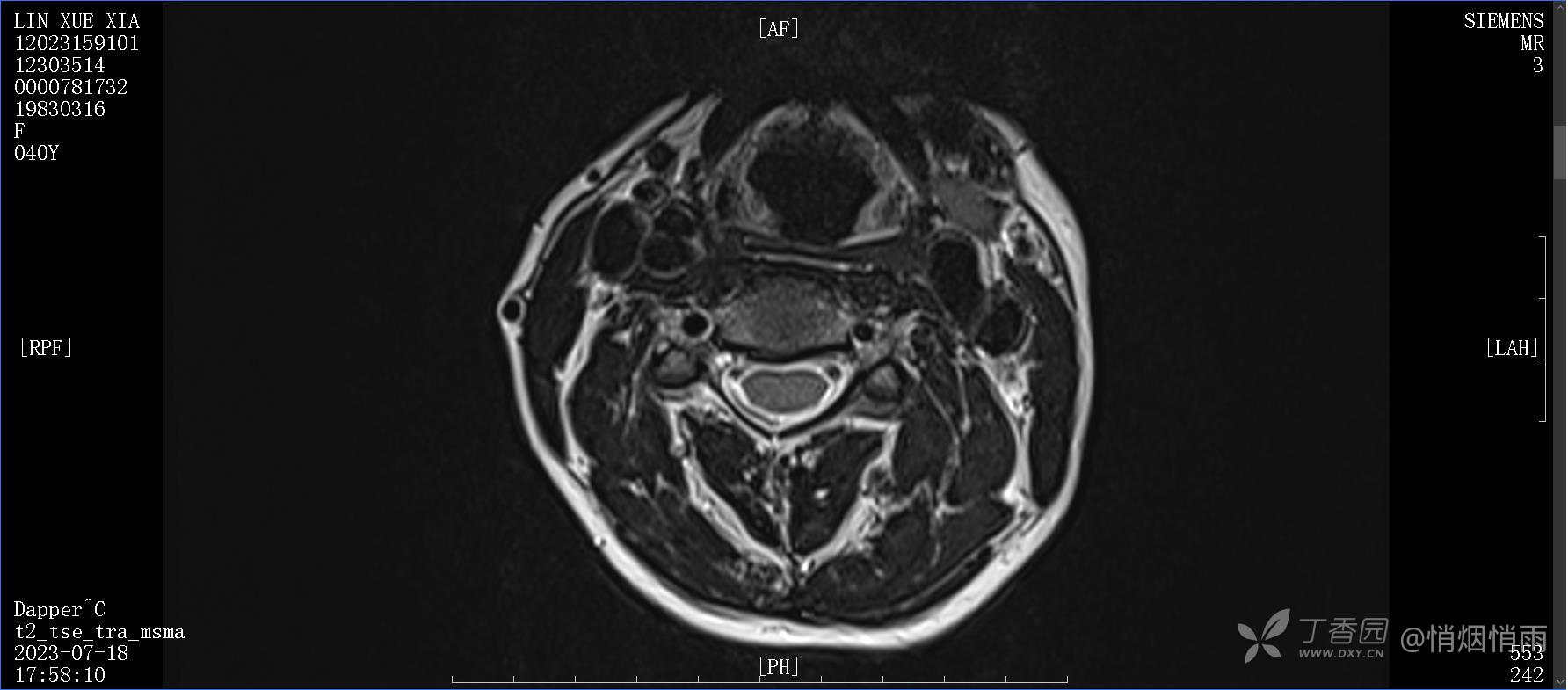
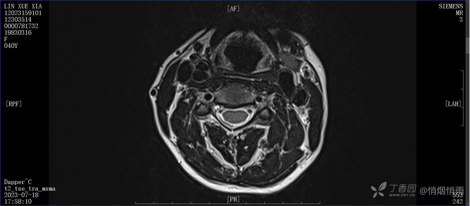
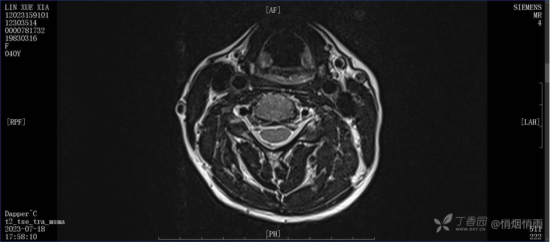
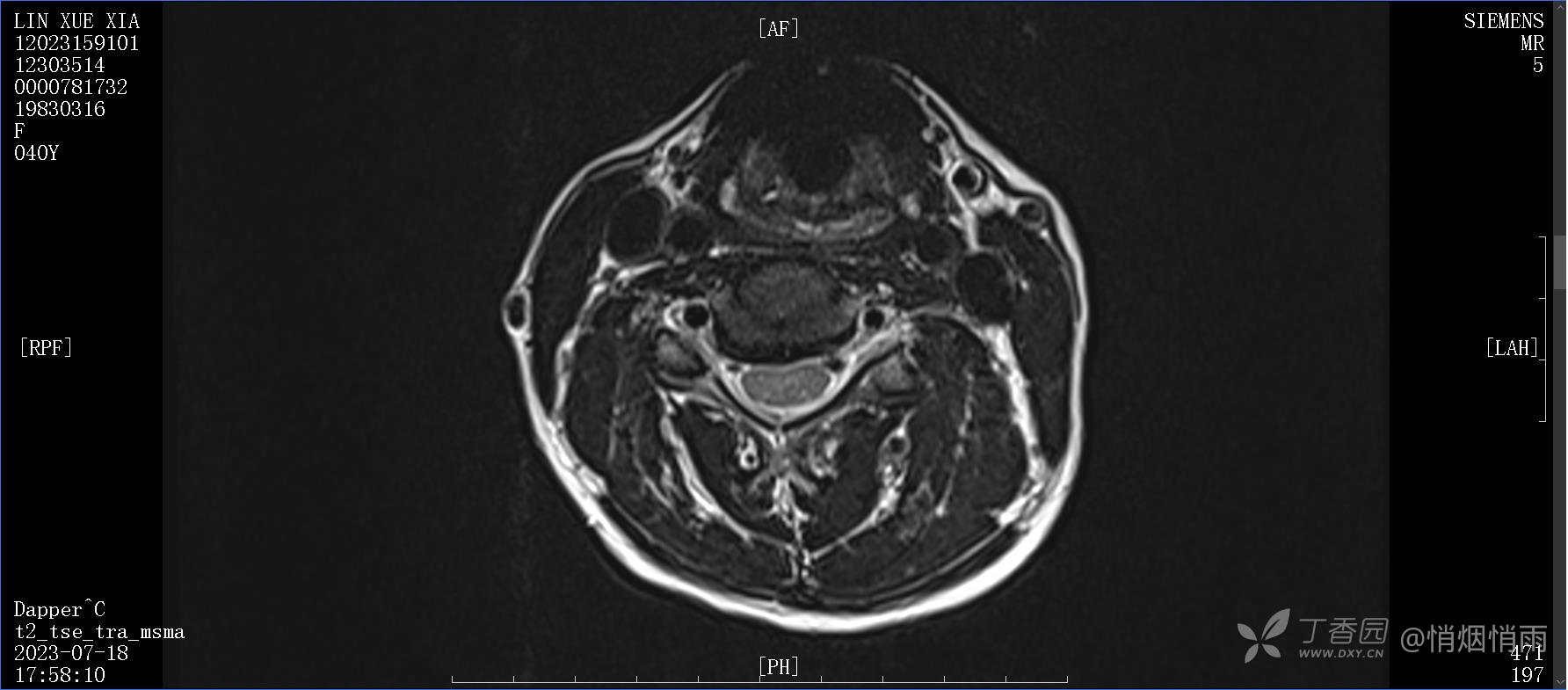
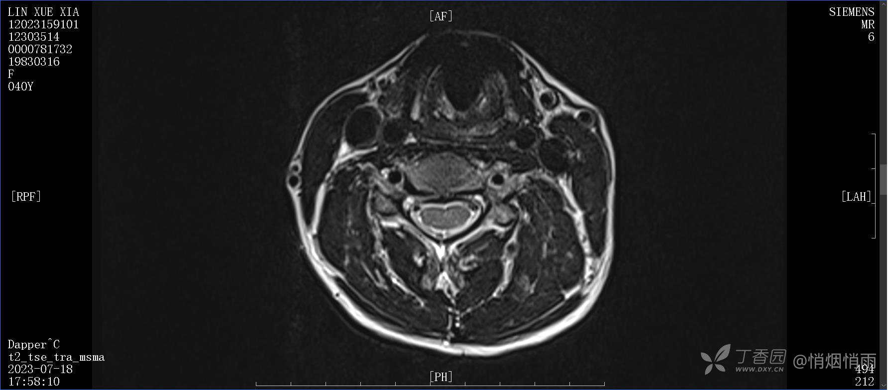
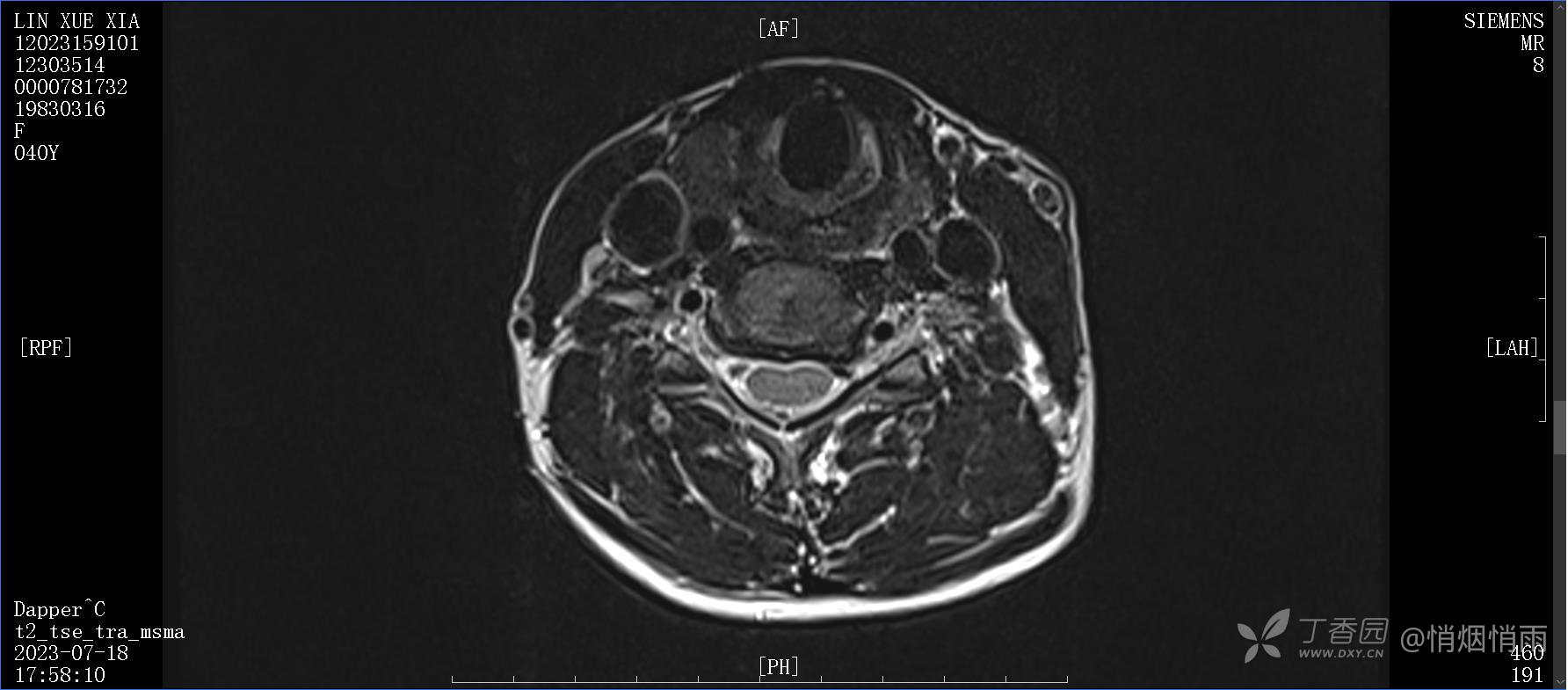
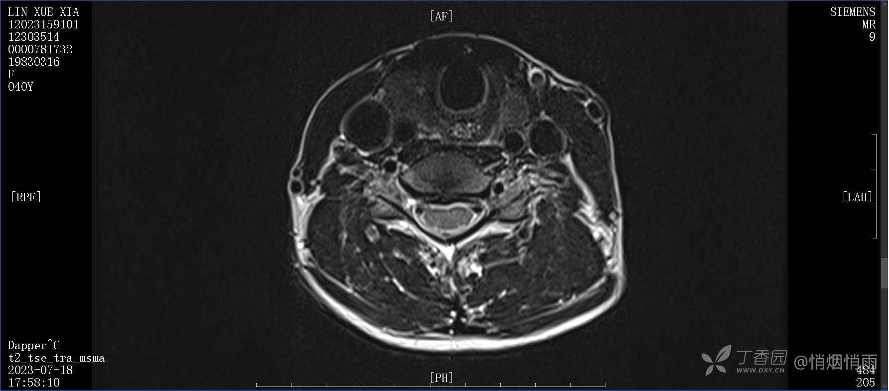
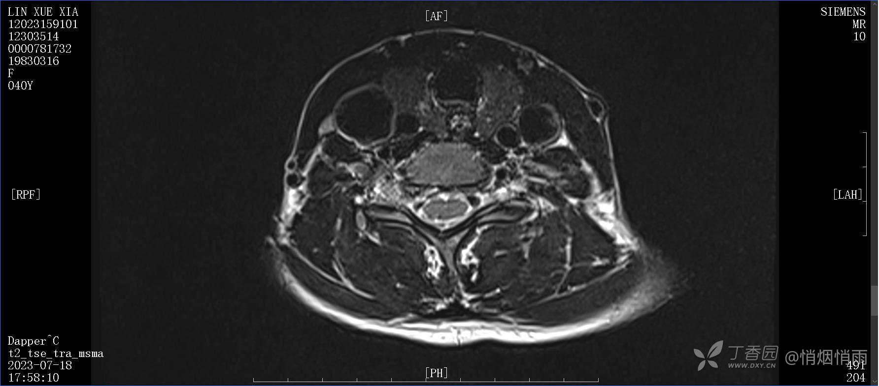
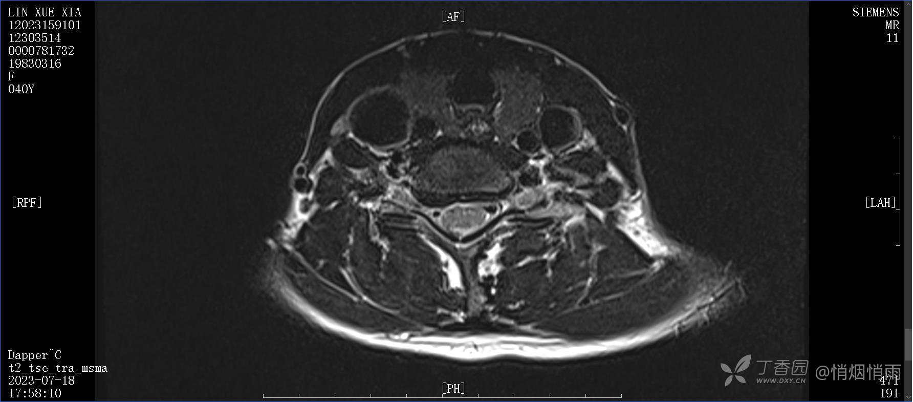
辅助检查:


































































































血清学检验:


余指标无明显异常。
根据患者疼痛范围的描述,查体时同时予标注:



注释:圆圈中标记加号的为疼痛特别明显的部位,实心圆所在范围疑似皮下肿物,但是行彩超检查后未见明显肿物,考虑肌肉性质。虚线标记为疼痛牵涉的大概的范围。
此患者行仰头抬下颌、低头收下颌以及将头转向患侧时疼痛明显,俯卧位时疼痛明显,仰卧状态起身时亦可感到疼痛,痛时剧烈。
目前的诊断,暂时依据辅助检查诊为肩袖损伤,但是患者疼痛的性质和特点,却不是单纯的肩袖损伤所致。考虑过胸廓出口综合征,但是该疾病会出现肩胛区的疼痛吗?(由于考虑到费用的问题,没再进行下一步的检查)带状疱疹会有如此的症状吗?
目前已予应用酮咯酸氨丁三醇,仅仅起效2小时左右,疼痛即开始发作,而且由于其用药后胃部疼痛,予更换为帕瑞昔布,效果同酮咯酸氨丁三醇。
(患者行右上肢肌电图+体感诱发试验时,诉感觉疼痛减轻)。
请教园子里的各位大佬,目前的这些资料,初步考虑的诊断是什么?下一步的检查或者治疗方案是怎样的呢?
提前感谢各位大佬的献计献策,小弟万分感谢!
















































