2月特别精彩病例|咳嗽、咳痰20余天,典型病例分享【结果已公布】
呱呱叫了 等 2 位达人已点赞患者性别:男
患者年龄:51岁
主诉:咳嗽、咳痰20余天
简要病史:20余天前开始出现咳嗽、咳痰症状,阵发性刺激性咳,白色粘痰,不易咳出,无发热,无咯血,无恶心、呕吐等不适,未诊治,咳嗽、咳痰症状持续存在。
体格检查:T:36.3 ℃ P:79 次/分 R:20 次/分 BP:128/64 mmHg,神志清楚,呼吸平稳,双肺呼吸音粗,右下肺闻及细湿性啰音。心率79次/分,节律整齐,各瓣膜听诊区未闻及病理性杂音。腹部未见异常,双下肢无水肿。
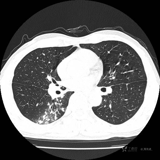
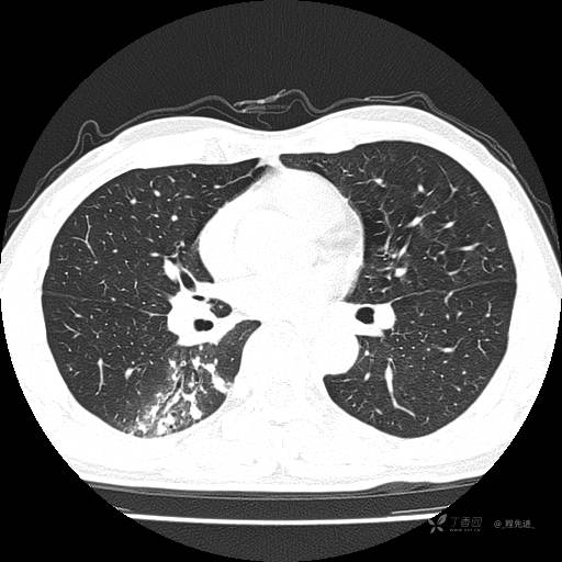
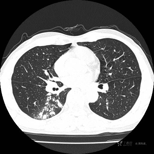
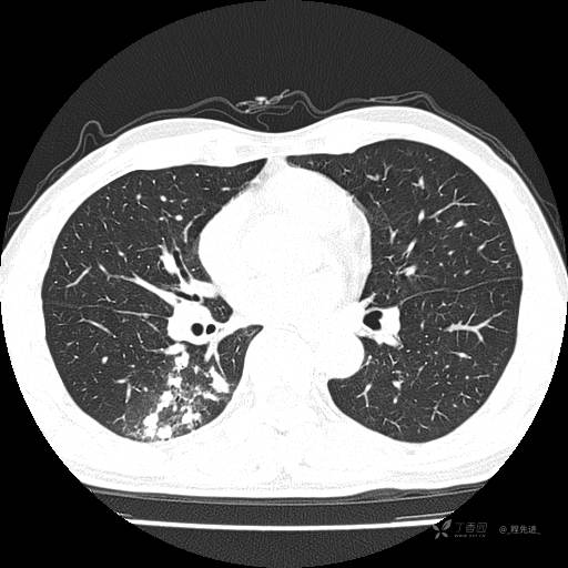
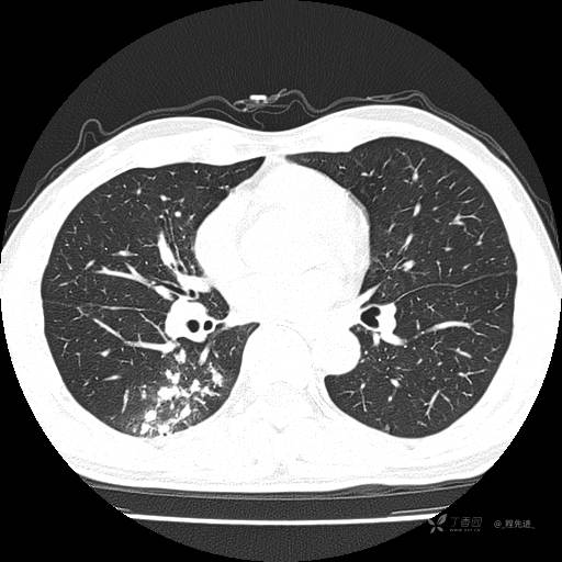
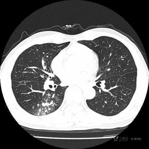
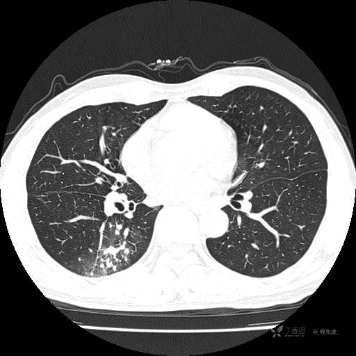
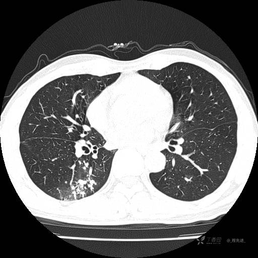
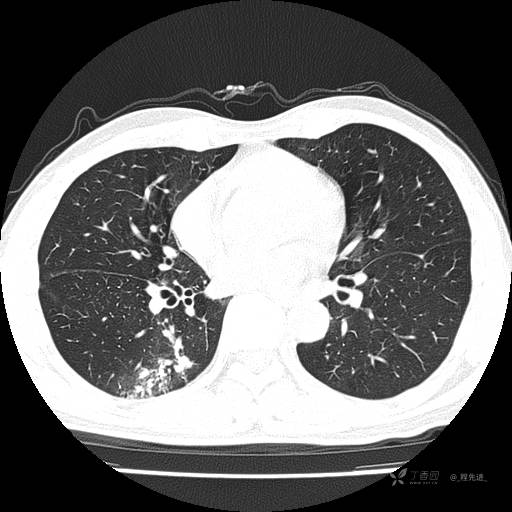
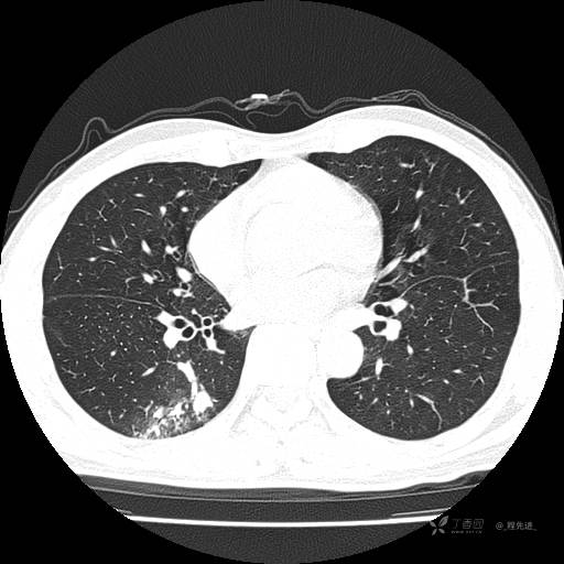
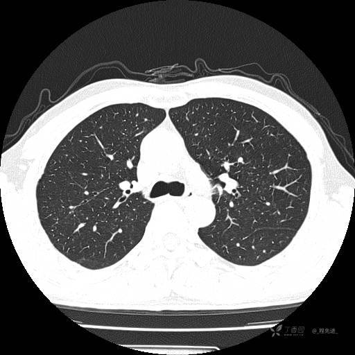
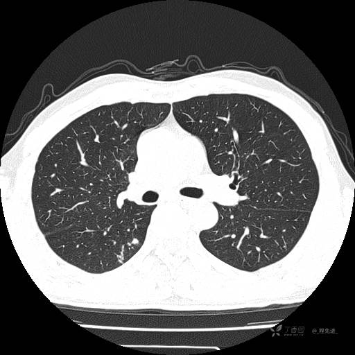
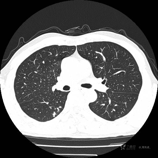
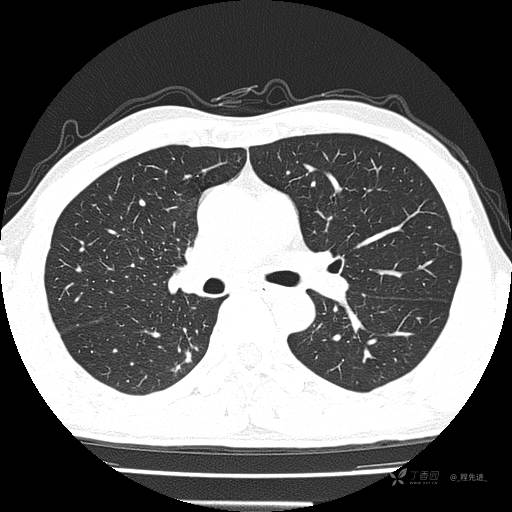
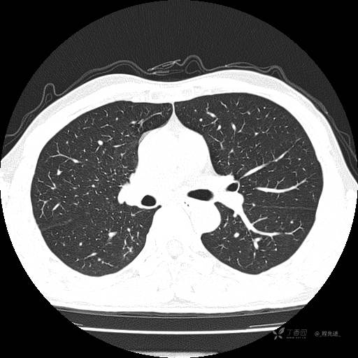
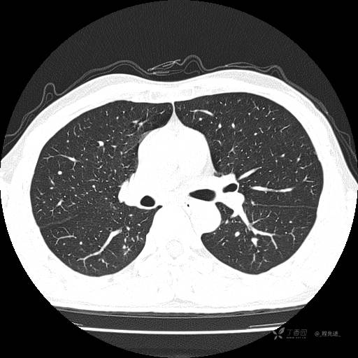
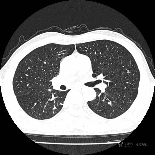
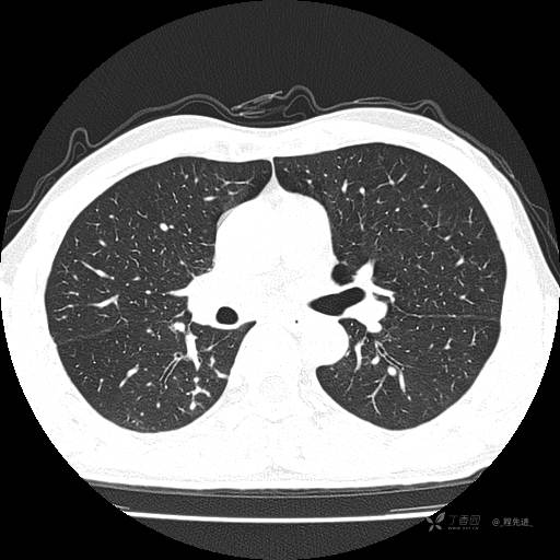
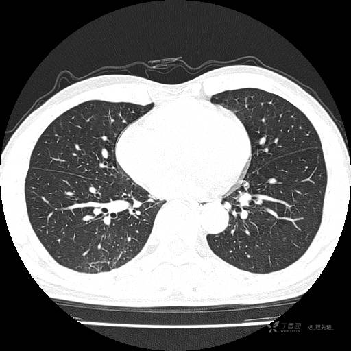
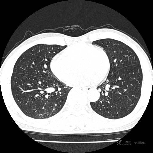
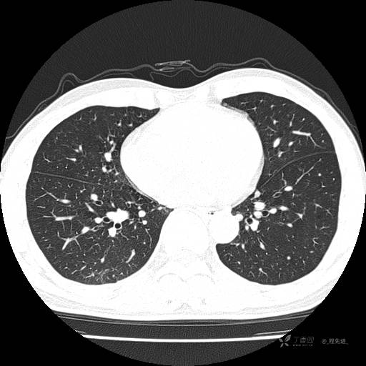
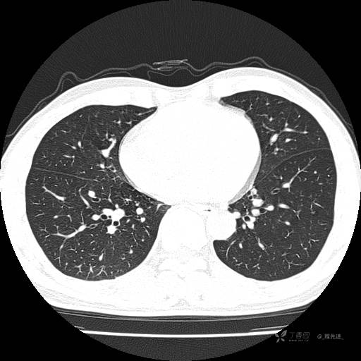
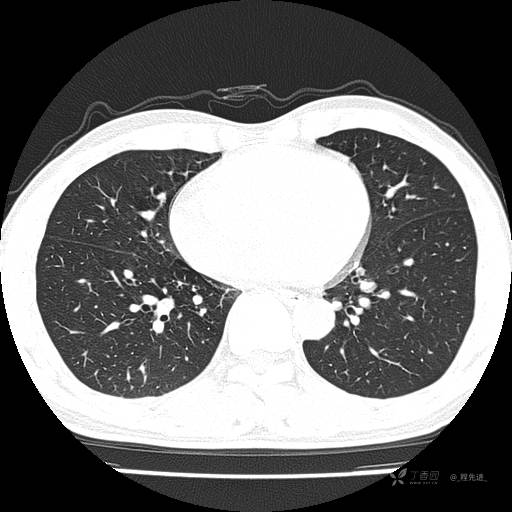
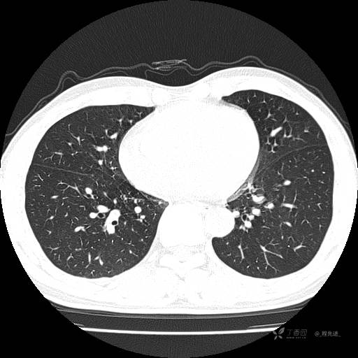
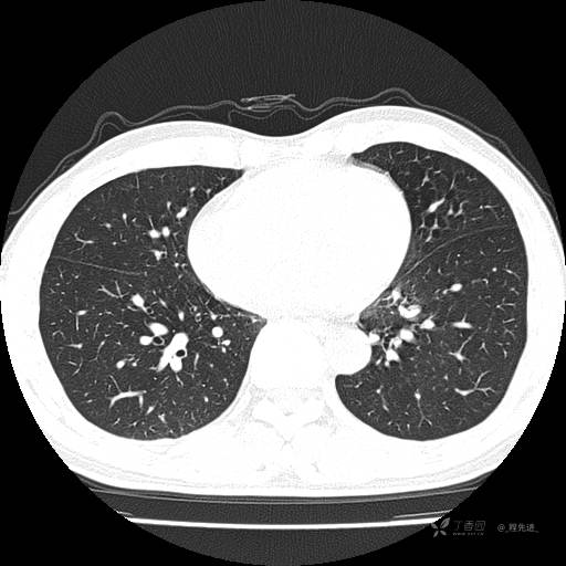
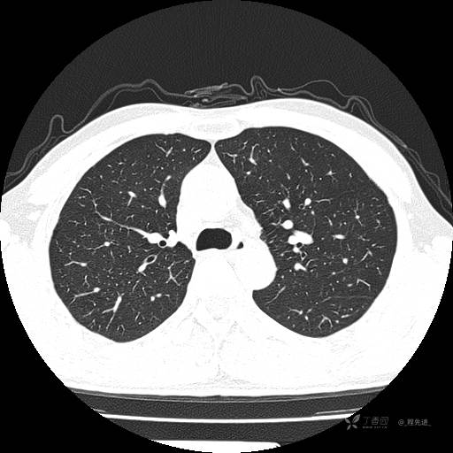
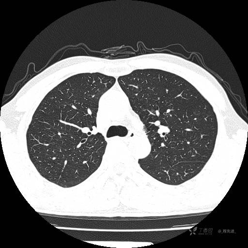
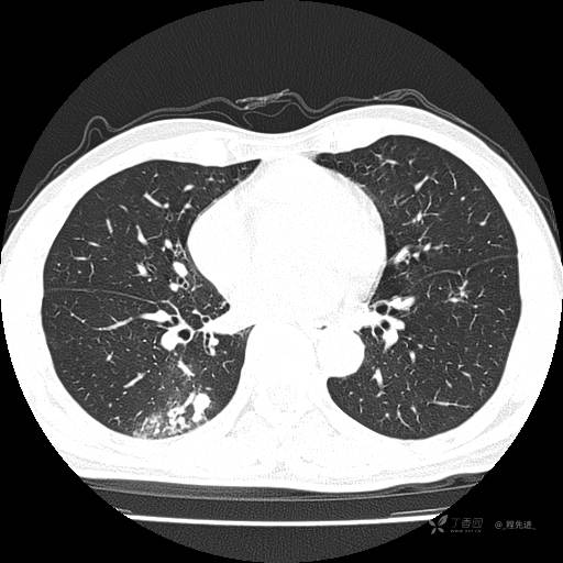
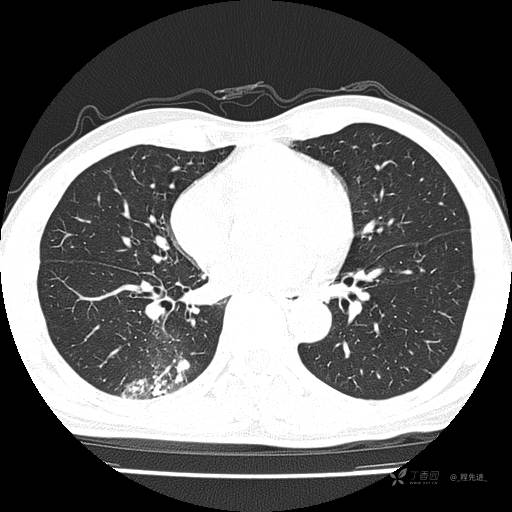
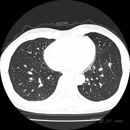
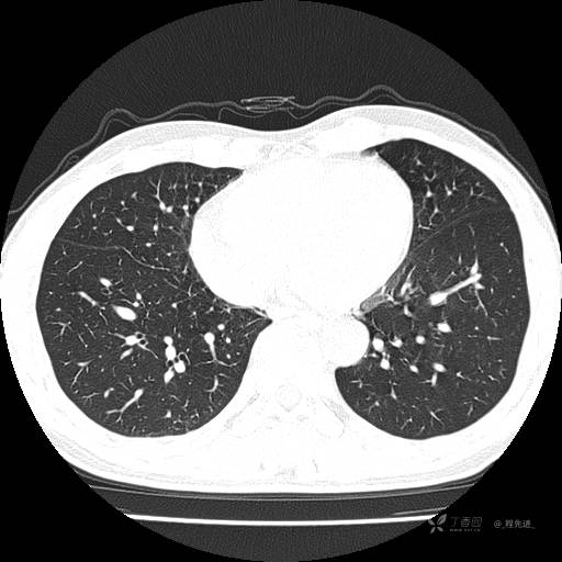
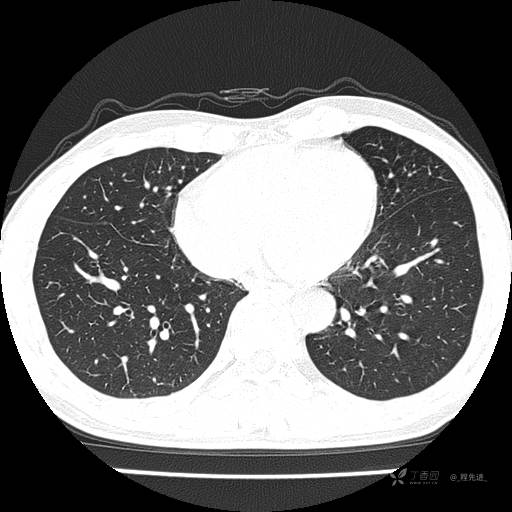
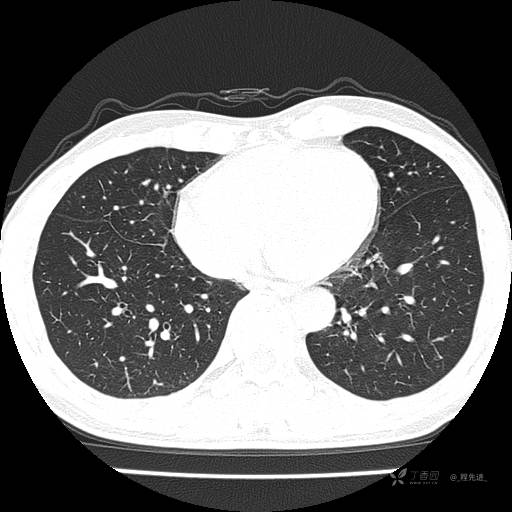
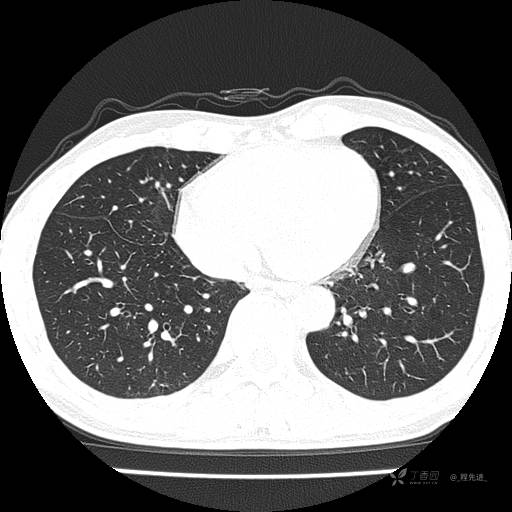
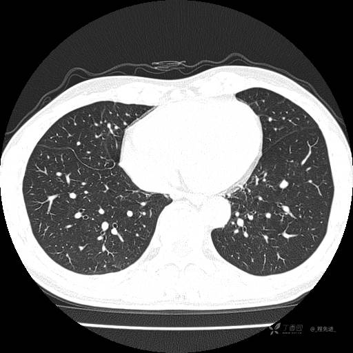
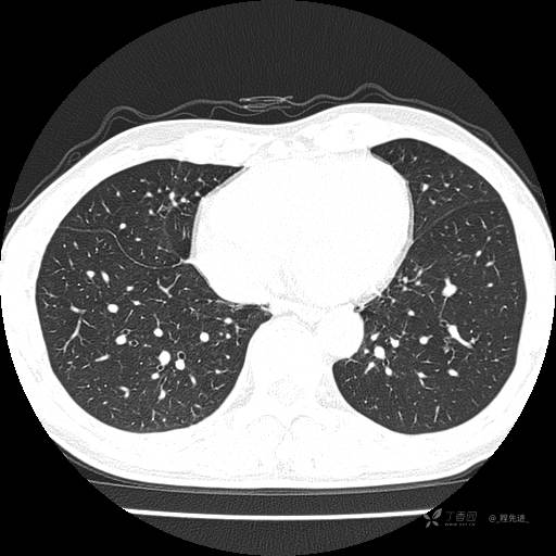
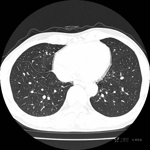
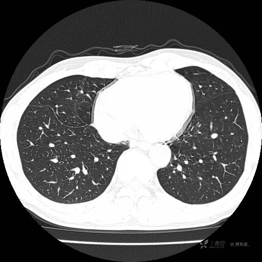
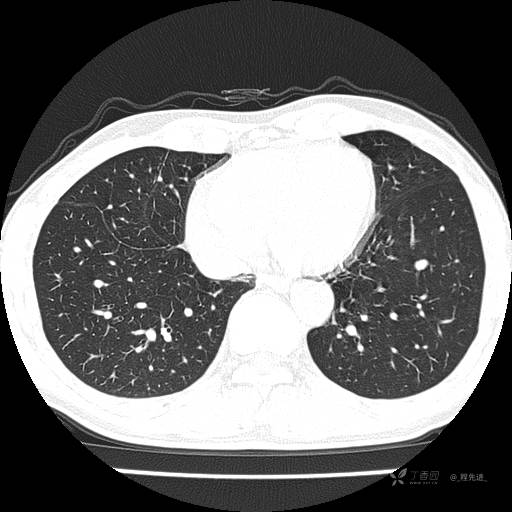
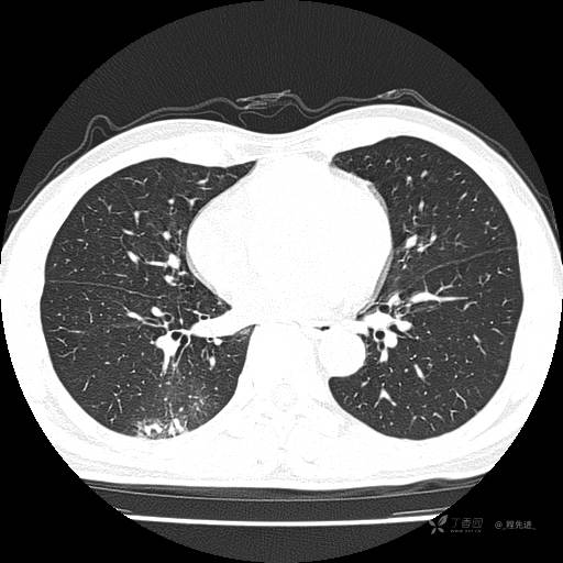
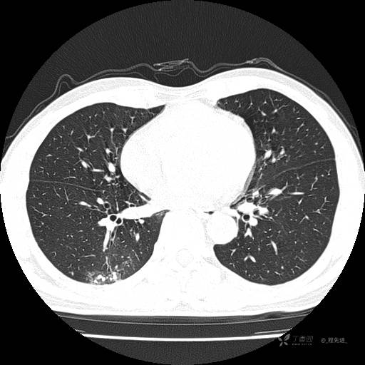
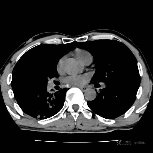
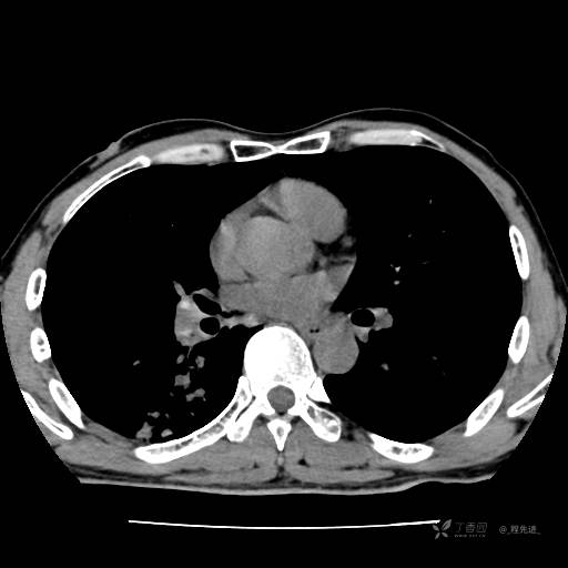
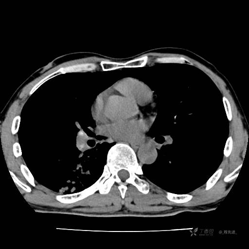
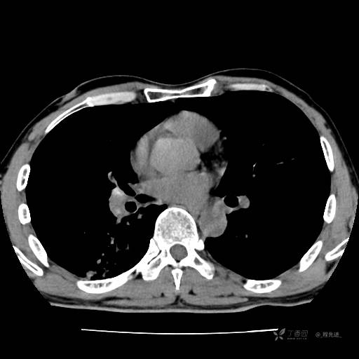
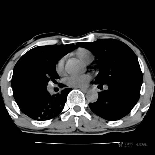
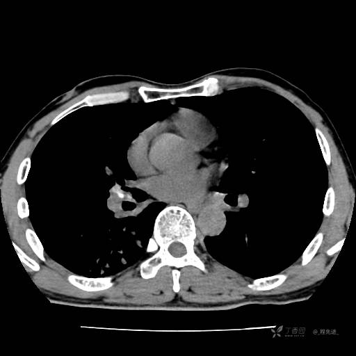
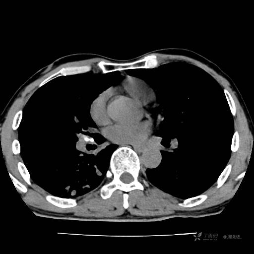
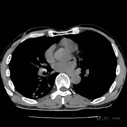
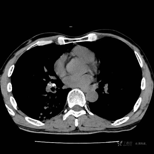
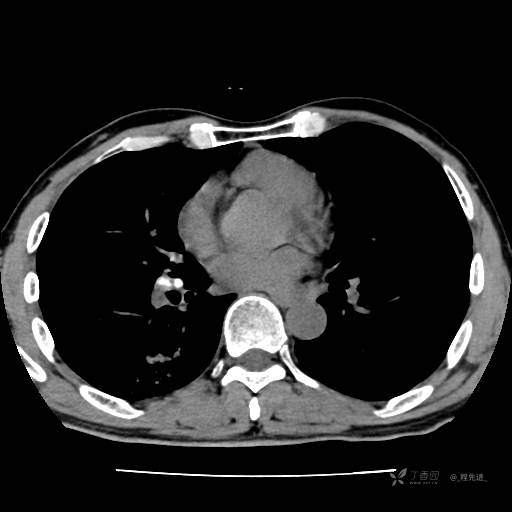
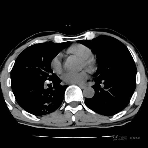
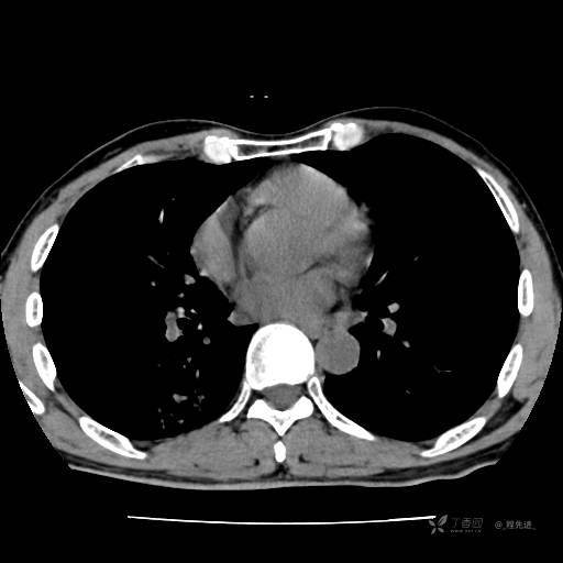
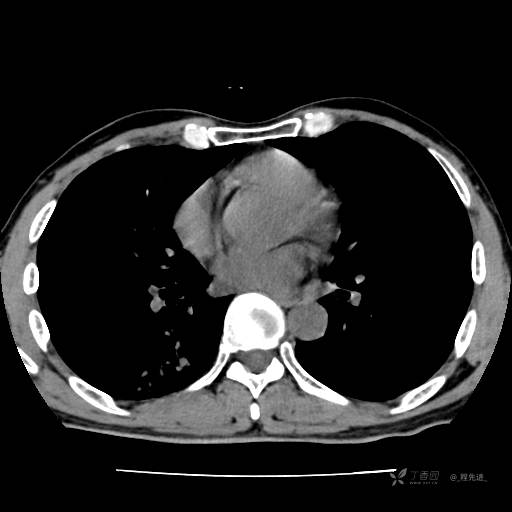
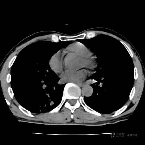
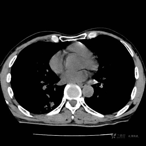
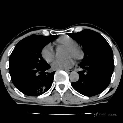
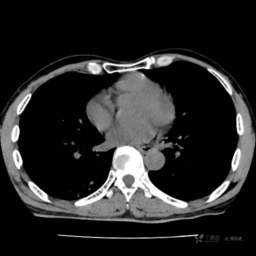
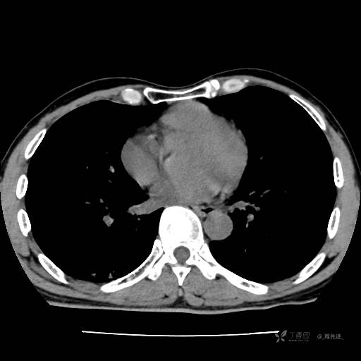
辅助检查:我院门诊胸部CT示:如下。心电图:窦性心律;正常心电图。














































































































