清华长庚进修记-第二十六回-记一例左肝ICC
丁香医小白 推荐相信很多同道都碰到过一个问题,肝门部胆管癌和肝门附近的ICC侵及肝门如何鉴别?碰到这种病例,很多时候影像科医生出的报告并不正确,容易误导外科医生。而如果ICC比较小,边界模糊时,术前明确诊断着实有一定难度。外科医生碰到这种病例经常会互相打赌,等最后病理来揭晓谜底,决定胜负。如果这种病例手术时再联合行门静脉+动脉切除重建,那无论是诊断还是治疗,一定都会给医生留下深刻印象。
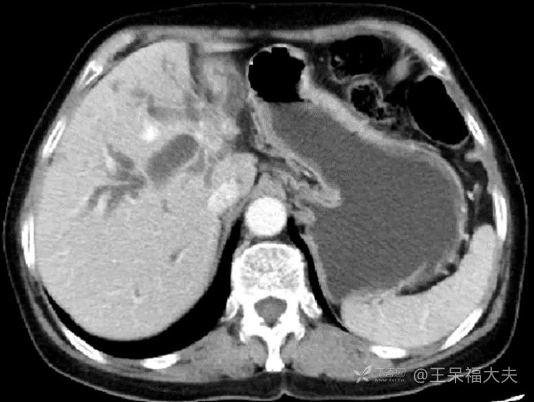
患者72岁女性,无明显诱因下出现皮肤巩膜黄染3周,当地检查提示“肝门部胆管癌”1周入院。既往体健,查体除皮肤巩膜重黄染无特殊。影像检查提示肝内外胆管扩张,门脉左支闭塞,右肝动脉根部受侵,如图:

图1:我看着像ICC侵犯肝门,也有人赌肝门胆管癌侵犯肝实质,结果我赢了一顿酒。

图2:右肝动脉根部可疑受侵;门脉左支闭塞,浸润至左右门脉汇合部。
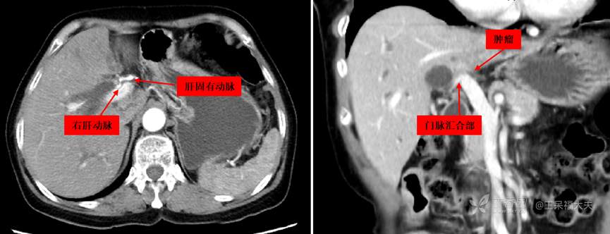
手术流程简述:1.探查能不能做;2.游离左肝,游离尾状叶;3.离断肝外胆管,远端送切缘,骨骼化肝十二指肠韧带;4.右肝动脉受侵段切除,端端吻合重建(图3);5.按照左半肝+全尾叶范围劈肝,离断肝门板,右肝管断端送切缘,直至标本仅通过门脉左支与身体相连(图4);6.离断门脉汇合部,端端吻合重建;7.胆肠吻合,术野拍照(图5)。

图3:切肝前先把右肝动脉-肝固有动脉重建,能看到9-0的线吗?真的很细

图4:左半肝+全尾叶都劈完了,仅剩门脉左支未处理。至此,可以从容将门脉主干-门脉右支切除后重建。注意看动脉吻合口,基本不着痕迹了。

图5:关腹前术野,啧啧啧
患者术后床旁超声监测脉管结构通畅,1周复查增强CT动脉、门脉都未见异常。术后第9天出现一过性胃瘫,考虑和清扫小弯侧淋巴结有关,使用三腔营养管治疗5天后痊愈,术后20天顺利出院。术后卡培他滨辅助治疗,目前已经7月,刚刚复诊后处于无瘤生存状态。
最后将病理报告原文附上以揭晓谜底:(左半肝)肝门周胆管细胞癌,胰胆管型,腺癌,中-低分化,肿瘤大小2.5x2.0x1.5cm,癌组织累及左右肝管、肝总管,侵透胆管壁全层,累及肝实质;可见广泛神经侵犯,并可见癌组织侵犯血管壁外膜;胆总管切缘未见癌浸润(镜下测量癌组织距胆总管切缘2.8cm),右肝管切缘未见癌浸润(镜下测量癌组织距右肝管切缘0.4cm),肝脏切缘未见癌浸润(镜下测量癌组织距肝切缘1cm)。肝门周围淋巴结内可见癌转移(3/12)。免疫组化:CK7(+)、CK19(+)、CK20(-)、CDX-2(局灶+)、CEA(+)、Muc-1(+)、Muc-2(-)、Muc-5AC(+)、Muc-6(-)、MLH1(+)、PMS2(+)、MSH2(+)、MSH6(+)、EGFR(2+)、Her2(1+)、Ki67(40%+)。(胆囊)慢性胆囊炎,大部分粘膜上皮脱失,未见癌浸润。(右肝动脉主干)血管壁及神经、脂肪组织,未见癌浸润。(门脉左支)血管壁组织,内膜层可见癌浸润。(7组淋巴结)淋巴结内未见癌转移(0/3)。
















































