Pilon骨折并骨筋膜室综合征
王**,男,56岁,因“摔伤致左踝部疼痛、肿胀伴活动受限两小时”于2022年10月26日 10:30入院。
专科检查:左小腿下段明显肿胀,向内成角畸形,左小腿下段内侧见长约2CM伤口,创缘不齐,重度污染,伤口内流血,未见骨折断端外露,触压痛明显,腓肠肌被动牵拉试验阳性,可及骨擦音,左侧内踝、足背感觉减退,左踝关节活动受限,足内翻力量减弱,足背动脉搏动弱,末梢血运差,左小腿甲床苍白。
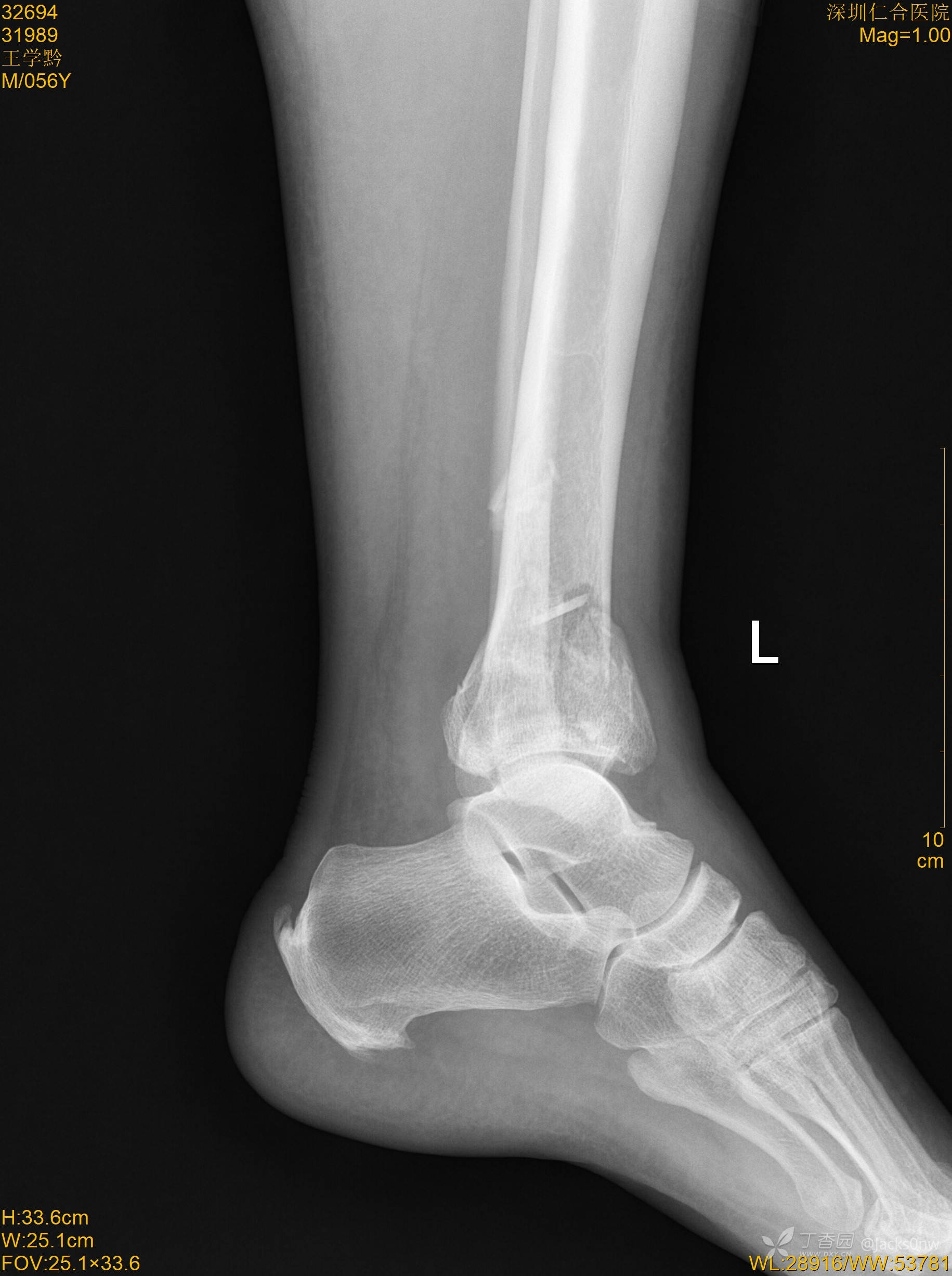
辅助检查:2022.10.26,DR左踝部:Pilon骨折。

术前

术前

术中
2022年10月26 14时行左胫骨远端(Pil0n)粉碎性骨折切开复位钢板螺钉内固定术+左腓骨中下段粉碎性骨折切开复位钢板螺钉内固定术+神经血探查术+骨筋膜室综合征切开减压术+骨移植术+高分子夹板外固定术。

术后

术后

术后

术后
住院23天,2022年11月18日病情好转出院。
出院情况:生命体征平稳。查体:神志清楚,心肺无异常,左足背肿胀基本消退,伤口无红肿热痛,无渗出,左足背动脉搏动良好,肌力五级,肌张力正常,神经感觉正常,左踝关节背伸功能稍受限,足趾运动正常,血运良好。
















































