消化系统少见病(一百二十二):慢性腹泻、体重下降
患者男性,47岁。因腹泻、体重下降4周就诊。腹泻呈水样便,体重减少10余斤,经常伴有腹胀、肠蠕动弱、排气增多。静脉使用可的松时,症状可缓解,大便频次可减少。患者否认有食欲消失、黑便、便血、腹痛、恶心呕吐及发热。
既往史:有长期类风湿性关节炎(血清学阴性)、Yao综合征(NOD2相关的自身免疫病)。曾使用多种免疫抑制剂,包括氨甲喋呤、羟氯、沙妥珠单抗、麦考酚酯、柳氮磺吡啶等。
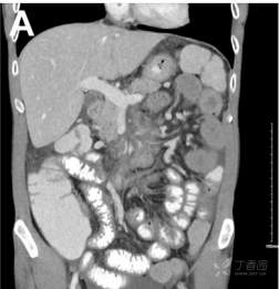
辅助检查:WBC16.2, Hb 118 g/L,PLT 278, CRP 41 mg/L 。大便检验提示沙门菌阳性,贾弟虫、艰难梭菌、诺如病毒及寄生虫卵均阴性。腹部增强所示如图A。.

根据检验结果,予头孢曲松治疗,但症状仍持续。进一步行双向小肠镜检查,经口侧可见空肠如图B-图D。经肛侧检查所见结肠如图E。


请问:诊断是什么?
A 药物所致肠炎 B 乳糜泻 C 小肠淋巴管扩张症 D 复杂感染性肠炎 E Whipple病
(Gastro,22-Dec)
上一期:消化系统少见病(一百二十一):全胃肠道多发息肉 - 消化内科 - 专业医生社区,医学、药学、生命科学、科研学术交流 (dxy.cn)
下一期:消化系统少见病(一百二十三):吞咽困难 - 消化内科 - 专业医生社区,医学、药学、生命科学、科研学术交流 (dxy.cn)















































