疑难案例 ‖ 49岁女患腰痛10年,腰大肌、腹膜后脓肿的细菌,可能是?
最近收治一个特别患者:
1.中年女患,腰背疼痛10年,当地医院诊断腰大肌脓肿,反复抗炎治疗,疼痛可减轻;
2.2型糖尿病多年;
3.查体:如图

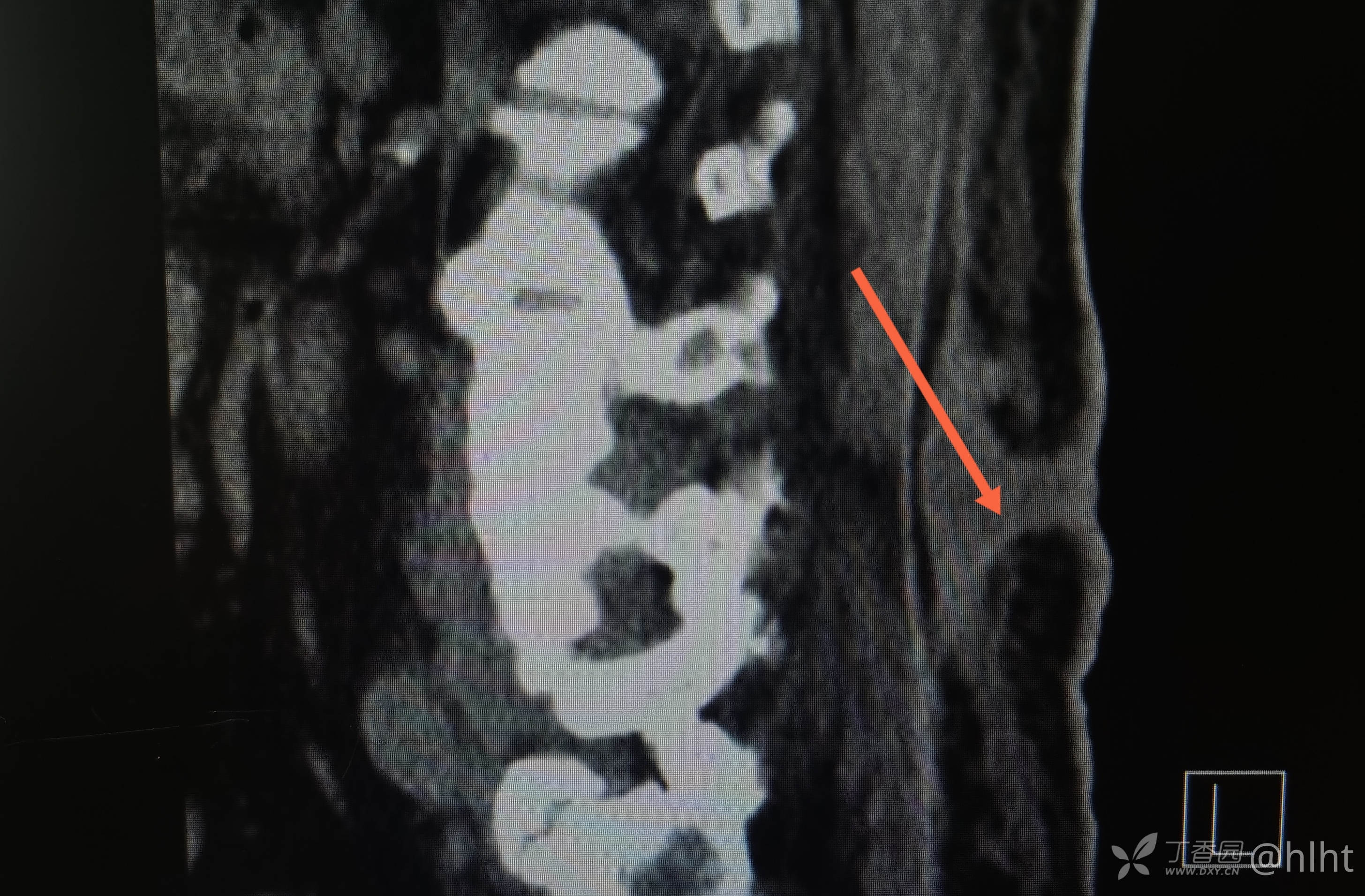
4.相关检查:






诊断:1.左侧腰大肌、髂腰肌脓肿 :结核? 2.2型糖尿病 3.高血压2级
高度怀疑结核,但结核效果检查结果都是阴性的;
可能细菌?治疗方案?(术前看似很疑难,实际治疗过程顺利,已公布答案)
最近收治一个特别患者:
1.中年女患,腰背疼痛10年,当地医院诊断腰大肌脓肿,反复抗炎治疗,疼痛可减轻;
2.2型糖尿病多年;
3.查体:如图

4.相关检查:






诊断:1.左侧腰大肌、髂腰肌脓肿 :结核? 2.2型糖尿病 3.高血压2级
高度怀疑结核,但结核效果检查结果都是阴性的;
可能细菌?治疗方案?(术前看似很疑难,实际治疗过程顺利,已公布答案)
