“万能皮瓣”——严重车祸伤保足
曹谦湘潭市中医院 等 3 位达人已点赞患者性别:男
患者年龄:51岁
主诉:车祸车轮碾轧左足致伤5小时。




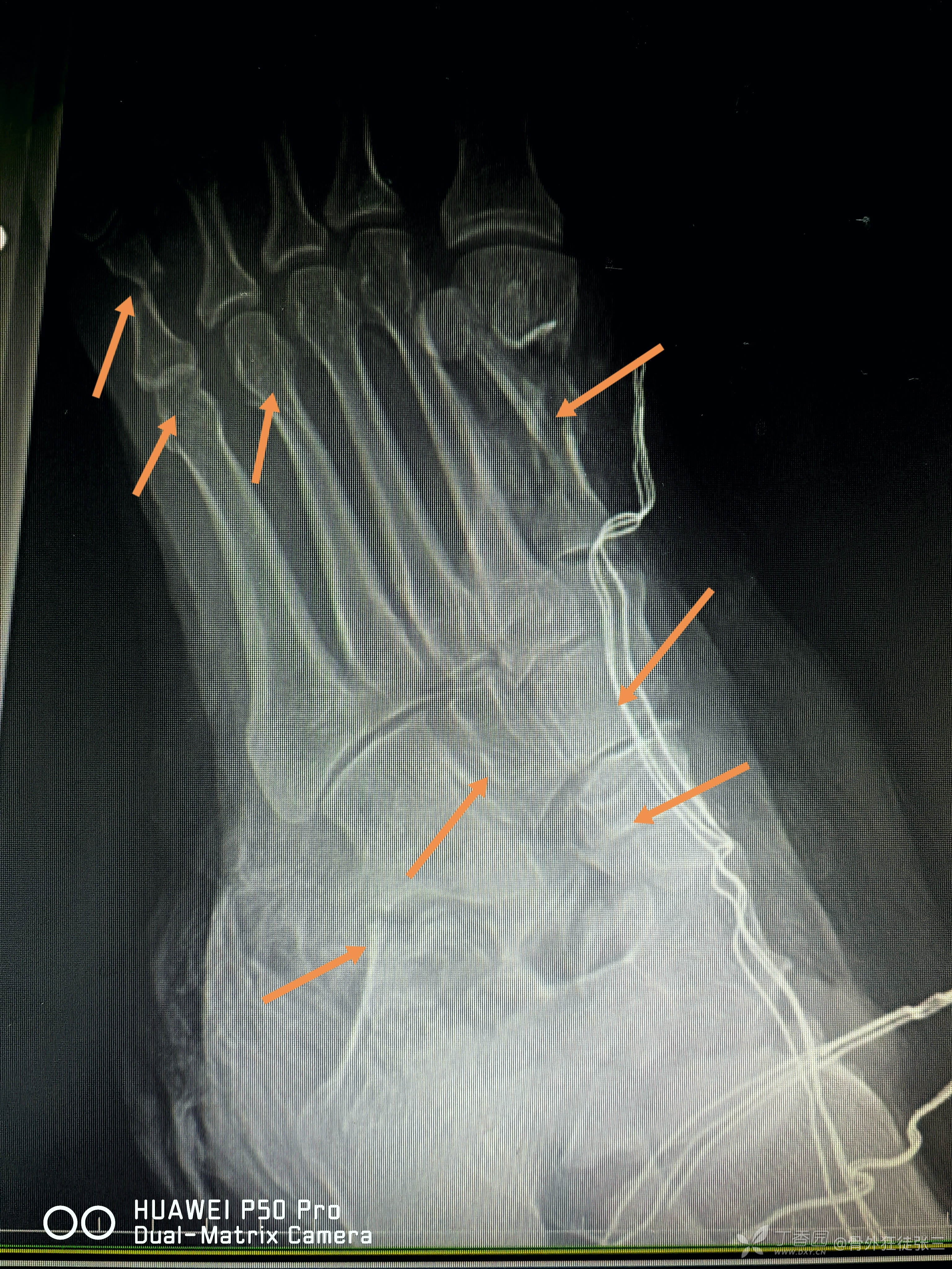
跟骨,距骨,骰骨,楔骨,跖骨1,多发骨折脱位







没有一根针多余

一把钢针
急诊手术,清创扩创,骨折关节脱位复位内固定,vsd覆盖创面。
因为撕脱皮肤碾轧伤,挫伤严重,部分坏死
1周后再次扩创,VSD覆盖肌腱和骨外露创面

两次VSD后,肉芽新鲜,创底无感染

多普勒听诊两穿支
第三次手术,设计股前外穿支皮瓣覆盖创面

三纵五横法定位穿支



术中外观

术后因为肿胀
远端拆线
皮瓣远端坏死了小部分
第一跖骨外露,骨缺损,伴有分泌物
再次扩创后,使用抗生素骨水泥填塞第一跖骨缺损区
皮瓣张力较大,使用Nice结
缓慢牵张,闭合创面



术后3个月,复查

皮瓣外形良好,不影响穿鞋


目前的影像学
第一跖骨骨缺损处为抗生素骨水泥

















































