典型病例讨论:原发性肾上腺皮质功能减退症( Addison 病)
优优行医 推荐患者性别:男
患者年龄:55岁
主诉:发现血压下降、周身乏力、皮肤颜色变深半年。
简要病史:患者半年前体检发现血压偏低,有乏力、情绪低落、皮肤颜色逐渐变深等症状。未重视,近两日自觉症状加重,伴头晕、乏力、恶心,在当地就诊,测血压:78/
50mmHg,离子Na+125 mmol / L ,予以补液对症治疗未见明显好转,为进一步诊治,来诊我院。门诊查血促肾上腺皮质激素( ACTH )/皮质醇(8 am):
(132.5 pg / ml )/(111.3 nmol / L );甲状腺激素水平正常。患者病来,精神差,饮食差,二便正常,体重减轻3kg 。患者自诉2年前血糖略高,具体不详。
体格检查:体重:66kg , BMI 21 kg/m2, BP 90/60 mmHg ,神清语明,精神差,皮肤及口腔黏膜色素沉着,以掌纹、乳晕、肘部皮肤摩擦处及外阴部明显,甲状腺未及肿大,双肺听诊呼吸音清。心界不大, HR89次/分,律齐。腹部平软,肝脾肋下未及,肝肾区无叩击痛,神经系统检查(一),双下肢无水肿,足背动脉搏动好。
辅助检查:Na +125 mmol / L , K +3.65 mmol / L , CI -998 mmol / L ;肾素活性 PRA 0.74 ng /( ml · h ), ALD 93.7 pg / ml ;肝肾功能正常;血甲状腺激素、性腺激素水平正常:谷氨酸脱羟酶抗体 GADA (一);风湿全套、血沉、 CRP 正常。

ACTH 增高,皮质醇降低
皮质醇未低至83nmol/ L ,怀疑肾上腺皮质功能减退,故进行胰岛素低血糖兴奋试验

皮质醇在低血糖时不能被兴奋,故肾上腺皮质功能减退诊断明确。因 ACTH 增高,考虑原发性。

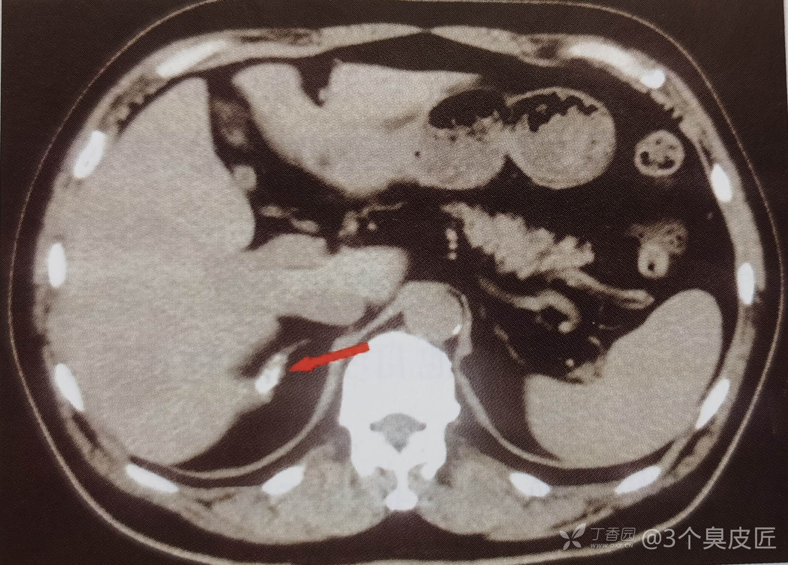
肾上腺CT:右侧肾上腺钙化,提示其为原发性肾上腺皮质功能减退的病因。
临床诊断:肾上腺皮质功能减退?
治疗经过及讨论:该患者的诊断(定性诊断、定位诊断、病因诊断)及诊断依据,后续治疗方案?
















































