6月特别精彩病例|无明显诱因出现骶尾部疼痛3个月,B超发现肿块3天【病理已公布】
呱呱叫了 等 2 位达人已点赞患者性别:女
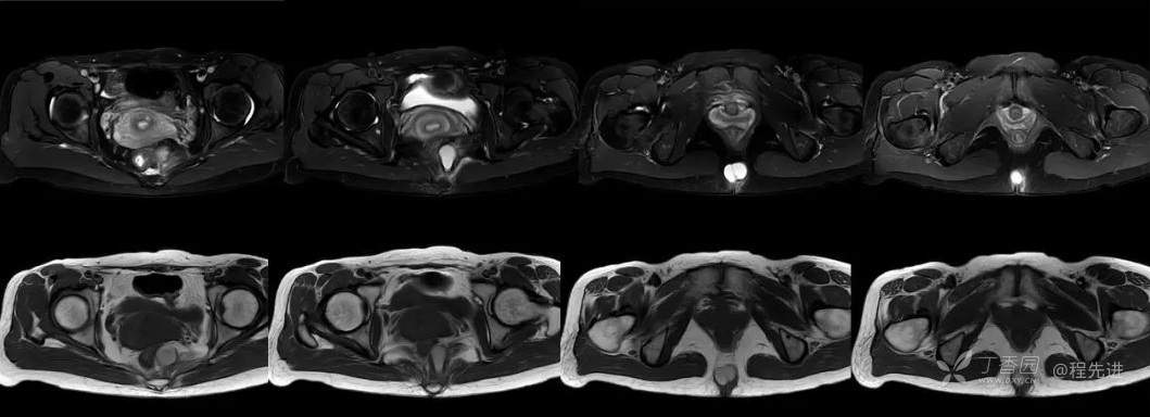
患者年龄:35岁
简要病史:3个月前无明显诱因出现骶尾部疼痛,胀痛为主,程度轻微,B超发现肿块3天。
体格检查:脊柱生理曲度存在,无侧弯,无压痛,活动可。尾骨尖右侧旁开2-3CM压痛。
辅助检查:肾功能、血脂常规、空腹血糖均大致正常,肿瘤标志物未做。



呱呱叫了 等 2 位达人已点赞患者性别:女
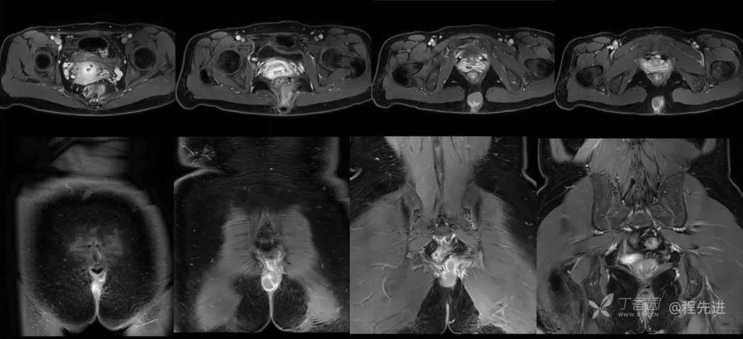
患者年龄:35岁
简要病史:3个月前无明显诱因出现骶尾部疼痛,胀痛为主,程度轻微,B超发现肿块3天。
体格检查:脊柱生理曲度存在,无侧弯,无压痛,活动可。尾骨尖右侧旁开2-3CM压痛。
辅助检查:肾功能、血脂常规、空腹血糖均大致正常,肿瘤标志物未做。



