一本最新生物医学神刊,影响因子高达57+的胰腺癌文章
本期小编为大家解析一篇今年出炉的发表在 nature 期刊上的文章,题目是RBFOX2 modulates a metastatic signature of alternative splicing in pancreatic cancer《 RBFOX2调节癌症选择性剪接的转移特征 》下面我们跟随文献解读进行下一步学习。
研究背景
// 2023 summer
胰腺导管腺癌(PDA)的特征是侵袭性局部浸润和转移扩散,导致高致死率。尽管PDA进展过程中的驱动基因突变是保守的,但没有特异性突变与转移瘤的播散相关1,2,3 .在这里,我们分析了大量原发性和转移性PDA肿瘤的RNA剪接数据,以确定与PDA进展相关的差异剪接事件。
对这些事件的从头基序分析检测到与RBFOX2基序高度相似的基序富集。RBFOX2在患者来源的异种移植(PDX)转移性PDA细胞系中的过表达大大降低了这些细胞在体外和体内的转移潜力,而原发性胰腺肿瘤细胞系中RBFOX2的耗竭增加了这些细胞的转移潜力。
这些发现支持RBFOX2作为PDA中有效的转移抑制因子的作用。RBFOX2靶基因的RNA测序和剪接分析揭示了RHO GTP酶途径中基因的富集,表明RBFOX2剪接活性在细胞骨架组织和粘附形成中的作用。
研究内容
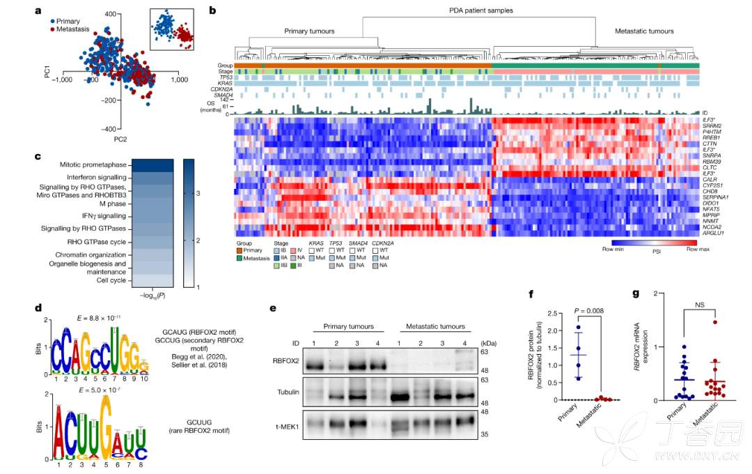
见图一
PDA的另类拼接景观。

图一
a,通过PSI评分计算的胰腺癌患者395个样本中替代剪接事件的PCA。蓝点代表原发肿瘤样本,红点代表转移性肿瘤样本。插图显示了对临床注释(原发性或转移性)与其各自簇匹配的样本子集的 PCA 分析。
b,基于前249个差异剪接事件(PSI)对20个PDA患者样本进行无监督聚类。星号表示同一基因的不同剪接事件。还显示了突变状态、临床分期和总生存期 (OS)。最大值,最大值;最小值,最小值;突变,突变;WT,野生型;不适用,不可用。
c,原发性肿瘤和转移性肿瘤之间显着差异剪接基因的反应组途径分析。进入分析的基因具有强加的临界值(|ΔPSI| > 10%)和名义P值(P <0.05,过度代表性分析(超几何分布)测试)。基因集限制在5到500个基因之间,通路被过滤为P<0.05的统计阈值。
d,在参与RHO GTP酶途径的差异剪接基因中鉴定出的前两个富集基序19,40.e,RBFOX2在代表性原发性和PDX转移性胰腺肿瘤中的免疫印迹分析。微管蛋白和总 MEK1 (t-MEK1) 作为上样对照(每组 n = 4 个患者样本)。凝胶源数据在补充图中提供。
1. f,原发性和转移性肿瘤中RBFOX2蛋白相对于微管蛋白的定量(每组n = 4个患者样本;数据为平均值±SD)。
g,定量PCR逆转录(RT-qPCR)分析PDA患者原发性肿瘤和转移灶中RBFOX2表达(每组n = 15个患者样本;数据是平均值±s.d.)。
f,g,双尾学生 t 检验。NS,不重要。PDA患者的遗传改变和临床资料见补充表1;PDA患者样本中的差异剪接事件如补充表2所示;序列基序富集分析见补充表3;反应组分析见补充表4。
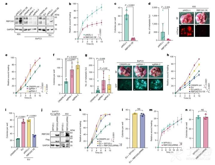
见图二
RBFOX2在胰腺癌进展中充当转移性肿瘤抑制因子。

图二
a, 用 pWZL(−)(空载体对照)或 RBFOX50 cDNA(RBFOX2 过表达 (OE))(左)转导的 X2 细胞的免疫印迹分析,用 CRISPR 对照转导的 BxPC3 细胞 (ctrl)、RBFOX2 sgRNA-1 或 RBFOX2 sgRNA-2(左二)、靶向 RBFOX2 外显子-内含子连接 (EIJ) 的 CRISPR 对照或 RBFOX2 特异性 sgRNA(左三),这些细胞再次用 pWZL(−) 或 RBFOX2 cDNA 转导(右)。
b,c,伤口愈合测定(b)和软琼脂测定(c)中X50细胞的菌落形成,左。
d,左,静脉注射表达pWZL(–)或RBFOX50 OE的mCherry标记的X2细胞(每组n = 10只小鼠)的NOD-SCID小鼠肺转移的定量。右图,通过明场(BF)(顶部)和荧光(底部)显微镜可视化的肺部代表性图像。比例尺,1,000 μm。
e,f,伤口愈合测定 (e) 和软琼脂测定 (f) 中描述的细胞集落形成,左起第二。
g,左,静脉注射表达CRISPR对照的GFP标记的BxPC3细胞,RBFOX2 sgRNA-1或RBFOX2 sgRNA-2(每组n = 9只小鼠)的NOD-SCID小鼠肺转移的定量。右图,通过明场(顶部)和荧光(底部)显微镜可视化的肺部代表性图像。比例尺,1,000 μm。
h,i,伤口愈合测定 (h) 和软琼脂测定 (i) 中描述的细胞的集落形成,左起第三和右 a。
j,表达用SFFV3(−)(空载体对照)或RBFOX2(ΔRRM)(左)转导的RBFOX2 EIJ sgRNA的BxPC2细胞和用编码SFFV50(−)或RBFOX2(ΔRRM)(右)的慢病毒转导的X2细胞的免疫印迹分析。
k,l,伤口愈合测定(k)和软琼脂测定(l)中细胞的集落形成,左。m,n,伤口愈合测定(m)和软琼脂测定(n)中细胞的集落形成,右。
a,j中的凝胶源数据在补充图中提供。2. 数据是平均值±标准差。在所有面板中,n≥3个独立实验中,显示了精确的P值。双向方差分析(b,e,f,h,i,k,m)或未配对的双尾学生t检验(c,d,g,l,n)。
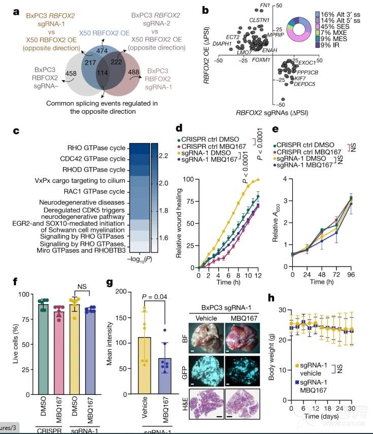
见图三
RBFOX2调节胰腺癌进展中的剪接事件。

图三
a,维恩图显示了差分拼接事件的重叠,具有互易拼接。显示了两种比较:具有RBFOX50 OE的X2细胞与表达RBFOX3 sgRNA-2的BxPC1细胞,以及具有RBFOX50 OE的X2细胞与表达RBFOX3 sgRNA-2的BxPC2细胞。
b、a中描述的倒数拼接事件的ΔPSI。甜甜圈图显示了交替剪接事件类型的分布:单外显子跳跃(SES),替代5′剪接位点(alt 5′ss),替代3′剪接位点(alt 3′ss),互斥外显子(MXE),多外显子跳跃(MES)和内含子保留(IR)。P值使用PSI-sigma生物信息学分析计算(标称P值<0.05和|ΔPSI| > 10%)(详见方法)。
c,对a中确定的114个共享事件的Reactome途径分析。如方法中所述,分析中包含的基因施加了临界值。使用过度表征分析(超几何分布)检验过滤通路的统计阈值P<0.05。
d,用MBQ3(2.1μM)或DMSO处理的BxPC167 RBFOX0 sgRNA-05细胞的伤口愈合测定。
e,d中细胞的增殖测定。f,台盼蓝细胞计数描述在处理后24小时d。
g,左,静脉注射用载体或MBQ3(每公斤2mg)处理的GFP标记的BxPC1 RBFOX167 sgRNA-3细胞的NOD-SCID小鼠肺部的平均GFP强度(每组n = 7只小鼠)。右图,通过明场(顶部)和荧光(中)显微镜以及苏木精和伊红(H&E)染色(下图)可视化的肺部代表性图像。比例尺,1,000 μm。完整数据见补充图。12. h,实验期间小鼠的重量g。数据是平均值±标准差。在所有面板中,n ≥ 3 个独立实验。显示确切的 P 值。未配对双尾学生 t 检验 (f)、双向方差分析 (d,e、h) 或未配对单尾学生 t 检验 (g)。补充表4提供了反应组分析,补充表2列出了RBFOX6操纵细胞系中的差异剪接事件。
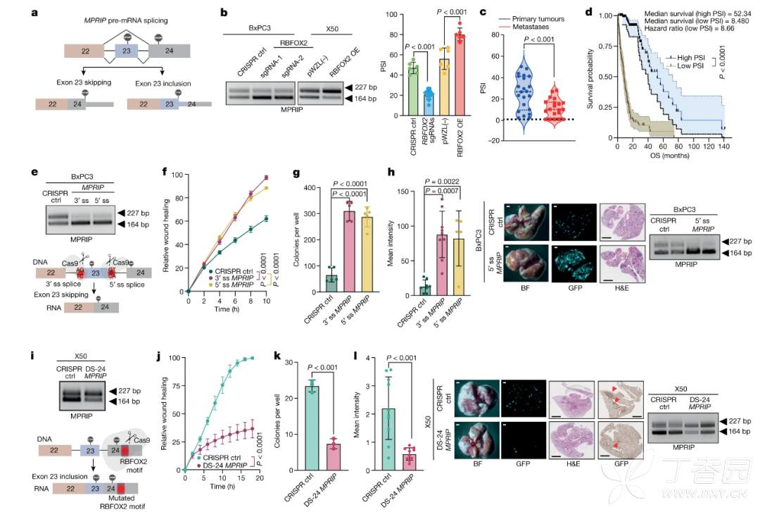
见图四
MPRIP剪接的调节调节胰腺肿瘤细胞的转移潜力。

图四
a,RBFOX2介导的MPRIP拼接方案。
b,逆转录PCR(RT-PCR)和定量表达CRISPR对照的BxPC3细胞,RBFOX2 sgRNA-1或RBFOX2 sgRNA-2以及表达pWZL(−)或RBFOX50 OE的X2细胞中的MPRIP PSI值。
c,胰腺癌患者样本中MPRIP PSI值的小提琴图(n = 22个原发性肿瘤和n = 20个转移瘤),使用LabChip GX分析。
d,来自PanCurX数据集的总生存期和MPRIP PSI值的Kaplan-Meier曲线。
e,底部,显示MPRIP拼接(跳跃)调制的方案。上图,用MPRIP sgRNA转导的BxPC3细胞中MPRIP剪接的RT-PCR分析。
f,g,伤口愈合测定(f)和e中细胞的软琼脂测定(g)中的集落形成。
h,左,静脉注射表达MPRIP sgRNA的GFP标记的BxPC3细胞的NOD-SCID小鼠肺部的平均GFP强度(每组n = 8只小鼠用于CRISPR对照和3'剪接位点MPRIP sgRNA,n = 5只小鼠对于5'剪接位点MPRIP sgRNA)。中心,通过明场(左)和荧光(中)显微镜可视化的肺部代表性图像,以及苏木精和伊红染色(右)(比例尺,1,000 μm)。右,来自重复体内实验的每组两个肺的RNA的RT-PCR分析(n = 4只小鼠用于CRISPR对照,n = 5只小鼠用于5'剪接位点MPRIP sgRNA)。
i,底部,MPRIP拼接(包含)方案(底部)。顶部,RT-PCR显示用DS-50 MPRIP sgRNA转导的X24细胞中的MPRIP剪接。
j,k,伤口愈合测定(j)和i中细胞的软琼脂测定(k)中的集落形成。
l,左,静脉注射表达CRISPR对照或DS-50 MPRIP sgRNA的GFP标记的X24转移细胞(每组n = 10只小鼠)的NOD-SCID小鼠肺部的平均GFP强度。中心,肺部的代表性图像。比例尺,1,000 μm。右图,RT-PCR分析来自每组两个肺的RNA。凝胶源数据,肺部图像和H&E染色在补充图中提供。
3、13和14。数据是平均值±标准差。在所有面板中,n ≥ 3 个独立实验。显示确切的 P 值。未配对双尾学生t检验(b,c,h,k,l),对数秩(Mantel-Cox)检验(d)和双向方差分析(f,g,j)。a,e,i 中的方案是用 Biorender.com 创建的。
研究结论
调节RBFOX2调节的剪接事件,例如通过肌球蛋白磷酸酶RHO相互作用蛋白(MPRIP),与PDA转移,细胞骨架组织改变和诱导局灶粘附形成有关。我们的研究结果暗示了RBFOX2作为PDA肿瘤抑制因子的剪接调节功能,并提出了转移性PDA的治疗方法。
好了·今天的文献解读就到这儿来,我们下期再见!
















































