一个指标导致误诊!患者因低血压住院多日
hut12315 达人已点赞病例简介
现病史
患者男,73 岁,主因胸闷、憋喘半年入院。患者半年前无明显诱因出现胸闷、憋喘,伴心慌,伴咳嗽、咳白色粘痰,活动后加重,时有双下肢水肿,夜间不能平卧,无胸痛及放射痛,无发热,无咯血,无头晕、黑矇、意识丧失,以「心功能不全」收入院。
既往史
平素身体一般,否认「高血压病、糖尿病」等病史,「慢性支气管炎」病史 5 年,既往「肺结核」病史 20 年,自诉已痊愈,无乙肝病史,无手术史,无外伤史,无血制品输入史,无药物、食物过敏史。
个人史、家族史
生活较规律,吸烟 40 支/日 × 20 年,已戒烟 5 年,少量饮酒史,职业农民,无毒物、粉尘及放射性物质接触史,无冶游史。无家族性遗传病、传染病史,无类似病史。
入院查体
T 37.4 ℃,P 61 次/分,R 20 次/分,BP 112/71 mmHg。一般情况可,意识清,口唇无紫绀,颈静脉无充盈、怒张。双肺呼吸音低,未闻及干湿性啰音。心前区无异常隆起,无震颤,心率 61 次/分,心律规则,心音低钝,无杂音,无周围血管征。腹部查体无阳性体征,双下肢无水肿。
化验回报
肌酸激酶同工酶 1.90 ng/mL(0.6~6.3);肌红蛋白 14.70 ng/mL(1.5~70);高敏肌钙蛋白 I 0.0205 ng/mL(0~0.0175);B 型钠尿肽 3500 ng/L(300~900);
血常规 + CRP:白细胞 4.77 × 10^9/L(3.5~9.5),红细胞计数 4.06 × 10^12/L(4.3~5.8),血红蛋白 132 g/L(130~175),血小板计数 138 × 10^9/L(125~350),中性粒细胞百分比 48.40%(40~75)
C 反应蛋白 3.15 mg/L(0~6);降钙素原 < 0.072 ng/mL(0.072~0.094);D-二聚体 2.07 mg/L(0.08~0.5);
肝功:丙氨酸氨基转移酶 9.3 U/L(7~40);天冬氨酸氨基转移酶 15 U/L(13~35);白蛋白 33.9 g/L(40~55);肌酐 60.2 umol/L(25~123);尿素 5.40 mmol/L(2.29~7.2);凝血常规、甲功、抗核抗体定性、血脂、血糖、尿便常规无异常。
辅助检查
心电图提示窦性心动过速,完全性左束支传导阻滞,QT 间期延长,顺钟向转位。

胸片见双肺纹理增强、紊乱,双肺野见网格状影及斑片状高密度影,提示双肺间质性改变。

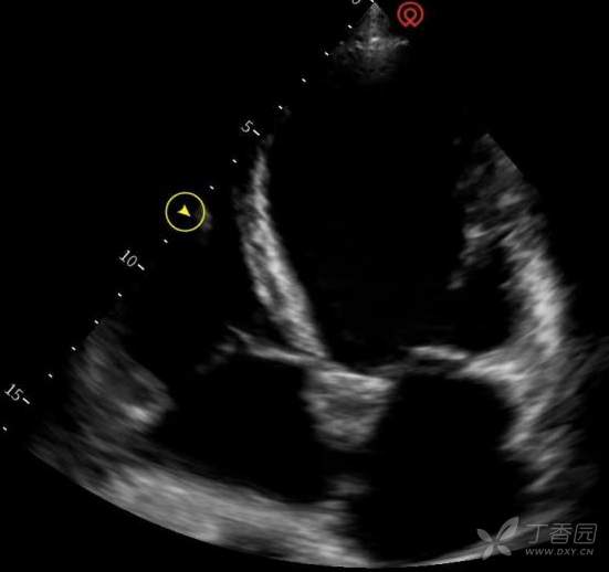
心脏超声:左房 49 mm,右房 40 mm,左室舒张末内径 68 mm,右室舒张末内径 39 mm,左室 EF 26%。全心扩大,左室室壁运动弥漫性减低。二尖瓣探及少-中量反流信号,三尖瓣及主动脉瓣探及少量反流信号。舒张期二尖瓣前向血流频谱 E 峰 < A 峰。TDI 示二尖瓣瓣环频谱 e' < a'。

肺部超声:左肺上 BLUE 点检查可见 B 线,左肺下 BLUE 点检查可见 B 线,左 PLAPS 点检查可见 B 线,右肺上 BLUE 点检查见 B 线,右肺下 BLUE 点检查见 B 线,右 PLAPS 点检查见 B 线。

治疗经过
患者全心扩大、左室 EF 减低,BNP 升高,肺间质淤血,肺部可见 B 线,结合病史、症状及辅助检查诊断为急性心力衰竭,给予利尿、强心、抗凝、抗血小板、调脂等治疗。患者入院后血压呈下降趋势,04-26 日给予去甲肾上腺素泵入以维持血压。

经过数日治疗,患者胸闷、憋喘症状较前减轻,血压呈现降低趋势,并出现头晕、乏力等体位性低血压症状。
复查超声左室 EF 27%,双肺仍可见较多 B 线,于是考虑存在心衰肺水肿,是由于心泵功能的严重下降而导致的低血压,继续给予利尿治疗,随之而来的是需要越来越大的去甲肾上腺素剂量维持血压。
此时患者查体双下肢不肿,全身皮肤黏膜干燥,外周静脉不充盈,超声显示下腔静脉几近闭塞,很明显患者目前已达到干体重状态。为进一步评估容量负荷,给予中心静脉置管,测量中心静脉压波动在 1.3~3.8 之间,存在血容量不足。
患者胸闷、憋喘症状已明显缓解,超声复查舒张期 E 峰值仅 54.7 cm/s,心房并不存在过高的充盈压,也就是说心衰肺循环淤血应当得到改善,那为什么超声仍提示双肺较多 B 线呢,我们决定进一步完善胸部 CT 评估肺内情况。
超声舒张期 E 峰值 54.7 cm/s。

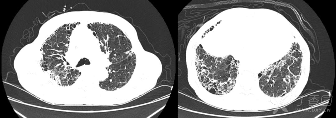
胸部 CT 提示双肺间质纤维化。

经验总结
肺部超声近些年在心衰重症患者的评估中应用越来越普遍。提到心衰患者肺水肿的评估,就不得不提 B 线。
B 线是肺部超声中激光束样、彗星尾样直线,源自于胸膜,随胸膜滑动而运动,随距离传播而无衰减。心内科最常见的心力衰竭肺组织内含水量比例增加产生大量 B 线,所以 B 线广泛应用于心脏重症心衰肺水肿的评估。
B 线出现的本质是肺小叶间质增厚而产生的高回声伪象。但 B 线不仅限于肺间质水肿,在肺间质炎症、肺间质纤维化时,肺间质浸润增厚,在周围肺泡气体的包围下,就形成了「振铃伪象」多重内部回响。
所以不论是漏出液、渗出液还是纤维瘢痕等物质充斥在肺间质,致其增厚,均可导致 B 线伪象形成。因此不同疾病病因可有相同的 B 线表现,需知 B 线的诊断具有高敏感性和低特异性。
该病例其实容量管理已经到位,虽然肺部布满 B 线,但实际上是肺间质纤维化的超声表现。因为肺纤维化对胸膜的损害性更大,胸膜有明显破坏痕迹,该患者的肺部超声还可见胸膜增粗、增厚、粗糙不均匀,连续性中断,颗粒样改变或结节样改变,这是肺纤维化的超声特征。
这个病例在诊治过程中受到误导,发生了低血压延长了患者住院时间,反思经验教训是我们对超声 B 线形成的本质原理和鉴别诊断还存在不足。医路漫漫,吾辈仍需精进。
















































