感染还是?
青鹊词等 3人推荐患者家属及本人共诉:于1月6日左右突然出现头痛,呈间断搏动性疼痛,以额部疼痛为主,休息后略好转,白天头痛明显,夜间尚可,并伴有发热,未测体温,发热3天,呈持续发热,并伴有腹泻2天,呈水样便,每日7-8次,无黑便、无血便。就诊当地镇医院,具体诊断及治疗不详,随后症状自行改善,13日患者因手抖,心悸不适来我院内分泌住院治疗诊断甲亢,并给于相应治疗:甲巰咪唑30mg一日次口服,利法沙班15mg一日一次口服,普萘洛尔10mg一日三次口服,查2023年1月18日我院头颅核磁提示:颅内多发异常信号,考虑:感染性病变,建议增强检查。随后患者出院,头痛未再次发作,故今日为进一步查明病因来我院,门诊以“颅内感染、甲亢”收住我科,病程中患者有发热,有头痛、无头晕、无恶心、呕吐、无乏力、有多汗、有心悸、无心前区疼痛、无腹泻,无黑便、无脓血便、饮食睡眠可,近期有体重下降,具体不详。
用药史:2017年诊断甲亢甲亢性心脏病,心律失常-房颤,服用甲巰咪唑30mg一日次口服、利法沙班15mg一日一次口服,普萘洛尔10mg一日三次口服。
3.平素健康状况一般,2017年诊断甲亢、甲亢性心脏病,心律失常-房颤、肺动脉中度高压,
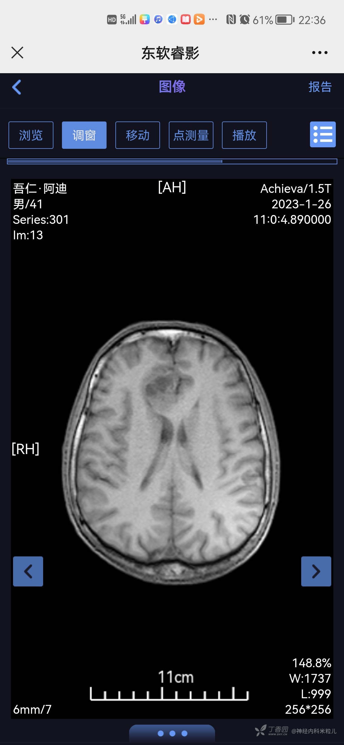
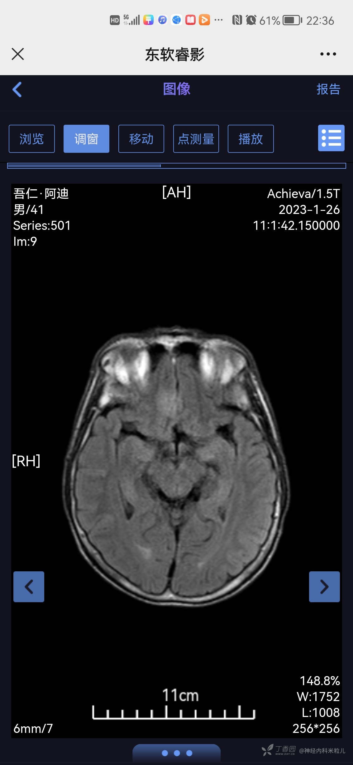
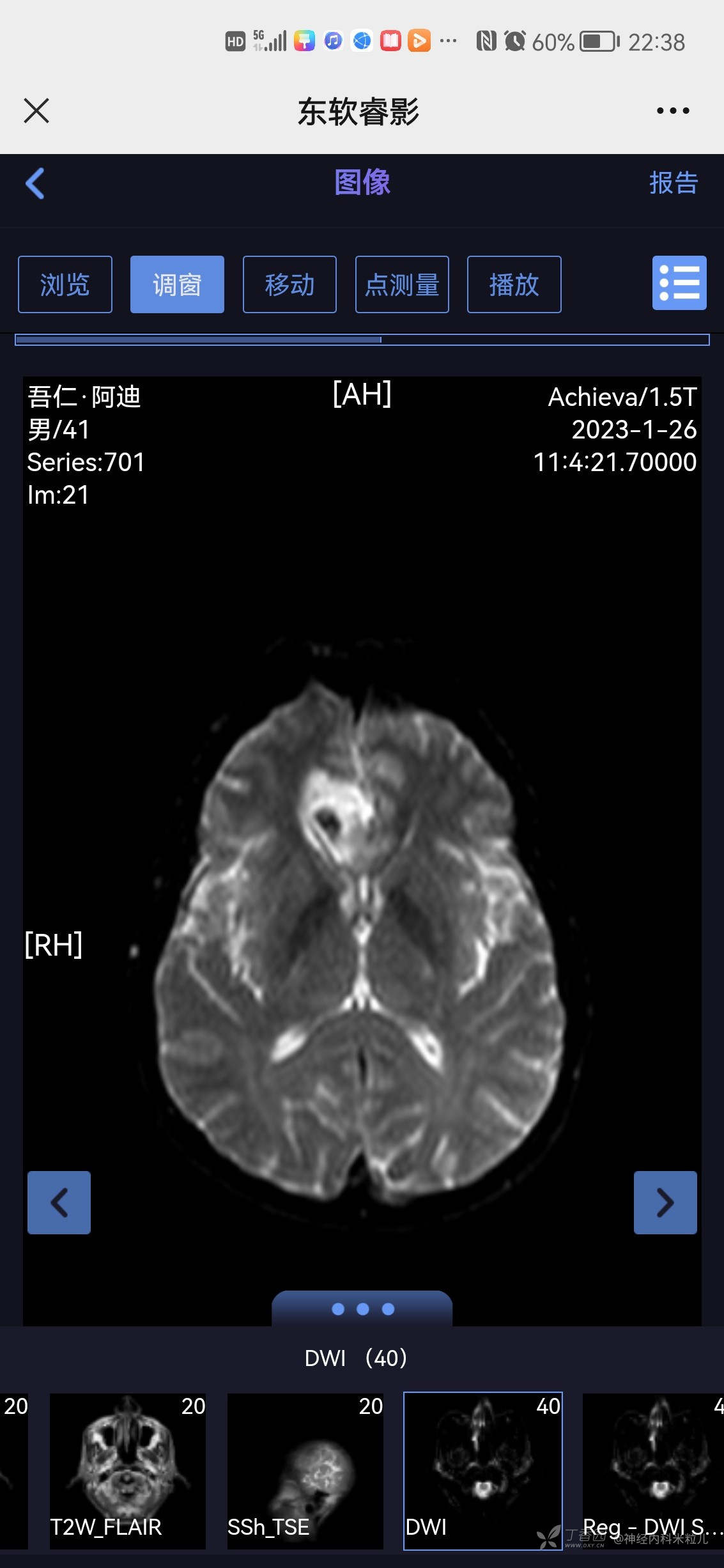
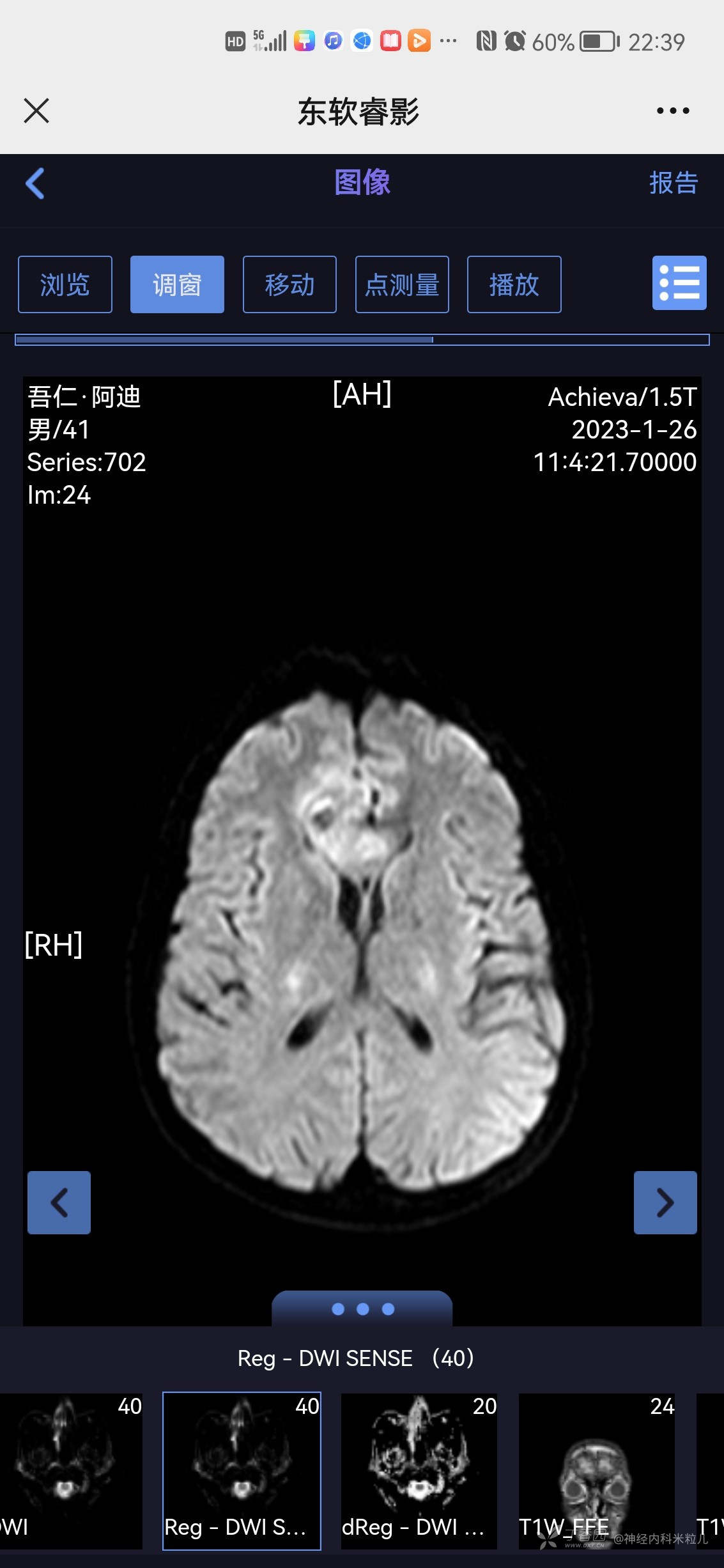
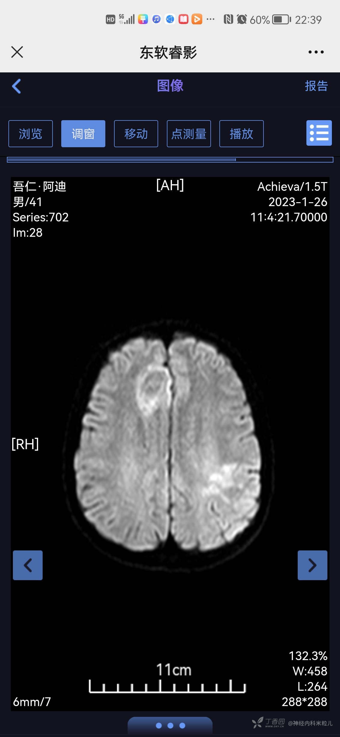
2023年1月18日我院头颅核磁提示:颅内多发异常信号,考虑:感染性病变,建议增强检查。}
体温 36.4℃ 脉搏65次/分 呼吸18 次/分 血压115/75 mmHg,神经系统查体:计算力、定向力、理解力检查尚可,思维反应尚可,语言表达及组织可,双侧额纹对称,眼球运动可,双侧凝视时未见眼震,双侧瞳孔等大等圆,对光反射灵敏,双侧鼻唇沟对称,乳突区无压痛,睑肌、咬肌、耸肩、屈颈、鼓腮、示齿检查尚可,伸舌居中,口唇红润,咽部无充血,咽反射正常,扁桃体无肿大,软腭及悬雍垂居中,颈软无抵抗,下颌反射未引出,左侧上肢远端肌力5级、近端5级,左侧下肢远端肌力5级、近端5级,右侧上肢远端肌力5级、近端5级,右侧下肢远端肌力5级、近端5级;四肢肌张力正常,四肢肌容积正常

























































































