6月特别精彩病例|咳嗽、咳痰3天,仔细看,小心一叶障目【结果已公布】
患者性别:男
患者年龄:73岁
主诉:咳嗽、咳痰3天
既往史:“2型糖尿病”,“高血压病3级 极高危组”病史5年,长期口服“苯磺酸左旋氨氯地平”
体格检查:体温36.4℃,脉搏98次/分,呼吸23次/分,血压136/73mmHg,双肺呼吸音清,左肺可见闻及湿性啰音;腹部平软,未见胃肠型及蠕动波,全腹无压痛及反跳痛,未见腹部包块
辅助检查:
WBC 13.15x10^9/L↑(3.5-9.5),HGB 106g/L(120-165),PLT422x10^9/L↑(100-300),中性粒细胞比值NEUT%91.01(50-70%),C-反应蛋白252mg/L↑(5-10),ESR100mm/h↑(0-15),血清淀粉样蛋白A 3334.60mg/L↑(0-10)
D-二聚体0.7ug/ml(<0.9),心肌酶谱及常规、肝肾功能正常,真菌培养:阴性,结核杆菌培养:阴性,类风湿因子:正常
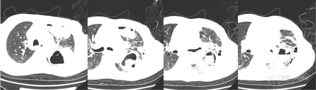
CT平扫
肺窗

纵隔窗

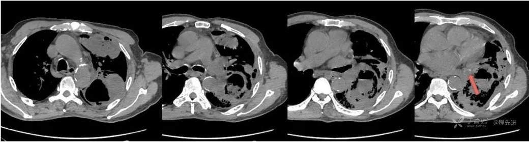
2天后平扫+增强
肺窗

纵隔窗 红箭CT值33HU

增强红箭CT值70HU

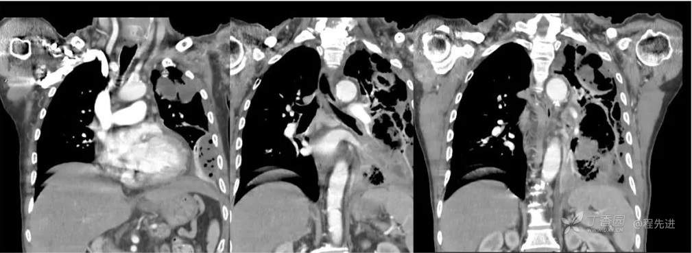
冠状位肺窗重建

冠状位纵隔窗重建

您的诊断是?















































