(原创)长新冠阶段的病人,急性呼吸衰竭的抢救
“感觉回顾普通病例的抢救,也会收获很多。”
22号抢救室夜班,一直到晚8点,没接诊新病人,正闲聊。抢救室大门被分诊护士推开,“憋气的病人,放哪里?”
分诊台护士把病人快速推到我面前!这么多地方,不知道为什么要直接推到我面前的床位上!
“咋了?”
分诊台护士,“血氧测不出来。”
患者神清,烦躁,憋喘貌!
分诊台护士快速把病人的指氧仪连上,末梢血氧饱和度60%。测出来数值后,分诊台护士抬头看向我。
“快,面罩吸氧8L,抽血气,连心电监护,准备无创呼吸机,我去问病史。”
转身走到抢救室门口,“怎么了?”
病人的儿子,“20分钟前,突然憋气,5天前刚从咱们呼吸科出院,因为新冠肺炎。”
“没发热,没其他不适?”
“没有。我是本院的,我爸怎么样了!”
“胸前全是花斑,快不行了,做好心理准备。”
说完这话,病人的儿子瞬间慌了,抓住我的手,“那咋办?”
正说着话,护士大喊,“吸氧没用,氧饱和度上不来。”
“连上无创,推支地米,血气出了吗?”
“出了,pH7.25,氧分压54,二氧化碳分压33.4,乳酸11.4。”
血气结果具体如下:

听到护士大喊的患者血气,立刻转身回到抢救室,“给无创,C PAP,吸氧浓度100%,ps12cmh2o,peep5cmh2o”
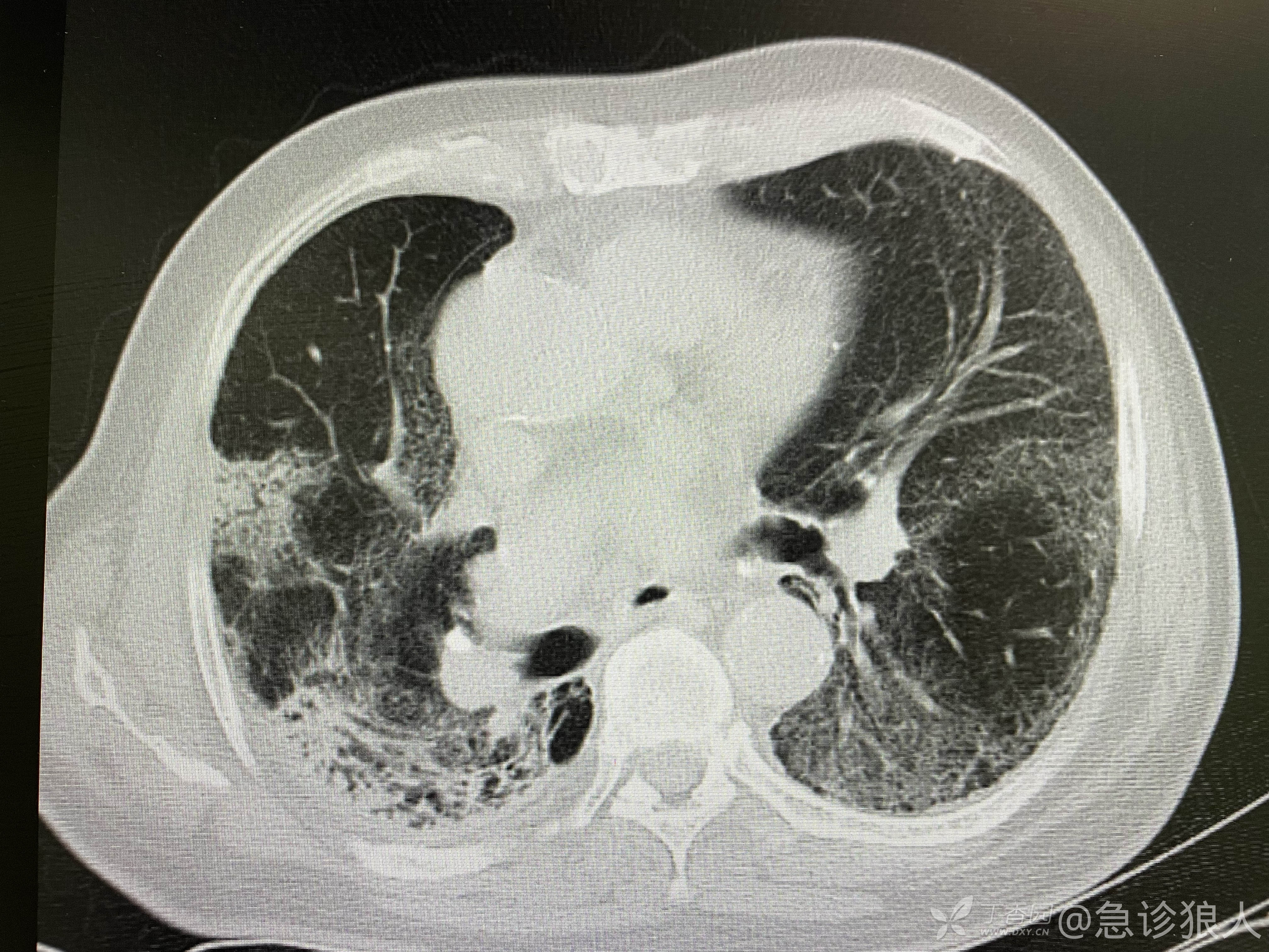
快速走到电脑旁,看了一眼患者的既往Ct!在呼吸科出院时的CT如下:

正看着Ct,护士喊“不行啊,氧合上不来。”
看向患者,拿着听诊器快步走向患者。
快速听诊双肺,双肺呼吸音低,心电监护,p160次/分窦速,血压160/80mmhg,氧饱和度60%,呼吸40次/分。
看完转身快速走向抢救室门口,“插不插管?”
病人的儿子,已经很慌,听到我问插不插管,瞬间双手抱头,镇静了一下说,“我爸咋了,肺栓了还是气胸了?”
“双肺呼吸音低,但都能听到呼吸音,应该不是气胸。心率160,血压160/90,不一定是肺栓塞。三凹征很明显,感觉是大气道里有痰,被憋了一下可能性最大。现在无创无效,只能插管。肺基础太差了。”
“嗯,我能进去看下我爸吗?”
“可以!”
患者的儿子快速走到病人耳边说,“爸,插管吧?”
应该是被憋的太难受了,老人直接点头。
病人的儿子看向我,“插”
“来,借支丙泊酚,插管箱。”
我用无创呼吸机给老人做呼吸,护士推了8ml丙泊酚才把患者放倒,正准备用喉镜打开患者气道,病人的儿子说,“我能出去吗?”
我抬头看向他,“可以啊!”(无论是谁应该都看不了这个场景吧!”
病人儿子快速离开抢救室!
喉镜进入口腔,打开气道的瞬间,一大口浓黄痰喷出来,没喷我脸上证明咳痰确实无力,浓黄痰全在会厌的地方。护士快速把吸痰管递给我,吸完第一口,又喷出来第二口,吸干净,顺利插管。连接呼吸机,simv模式,吸氧浓度100!
我抓着气管插管,护士固定牙垫,患者胸前的花斑以肉眼可见的速度减少,指脉氧在花斑完全退后,才缓慢恢复正常。
嘱“半小时后复查血气,泵上没用完的丙泊酚。”
坐回电脑旁,写病历,补医嘱,镇静镇痛,补液、抗生素、抑酸,约了个床旁胸片。
第二次血气快速出来如下:

8点17进的抢救室,9点30出的第二次血气,看血气应该是没问题了。
拿着血气走出抢救室,病人全部家属都来了,病人的儿子快步走到我面前,“怎么样?”
“乳酸下降到4,问题不大了。”说完,我就要走向诊室。病人的儿子抓着我的手,不停的说谢谢。
我说,“没事!”
病人的儿子跟着我问,“下一步?”
“找找关系,转重症监护室去吧?”
“嗯”
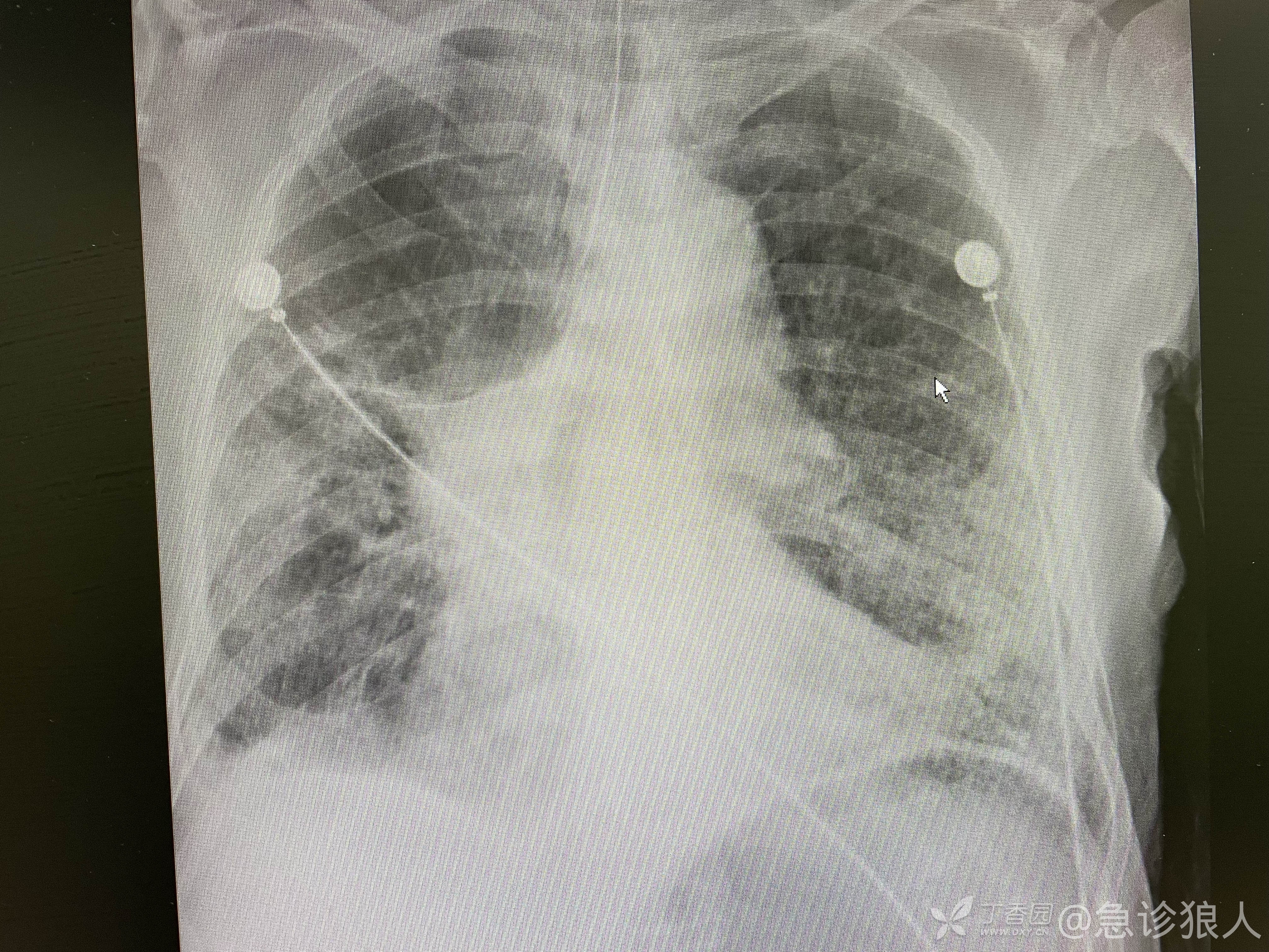
很快,患者的血、胸片全出,如下:

pct正常,crp158,应该就是肺部感染加重了,一口痰憋的,插管时就证明了。
凝血如下:



D-二聚体3.52应该是花斑导致的,不知道为什么血小板下降不明显,不能诊断DIc吧!
肝肾功还行!
很快病人转去重症监护室,转走的时候病人的儿子说,“你不能帮忙守一夜吗?”
我说,“别了,这么多病人呢!监护室条件更好!”
很简单的病例,希望有帮助。
















































